Skip to main content

UBR7 Antibody - BSA Free

Novus Biologicals, part of Bio-Techne | Catalog # NBP2-88540

Novus Biologicals, part of Bio-Techne
Catalog #
Availability
Size / Price
Qty
Loading...
NBP2-88540

Key Product Details

Species Reactivity

Human

Applications

Immunohistochemistry, Immunohistochemistry-Paraffin, Western Blot

Label

Unconjugated

Antibody Source

Polyclonal Rabbit

Format

BSA Free

Concentration

1 mg/ml

Product Specifications

Immunogen

The immunogen is a synthetic peptide directed towards the C-terminal region of human UBR7. Peptide sequence: DRSDPLMDTLSSMNRVQQVELICEYNDLKTELKDYLKRFADEGTVVKRED The peptide sequence for this immunogen was taken from within the described region.

Clonality

Polyclonal

Host

Rabbit

Description

Novus Biologicals Rabbit UBR7 Antibody - BSA Free (NBP2-88540) is a polyclonal antibody validated for use in IHC and WB. All Novus Biologicals antibodies are covered by our 100% guarantee.

Scientific Data Images for UBR7 Antibody - BSA Free

Western Blot: UBR7 Antibody [NBP2-88540]

Western Blot: UBR7 Antibody [NBP2-88540]

Western Blot: UBR7 Antibody [NBP2-88540] - WB Suggested Anti-C14orf130 Antibody Titration: 1.25ug/ml. Positive Control: Jurkat cell lysateUBR7 is supported by BioGPS gene expression data to be expressed in Jurkat
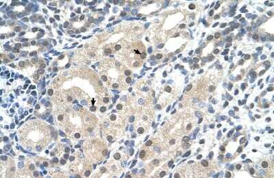
Immunohistochemistry: UBR7 Antibody [NBP2-88540]

Immunohistochemistry: UBR7 Antibody [NBP2-88540]

Immunohistochemistry: UBR7 Antibody [NBP2-88540] - Human kidney

Applications for UBR7 Antibody - BSA Free

Application
Recommended Usage

Western Blot

1.0 ug/ml

Formulation, Preparation, and Storage

Purification

Protein A purified

Formulation

PBS, 2% Sucrose

Format

BSA Free

Preservative

0.09% Sodium Azide

Concentration

1 mg/ml

Shipping

The product is shipped with polar packs. Upon receipt, store it immediately at the temperature recommended below.

Stability & Storage

Store at 4C short term. Aliquot and store at -20C long term. Avoid freeze-thaw cycles.

Background: UBR7

E3 ubiquitin-protein ligase which is a component of the N-end rule pathway. Recognizes and binds to proteins bearing specific amino-terminal residues that are destabilizing according to the N-end rule, leading to their ubiquitination and subsequent degradation

Alternate Names

C14orf130, chromosome 14 open reading frame 130, EC 6.3.2.-, FLJ10483, MGC9518, N-recognin-7, putative E3 ubiquitin-protein ligase UBR7, ubiquitin protein ligase E3 component n-recognin 7 (putative)

Gene Symbol

UBR7

Additional UBR7 Products

Product Documents for UBR7 Antibody - BSA Free

Certificate of Analysis

To download a Certificate of Analysis, please enter a lot number in the search box below.

Product Specific Notices for UBR7 Antibody - BSA Free

This product is for research use only and is not approved for use in humans or in clinical diagnosis. Primary Antibodies are guaranteed for 1 year from date of receipt.

Loading...
Loading...
Loading...
Loading...