Skip to main content

UBR7 Antibody - BSA Free

Novus Biologicals, part of Bio-Techne | Catalog # NBP1-88409

Novus Biologicals, part of Bio-Techne
Catalog #
Availability
Size / Price
Qty
Loading...
NBP1-88409
NBP1-88409-25ul

Key Product Details

Species Reactivity

Validated:

Human, Mouse

Cited:

Mouse

Predicted:

Rat (96%). Backed by our 100% Guarantee.

Applications

Validated:

Immunohistochemistry, Immunohistochemistry-Paraffin, Western Blot, Immunocytochemistry/ Immunofluorescence

Cited:

Western Blot

Label

Unconjugated

Antibody Source

Polyclonal Rabbit IgG

Format

BSA Free

Concentration

Concentrations vary lot to lot. See vial label for concentration. If unlisted please contact technical services.

Product Specifications

Immunogen

This antibody was developed against Recombinant Protein corresponding to amino acids: RQSELEPVVSLVDVLEEDEELENEACAVLGGSDSEKCSYSQGSVKRQALYACSTCTPEGEEPAGICLACSYECHGSHKLFELYTKRNFRCDCGNSKFKNLECKLLPDKAKVNSGNKYNDNFFGLYCICKRPYPDPEDEI

Reactivity Notes

Mouse reactivity reported in the scientific literature (PMID: 25755260).

Clonality

Polyclonal

Host

Rabbit

Isotype

IgG

Description

Novus Biologicals Rabbit UBR7 Antibody - BSA Free (NBP1-88409) is a polyclonal antibody validated for use in IHC, WB and ICC/IF. Anti-UBR7 Antibody: Cited in 2 publications. All Novus Biologicals antibodies are covered by our 100% guarantee.

Scientific Data Images for UBR7 Antibody - BSA Free

UBR7 Antibody - BSA Free Immunocytochemistry/ Immunofluorescence: UBR7 Antibody - BSA Free [NBP1-88409]

Immunocytochemistry/ Immunofluorescence: UBR7 Antibody - BSA Free [NBP1-88409]

Staining of human cell line A-431 shows localization to nucleus.
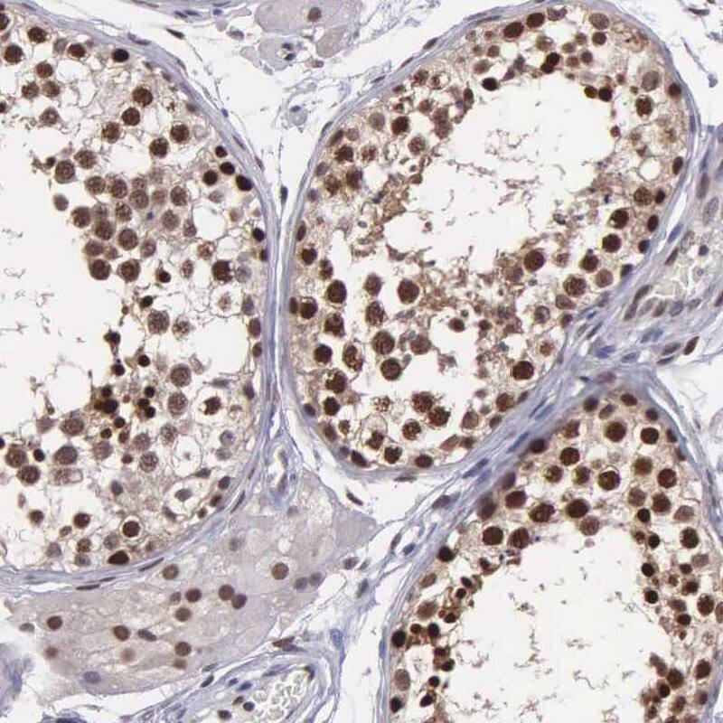
UBR7 Antibody - BSA Free Immunohistochemistry-Paraffin: UBR7 Antibody - BSA Free [NBP1-88409]

Immunohistochemistry-Paraffin: UBR7 Antibody - BSA Free [NBP1-88409]

Staining of human testis shows strong nuclear positivity in cells in seminiferous ducts.

Applications for UBR7 Antibody - BSA Free

Application
Recommended Usage

Immunocytochemistry/ Immunofluorescence

0.25-2 ug/ml

Immunohistochemistry

1:200 - 1:500

Immunohistochemistry-Paraffin

1:200 - 1:500

Western Blot

Reported in scientific literature (PMID: 25755260).
Application Notes
For IHC-Paraffin, HIER pH 6 retrieval is recommended. ICC/IF Fixation/Permeabilization: PFA/Triton X-100.

Formulation, Preparation, and Storage

Purification

Affinity purified

Formulation

PBS (pH 7.2) and 40% Glycerol

Format

BSA Free

Preservative

0.02% Sodium Azide

Concentration

Concentrations vary lot to lot. See vial label for concentration. If unlisted please contact technical services.

Shipping

The product is shipped with polar packs. Upon receipt, store it immediately at the temperature recommended below.

Stability & Storage

Store at 4C short term. Aliquot and store at -20C long term. Avoid freeze-thaw cycles.

Background: UBR7

E3 ubiquitin-protein ligase which is a component of the N-end rule pathway. Recognizes and binds to proteins bearing specific amino-terminal residues that are destabilizing according to the N-end rule, leading to their ubiquitination and subsequent degradation

Alternate Names

C14orf130, chromosome 14 open reading frame 130, EC 6.3.2.-, FLJ10483, MGC9518, N-recognin-7, putative E3 ubiquitin-protein ligase UBR7, ubiquitin protein ligase E3 component n-recognin 7 (putative)

Gene Symbol

UBR7

Additional UBR7 Products

Product Documents for UBR7 Antibody - BSA Free

Certificate of Analysis

To download a Certificate of Analysis, please enter a lot number in the search box below.

Product Specific Notices for UBR7 Antibody - BSA Free

This product is for research use only and is not approved for use in humans or in clinical diagnosis. Primary Antibodies are guaranteed for 1 year from date of receipt.

Loading...
Loading...
Loading...
Loading...