Skip to main content

USP33 Antibody - BSA Free

Novus Biologicals, part of Bio-Techne | Catalog # NB110-40693

Novus Biologicals, part of Bio-Techne
Catalog #
Availability
Size / Price
Qty
Loading...
NB110-40693
Conjugate
Catalog #

Key Product Details

Validated by

Independent Antibodies, Biological Validation

Species Reactivity

Human

Applications

Immunohistochemistry, Immunohistochemistry-Paraffin, Western Blot, Immunoprecipitation

Label

Unconjugated

Antibody Source

Polyclonal Rabbit IgG

Format

BSA Free

Concentration

1.0 mg/ml

Product Specifications

Immunogen

The immunogen recognized by this antibody maps to a region between residue 900 and the C-terminus (residue 942) of human Ubiquitin Specific Peptidase 33 using the numbering given in entry NP_055832.3 (GeneID 23032).

Clonality

Polyclonal

Host

Rabbit

Isotype

IgG

Scientific Data Images for USP33 Antibody - BSA Free

Western Blot: USP33 Antibody [NB110-40693]

Western Blot: USP33 Antibody [NB110-40693]

Western Blot: USP33 Antibody [NB110-40693] - Detection of Human USP33 on HeLa whole cell lysate using NB110-40693. USP33 was also immunoprecipitated by rabbit anti-USP33 antibody NB110-40692.
Immunohistochemistry: USP33 Antibody [NB110-40693]

Immunohistochemistry: USP33 Antibody [NB110-40693]

Immunohistochemistry: USP33 Antibody [NB110-40693] - Sample: FFPE section of human ovarian carcinoma. Antibody: Affinity purified rabbit anti- USP33 used at a dilution of 1:1,000 (1ug/ml). Detection: DAB
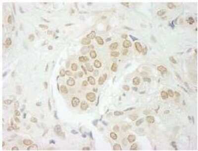
Immunohistochemistry-Paraffin: USP33 Antibody [NB110-40693]

Immunohistochemistry-Paraffin: USP33 Antibody [NB110-40693]

Immunohistochemistry-Paraffin: USP33 Antibody [NB110-40693] - FFPE section of human breast carcinoma. Affinity purified rabbit anti-USP33 used at a dilution of 1:250.

Applications for USP33 Antibody - BSA Free

Application
Recommended Usage

Immunohistochemistry

1:250

Immunohistochemistry-Paraffin

1:250

Immunoprecipitation

2-5 ug/mg lysate

Western Blot

1:2000-1:10000

Formulation, Preparation, and Storage

Purification

Immunogen affinity purified

Formulation

Tris-Citrate/Phosphate (pH 7.0 - 8.0)

Format

BSA Free

Preservative

0.09% Sodium Azide

Concentration

1.0 mg/ml

Shipping

The product is shipped with polar packs. Upon receipt, store it immediately at the temperature recommended below.

Stability & Storage

Store at 4C. Do not freeze.

Background: USP33

A novel protein named VHL-interacting deubiquitinating enzyme 1 (VDU1/USP33) was identified as being able to directly interact with pVHL in vitro and in vivo. The VDU1-interacting region in pVHL is located in its beta-domain, and several naturally occurring mutations located in this domain disrupt the interaction between pVHL and VDU1 protein. VDU1 is able to be ubiquitinated via a pVHL-dependent pathway for proteasomal degradation.

Long Name

Ubiquitin carboxyl-terminal hydrolase 33

Alternate Names

hVDU1, KIAA1097, VDU1

Entrez Gene IDs

23032 (Human)

Gene Symbol

USP33

UniProt

Additional USP33 Products

Product Documents for USP33 Antibody - BSA Free

Certificate of Analysis

To download a Certificate of Analysis, please enter a lot number in the search box below.

Product Specific Notices for USP33 Antibody - BSA Free

This product is for research use only and is not approved for use in humans or in clinical diagnosis. Primary Antibodies are guaranteed for 1 year from date of receipt.

Loading...
Loading...
Loading...
Loading...