Skip to main content

Ubiquitin B Antibody (rUBB/9476) - Azide and BSA Free

Novus Biologicals, part of Bio-Techne | Catalog # NBP3-45080

Recombinant Monoclonal Antibody
Novus Biologicals, part of Bio-Techne
Catalog #
Availability
Size / Price
Qty
Loading...
NBP3-45080

Key Product Details

Species Reactivity

Human

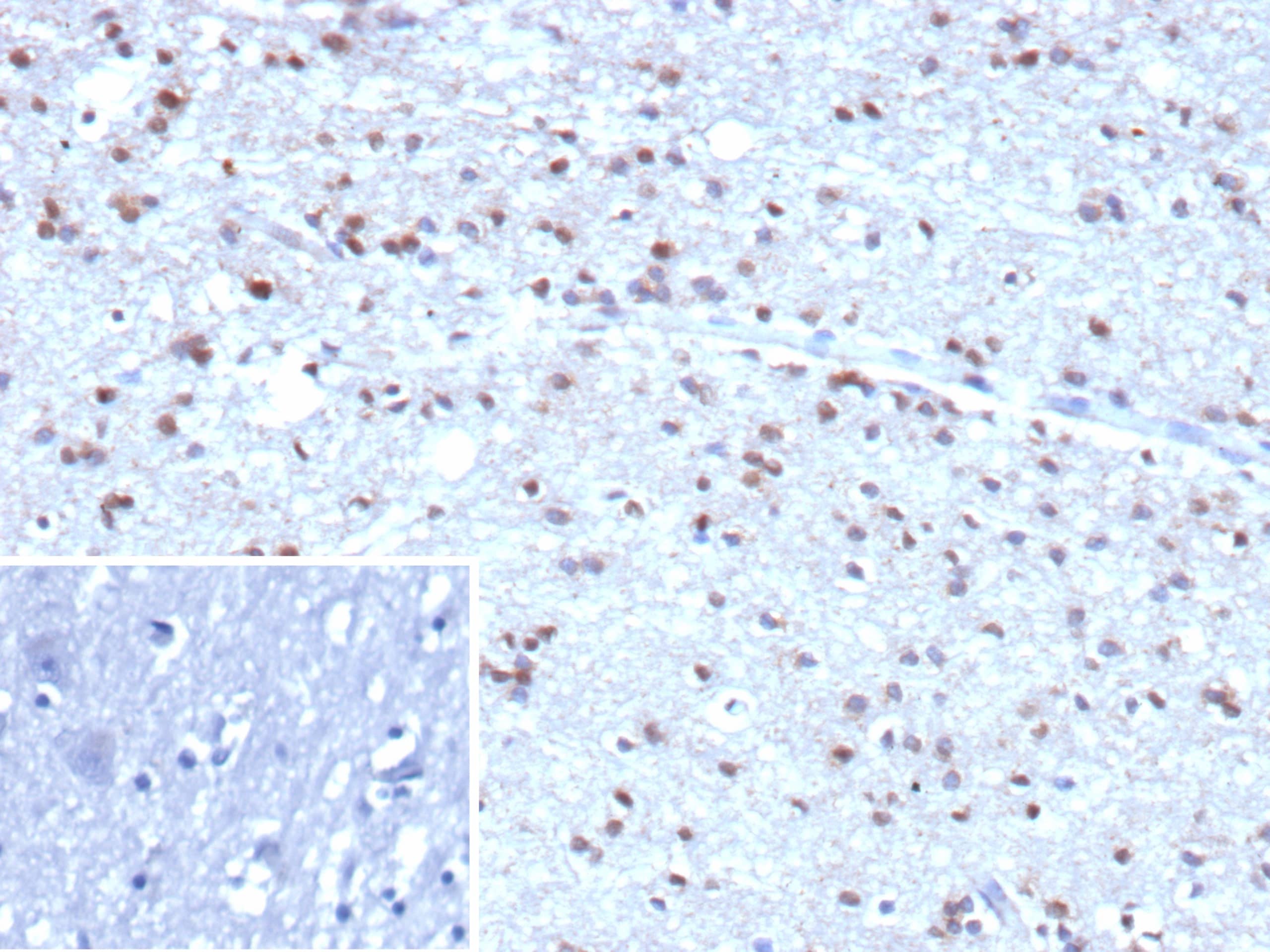
Applications

Immunohistochemistry, Western Blot

Label

Unconjugated

Antibody Source

Recombinant Monoclonal Mouse IgG2b Kappa Clone # rUBB/9476

Format

Azide and BSA Free

Concentration

1 mg/ml

Product Specifications

Immunogen

Recombinant fragment of human Ubiquitin protein (around aa 1-119) (Uniprot: P0G47; P0G48; P62979; P62987; P62988). Exact sequence is proprietary.

Localization

Cell membrane, Secreted

Clonality

Monoclonal

Host

Mouse

Isotype

IgG2b Kappa

Theoretical MW

9 kDa.
Disclaimer note: The observed molecular weight of the protein may vary from the listed predicted molecular weight due to post translational modifications, post translation cleavages, relative charges, and other experimental factors.

Description

1.0 mg/ml of Ab produced in CHO cell mammalian-based expression system.. Prepared in 10 mM PBS WITHOUT BSA & azide. Also availabl at 200 ug/ml with BSA & azide.

Antibody with azide - store at 2 to 8C. Antibody without azide - store at -20 to -80C. Non-hazardous. No MSDS required.

Applications for Ubiquitin B Antibody (rUBB/9476) - Azide and BSA Free

Application
Recommended Usage

Immunohistochemistry

: 1-2ug/ml

Western Blot

: 2-4ug/ml
Application Notes
Immunohistochemistry: 30 min at RT. Staining of formalin-fixed tissues requires heating tissue sections in 10mM Tris with 1mM EDTA, pH 9.0, for 45 min at 95C followed by cooling at RT for 20 minutes.

Formulation, Preparation, and Storage

Purification

Protein A or G purified

