Skip to main content

UBXD5 Antibody - BSA Free

Novus Biologicals, part of Bio-Techne | Catalog # NBP3-45656

Novus Biologicals, part of Bio-Techne
Catalog #
Availability
Size / Price
Qty
Loading...
NBP3-45656

Key Product Details

Species Reactivity

Human, Mouse, Rat

Applications

Immunohistochemistry, Western Blot, ELISA, Immunoprecipitation

Label

Unconjugated

Antibody Source

Polyclonal Rabbit IgG

Format

BSA Free

Concentration

Please see the vial label for concentration. If unlisted please contact technical services.

Product Specifications

Immunogen

UBX domain protein 11. (Uniprot# Q5T124)

Clonality

Polyclonal

Host

Rabbit

Isotype

IgG

Theoretical MW

57 kDa.
Disclaimer note: The observed molecular weight of the protein may vary from the listed predicted molecular weight due to post translational modifications, post translation cleavages, relative charges, and other experimental factors.

Description

Novus Biologicals Rabbit UBXD5 Antibody - BSA Free (NBP3-45656) is a polyclonal antibody validated for use in IHC, WB, ELISA and IP. All Novus Biologicals antibodies are covered by our 100% guarantee.

Scientific Data Images for UBXD5 Antibody - BSA Free

UBXD5 Antibody - BSA Free

Western Blot: UBXD5 Antibody - BSA Free [NBP3-45656] -

Western Blot: UBXD5 Antibody - BSA Free [NBP3-45656] - PC-3 cells were subjected to SDS PAGE followed by western blot with (UBXD5 antibody) at dilution of 1:500
UBXD5 Antibody - BSA Free

Immunoprecipitation: UBXD5 Antibody - BSA Free [NBP3-45656] -

Immunoprecipitation: UBXD5 Antibody - BSA Free [NBP3-45656] - IP Result of anti-UBXD5 (IP:, 4ug; Detection: 1:500) with mouse testis tissue lysate 4000ug.
UBXD5 Antibody - BSA Free

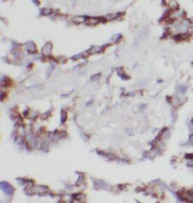
Immunohistochemistry: UBXD5 Antibody - BSA Free [NBP3-45656] -

Immunohistochemistry: UBXD5 Antibody - BSA Free [NBP3-45656] - Immunohistochemistry of paraffin-embedded human lung cancer using (UBXD5 antibody) at dilution of 1:100

Applications for UBXD5 Antibody - BSA Free

Application
Recommended Usage

Immunohistochemistry

1:20-1:200

Immunoprecipitation

1:200-1:2000

Western Blot

1:200-1:2000

Formulation, Preparation, and Storage

Purification

Immunogen affinity purified

Formulation

PBS, 50% Glycerol, pH (7.3)

Format

BSA Free

Preservative

0.02% Sodium Azide

Concentration

Please see the vial label for concentration. If unlisted please contact technical services.

Shipping

The product is shipped with polar packs. Upon receipt, store it immediately at the temperature recommended below.

Stability & Storage

Store at -20C. Avoid freeze-thaw cycles.

Background: UBXD5

The UBXD5 gene encodes a protein with a divergent C-terminal UBX domain. The homologous protein in the rat interacts with members of the Rnd subfamily of Rho GTPases at the cell periphery through its C-terminal region. It also interacts with several heterotrim

Alternate Names

COA-1, Colorectal tumor-associated antigen COA-1, colorectal tumor-associated antigen-1, SOCDKFZp686F04228, SOCI, socius, UBX domain containing 5, UBX domain protein 11, UBX domain-containing protein 11, UBX domain-containing protein 5, UBXD5

Gene Symbol

UBXN11

Additional UBXD5 Products

Product Documents for UBXD5 Antibody - BSA Free

Certificate of Analysis

To download a Certificate of Analysis, please enter a lot number in the search box below.

Product Specific Notices for UBXD5 Antibody - BSA Free

This product is for research use only and is not approved for use in humans or in clinical diagnosis. Primary Antibodies are guaranteed for 1 year from date of receipt.

Loading...
Loading...
Loading...
Loading...