Skip to main content

UBP1 Antibody (OTI9G7)

Novus Biologicals, part of Bio-Techne | Catalog # NBP2-46288

Novus Biologicals, part of Bio-Techne

Key Product Details

Species Reactivity

Human, Mouse, Rat

Applications

Immunohistochemistry, Immunohistochemistry-Paraffin

Label

Unconjugated

Antibody Source

Monoclonal Mouse IgG2A Clone # OTI9G7

Concentration

1 mg/ml

Product Specifications

Immunogen

Human recombinant protein fragment corresponding to amino acids 47-269 of human UBP1(NP_055332) produced in E.coli.

Reactivity Notes

Please note that this antibody is reactive to Mouse and derived from the same host, Mouse. Mouse-On-Mouse blocking reagent may be needed for IHC and ICC experiments to reduce high background signal. You can find these reagents under catalog numbers PK-2200-NB and MP-2400-NB. Please contact Technical Support if you have any questions.

Clonality

Monoclonal

Host

Mouse

Isotype

IgG2A

Theoretical MW

60.3 kDa.
Disclaimer note: The observed molecular weight of the protein may vary from the listed predicted molecular weight due to post translational modifications, post translation cleavages, relative charges, and other experimental factors.

Description

Novus Biologicals Mouse UBP1 Antibody (OTI9G7) (NBP2-46288) is a monoclonal antibody validated for use in IHC. All Novus Biologicals antibodies are covered by our 100% guarantee.

Scientific Data Images for UBP1 Antibody (OTI9G7)

Immunohistochemistry: UBP1 Antibody (OTI9G7) [NBP2-46288]

Immunohistochemistry: UBP1 Antibody (OTI9G7) [NBP2-46288]

Immunohistochemistry: UBP1 Antibody (9G7) [NBP2-46288] - Analysis of Human thyroid tissue. (Heat-induced epitope retrieval by 1mM EDTA in 10mM Tris buffer (pH8.5) at 120C for 3 min)
Immunohistochemistry: UBP1 Antibody (OTI9G7) [NBP2-46288]

Immunohistochemistry: UBP1 Antibody (OTI9G7) [NBP2-46288]

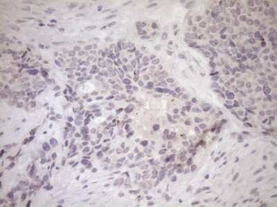
Immunohistochemistry: UBP1 Antibody (9G7) [NBP2-46288] - Analysis of Adenocarcinoma of Human breast tissue. (Heat-induced epitope retrieval by 1mM EDTA in 10mM Tris buffer (pH8.5) at 120C for 3 min)
Immunohistochemistry: UBP1 Antibody (OTI9G7) [NBP2-46288]

Immunohistochemistry: UBP1 Antibody (OTI9G7) [NBP2-46288]

Immunohistochemistry: UBP1 Antibody (9G7) [NBP2-46288] - Analysis of Adenocarcinoma of Human endometrium tissue. (Heat-induced epitope retrieval by 1mM EDTA in 10mM Tris buffer (pH8.5) at 120C for 3 min)

Applications for UBP1 Antibody (OTI9G7)

Application
Recommended Usage

Immunohistochemistry

1:150

Formulation, Preparation, and Storage

Purification

Immunogen affinity purified

Formulation

PBS (pH 7.3), 1.0% BSA and 50% Glycerol

Preservative

0.02% Sodium Azide

Concentration

1 mg/ml

Shipping

The product is shipped with polar packs. Upon receipt, store it immediately at the temperature recommended below.

Stability & Storage

Store at -20C. Avoid freeze-thaw cycles.

Background: UBP1

ZNF454

Alternate Names

DKFZp686L1745, LBP1, LBP1A, LBP-1a, LBP1B, LBP-1B, Transcription factor LBP-1, upstream binding protein 1 (LBP-1a), upstream-binding protein 1

Gene Symbol

UBP1

Additional UBP1 Products

Product Documents for UBP1 Antibody (OTI9G7)

Certificate of Analysis

To download a Certificate of Analysis, please enter a lot number in the search box below.

Product Specific Notices for UBP1 Antibody (OTI9G7)

This product is for research use only and is not approved for use in humans or in clinical diagnosis. Primary Antibodies are guaranteed for 1 year from date of receipt.

Loading...
Loading...
Loading...
Loading...