Formulation

10 mM PBS

Format

Azide and BSA Free

Preservative

No Preservative

Concentration

1 mg/ml

Shipping

The product is shipped with polar packs. Upon receipt, store it immediately at the temperature recommended below.

Stability & Storage

Store at -20 to -80C. Avoid freeze-thaw cycles.

Background: Ubiquitin+1

ubiquitin B encodes ubiquitin, one of the most conserved proteins known. Ubiquitin is required for ATP-dependent, nonlysosomal intracellular protein degradation of abnormal proteins and normal proteins with a rapid turnover. Ubiquitin is covalently bound to proteins to be degraded, and presumably labels these proteins for degradation. Ubiquitin also binds to histone H2A in actively transcribed regions but does not cause histone H2A degradation, suggesting that ubiquitin is also involved in regulation of gene expression. This gene consists of three direct repeats of the ubiquitin coding sequence with no spacer sequence. Consequently, the protein is expressed as a polyubiquitin precursor with a final amino acid after the last repeat. Aberrant form of this protein has been noticed in patients with Alzheimer's and Down syndrome.

Long Name

frame shift mutant

Alternate Names

FLJ25987, MGC8385, polyubiquitin B, polyubiquitin-B, RPS27A, UBA52, UBC, ubiquitin B

Gene Symbol

UBB

Additional Ubiquitin+1 Products

Product Documents for Ubiquitin B Antibody (rUBB/9476) - Azide and BSA Free

Certificate of Analysis

To download a Certificate of Analysis, please enter a lot number in the search box below.

Product Specific Notices for Ubiquitin B Antibody (rUBB/9476) - Azide and BSA Free

This product is for research use only and is not approved for use in humans or in clinical diagnosis. Primary Antibodies are guaranteed for 1 year from date of receipt.

Loading...
Loading...
Loading...
Loading...