Skip to main content

UXT Antibody

Novus Biologicals, part of Bio-Techne | Catalog # NBP1-00129

Novus Biologicals, part of Bio-Techne
Catalog #
Availability
Size / Price
Qty
Loading...
NBP1-00129

Key Product Details

Species Reactivity

Human

Applications

Immunohistochemistry, Immunohistochemistry-Paraffin, Western Blot, Peptide ELISA

Label

Unconjugated

Antibody Source

Polyclonal Goat IgG

Concentration

0.5 mg/ml

Product Specifications

Immunogen

Peptide with sequence C-DHRDKVYEQLAKY corresponding to C-Terminus according to NP_004173.1, NP_705582.1.

Epitope

C Terminus

Specificity

This antibody is expected to recognize both reported isoforms (NP_004173.1; NP_705582.1).

Clonality

Polyclonal

Host

Goat

Isotype

IgG

Scientific Data Images for UXT Antibody

Western Blot: UXT Antibody [NBP1-00129]

Western Blot: UXT Antibody [NBP1-00129]

Western Blot: UXT Antibody [NBP1-00129] - (0.03ug/ml) staining of Human Kidney lysate (35ug protein in RIPA buffer). Primary incubation was 1 hour. Detected by chemiluminescence.
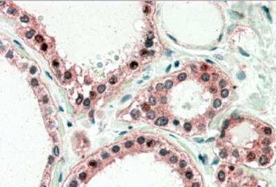
Immunohistochemistry-Paraffin: UXT Antibody [NBP1-00129]

Immunohistochemistry-Paraffin: UXT Antibody [NBP1-00129]

Immunohistochemistry-Paraffin: UXT Antibody [NBP1-00129] - Analysis in human thyroid Gland shows staining of cystoplasm in all epithelial cells, but nuclear staining in some of them.

Applications for UXT Antibody

Application
Recommended Usage

Immunohistochemistry

5 - 10 ug/ml

Immunohistochemistry-Paraffin

5 - 10 ug/ml

Peptide ELISA

Detection limit 1:64000

Western Blot

0.01 - 0.03 ug/ml
Application Notes
WB: Approx. 20 kDa band observed in human kidney and skeletal muscle lysates (calculated MW of 19.6 kDa band according to NP_705582.1). IHC-P: Thyroid gland shows staining of cystoplasm in all epithelial cells, but nuclear staining in some of them.

Formulation, Preparation, and Storage

Purification

Immunogen affinity purified

Formulation

Tris saline (20 mM Tris pH 7.3, 150 mM NaCl), 0.5% BSA

Preservative

0.02% Sodium Azide

Concentration

0.5 mg/ml

Shipping

The product is shipped with polar packs. Upon receipt, store it immediately at the temperature recommended below.

Stability & Storage

Store at -20C. Avoid freeze-thaw cycles.

Background: UXT

This gene encodes a novel protein which is highly conserved in mouse. It interacts with the N-terminus of the androgen receptor and plays a role in facilitating receptor-induced transcriptional activation. It is also likely to be involved in tumorigenesis as it is abundantly expressed in tumor tissues. This gene is part of a gene cluster on chromosome Xp11.23. Alternative splicing results in 2 transcript variants encoding different isoforms. [provided by RefSeq]

Alternate Names

Androgen receptor trapped clone 27 protein, ART-27protein UXT, SKP2-associated alpha PFD 1, STAP1, Ubiquitously expressed transcript protein, ubiquitously-expressed transcript

Entrez Gene IDs

8409 (Human)

Gene Symbol

UXT

Additional UXT Products

Product Documents for UXT Antibody

Certificate of Analysis

To download a Certificate of Analysis, please enter a lot number in the search box below.

Product Specific Notices for UXT Antibody

This product is for research use only and is not approved for use in humans or in clinical diagnosis. Primary Antibodies are guaranteed for 1 year from date of receipt.

Loading...
Loading...
Loading...
Loading...