Skip to main content

USP33 Antibody - BSA Free

Novus Biologicals, part of Bio-Techne | Catalog # NBP3-45623

Novus Biologicals, part of Bio-Techne
Catalog #
Availability
Size / Price
Qty
Loading...
NBP3-45623

Key Product Details

Species Reactivity

Human, Mouse, Rat

Applications

Immunohistochemistry, Western Blot, ELISA

Label

Unconjugated

Antibody Source

Polyclonal Rabbit IgG

Format

BSA Free

Concentration

Please see the vial label for concentration. If unlisted please contact technical services.

Product Specifications

Immunogen

ubiquitin specific peptidase 33. (Uniprot# Q8TEY7)

Clonality

Polyclonal

Host

Rabbit

Isotype

IgG

Theoretical MW

107 kDa.
Disclaimer note: The observed molecular weight of the protein may vary from the listed predicted molecular weight due to post translational modifications, post translation cleavages, relative charges, and other experimental factors.

Description

Novus Biologicals Rabbit USP33 Antibody - BSA Free (NBP3-45623) is a polyclonal antibody validated for use in IHC, WB and ELISA. All Novus Biologicals antibodies are covered by our 100% guarantee.

Scientific Data Images for USP33 Antibody - BSA Free

USP33 Antibody - BSA Free

Western Blot: USP33 Antibody - BSA Free [NBP3-45623] -

Western Blot: USP33 Antibody - BSA Free [NBP3-45623] - HEK-293 cells were subjected to SDS PAGE followed by western blot with (USP33 antibody) at dilution of 1:300
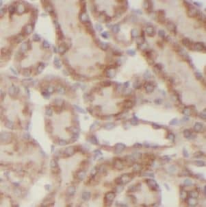
USP33 Antibody - BSA Free

Immunohistochemistry: USP33 Antibody - BSA Free [NBP3-45623] -

Immunohistochemistry: USP33 Antibody - BSA Free [NBP3-45623] - Immunohistochemistry of paraffin-embedded human kidney slide using (USP33 Antibody) at dilution of 1:50

Applications for USP33 Antibody - BSA Free

Application
Recommended Usage

Immunohistochemistry

1:20-1:200

Western Blot

1:200-1:2000

Formulation, Preparation, and Storage

Purification

Immunogen affinity purified

Formulation

PBS, 50% Glycerol, pH (7.3)

Format

BSA Free

Preservative

0.02% Sodium Azide

Concentration

Please see the vial label for concentration. If unlisted please contact technical services.

Shipping

The product is shipped with polar packs. Upon receipt, store it immediately at the temperature recommended below.

Stability & Storage

Store at -20C. Avoid freeze-thaw cycles.

Background: USP33

The ubiquitin dependent protein degradation pathway is essential for the proteolysis of intracellular proteins and peptides. Deubiquitination, is catalyzed by proteases called deubiquitinating enzymes. USP33 is a deubiquitinating enzyme that binds to the von Hippel-Lindau tumor suppressor protein. It also regulates thyroid hormone activation by deubiquitinating type 2 iodothyronine deiodinase.

Long Name

Ubiquitin carboxyl-terminal hydrolase 33

Alternate Names

hVDU1, KIAA1097, VDU1

Gene Symbol

USP33

Additional USP33 Products

Product Documents for USP33 Antibody - BSA Free

Certificate of Analysis

To download a Certificate of Analysis, please enter a lot number in the search box below.

Product Specific Notices for USP33 Antibody - BSA Free

This product is for research use only and is not approved for use in humans or in clinical diagnosis. Primary Antibodies are guaranteed for 1 year from date of receipt.

Loading...
Loading...
Loading...
Loading...