Skip to main content

UBR7 Antibody

Novus Biologicals, part of Bio-Techne | Catalog # NBP2-20794

Novus Biologicals, part of Bio-Techne
Catalog #
Availability
Size / Price
Qty
Loading...
NBP2-20794

Key Product Details

Species Reactivity

Validated:

Human

Predicted:

Rhesus Macaque (97%). Backed by our 100% Guarantee.

Applications

Immunohistochemistry, Immunohistochemistry-Paraffin, Western Blot, Immunocytochemistry/ Immunofluorescence

Label

Unconjugated

Antibody Source

Polyclonal Rabbit IgG

Concentration

Concentrations vary lot to lot. See vial label for concentration. If unlisted please contact technical services.

Product Specifications

Immunogen

Recombinant protein encompassing a sequence within the center region of human UBR7. The exact sequence is proprietary.

Reactivity Notes

Mouse (83%), Rat (83%), Bovine (86%)

Clonality

Polyclonal

Host

Rabbit

Isotype

IgG

Theoretical MW

48 kDa.
Disclaimer note: The observed molecular weight of the protein may vary from the listed predicted molecular weight due to post translational modifications, post translation cleavages, relative charges, and other experimental factors.

Description

Novus Biologicals Rabbit UBR7 Antibody (NBP2-20794) is a polyclonal antibody validated for use in IHC, WB and ICC/IF. All Novus Biologicals antibodies are covered by our 100% guarantee.

Scientific Data Images for UBR7 Antibody

Western Blot: UBR7 Antibody [NBP2-20794]

Western Blot: UBR7 Antibody [NBP2-20794]

Western Blot: UBR7 Antibody [NBP2-20794] - Sample (30 ug of whole cell lysate) A: U87-MG 12% SDS PAGE gel, diluted at 1:1000.
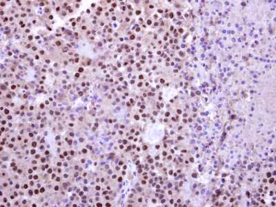
Immunohistochemistry-Paraffin: UBR7 Antibody [NBP2-20794]

Immunohistochemistry-Paraffin: UBR7 Antibody [NBP2-20794]

Immunohistochemistry-Paraffin: UBR7 Antibody [NBP2-20794] - Huh-7 hepatocellular carcinoma xenograft. UBR7 antibody dilution: 1:500.Antigen Retrieval: Trilogy™ (EDTA based, pH 8.0) buffer, 15min.

Applications for UBR7 Antibody

Application
Recommended Usage

Immunocytochemistry/ Immunofluorescence

1:100-1:1000

Immunohistochemistry

1:100-1:1000

Immunohistochemistry-Paraffin

1:100-1:1000

Western Blot

1:500-1:3000

Formulation, Preparation, and Storage

Purification

Antigen Affinity-purified

Formulation

PBS, 1% BSA, 20% Glycerol

Preservative

0.01% Thimerosal

Concentration

Concentrations vary lot to lot. See vial label for concentration. If unlisted please contact technical services.

Shipping

The product is shipped with polar packs. Upon receipt, store it immediately at the temperature recommended below.

Stability & Storage

Aliquot and store at -20C or -80C. Avoid freeze-thaw cycles.

Background: UBR7

E3 ubiquitin-protein ligase which is a component of the N-end rule pathway. Recognizes and binds to proteins bearing specific amino-terminal residues that are destabilizing according to the N-end rule, leading to their ubiquitination and subsequent degradation.

Alternate Names

C14orf130, chromosome 14 open reading frame 130, EC 6.3.2.-, FLJ10483, MGC9518, N-recognin-7, putative E3 ubiquitin-protein ligase UBR7, ubiquitin protein ligase E3 component n-recognin 7 (putative)

Gene Symbol

UBR7

UniProt

Additional UBR7 Products

Product Documents for UBR7 Antibody

Certificate of Analysis

To download a Certificate of Analysis, please enter a lot number in the search box below.

Product Specific Notices for UBR7 Antibody

This product is for research use only and is not approved for use in humans or in clinical diagnosis. Primary Antibodies are guaranteed for 1 year from date of receipt.

Loading...
Loading...
Loading...
Loading...

⚠ WARNING: This product can expose you to chemicals including mercury, which is known to the State of California to cause reproductive toxicity with developmental effects.  For more information go to www.P65Warnings.ca.gov.