Skip to main content

Ubiquitin B Antibody (rUBB/9476)

Novus Biologicals, part of Bio-Techne | Catalog # NBP3-44622

Recombinant Monoclonal Antibody
Novus Biologicals, part of Bio-Techne
Catalog #
Availability
Size / Price
Qty
Loading...
NBP3-44622-100ug
NBP3-44622-20ug

Key Product Details

Species Reactivity

Human

Applications

Immunohistochemistry, Western Blot

Label

Unconjugated

Antibody Source

Recombinant Monoclonal Mouse IgG2b Kappa Clone # rUBB/9476

Concentration

0.2 mg/ml

Product Specifications

Immunogen

Recombinant fragment of human Ubiquitin protein (around aa 1-119) (Uniprot: P0G47; P0G48; P62979; P62987; P62988). Exact sequence is proprietary.

Localization

Cell membrane, Secreted

Clonality

Monoclonal

Host

Mouse

Isotype

IgG2b Kappa

Theoretical MW

9 kDa.
Disclaimer note: The observed molecular weight of the protein may vary from the listed predicted molecular weight due to post translational modifications, post translation cleavages, relative charges, and other experimental factors.

Description

200ug/ml of Ab produced in CHO cell mammalian-based expression system.. Prepared in 10 mM PBS with 0.05% BSA & 0.05% azide. Also available WITHOUT BSA & azide at 1.0 mg/ml.

Antibody with azide - store at 2 to 8C. Antibody without azide - store at -20 to -80C. Non-hazardous. No MSDS required.

Scientific Data Images for Ubiquitin B Antibody (rUBB/9476)

Ubiquitin B Antibody (rUBB/9476)

Western Blot: Ubiquitin B Antibody (rUBB/9476) [NBP3-44622] -

Western Blot Analysis of HeLa lysate using Ubiquitin B Antibody (rUBB/9476).
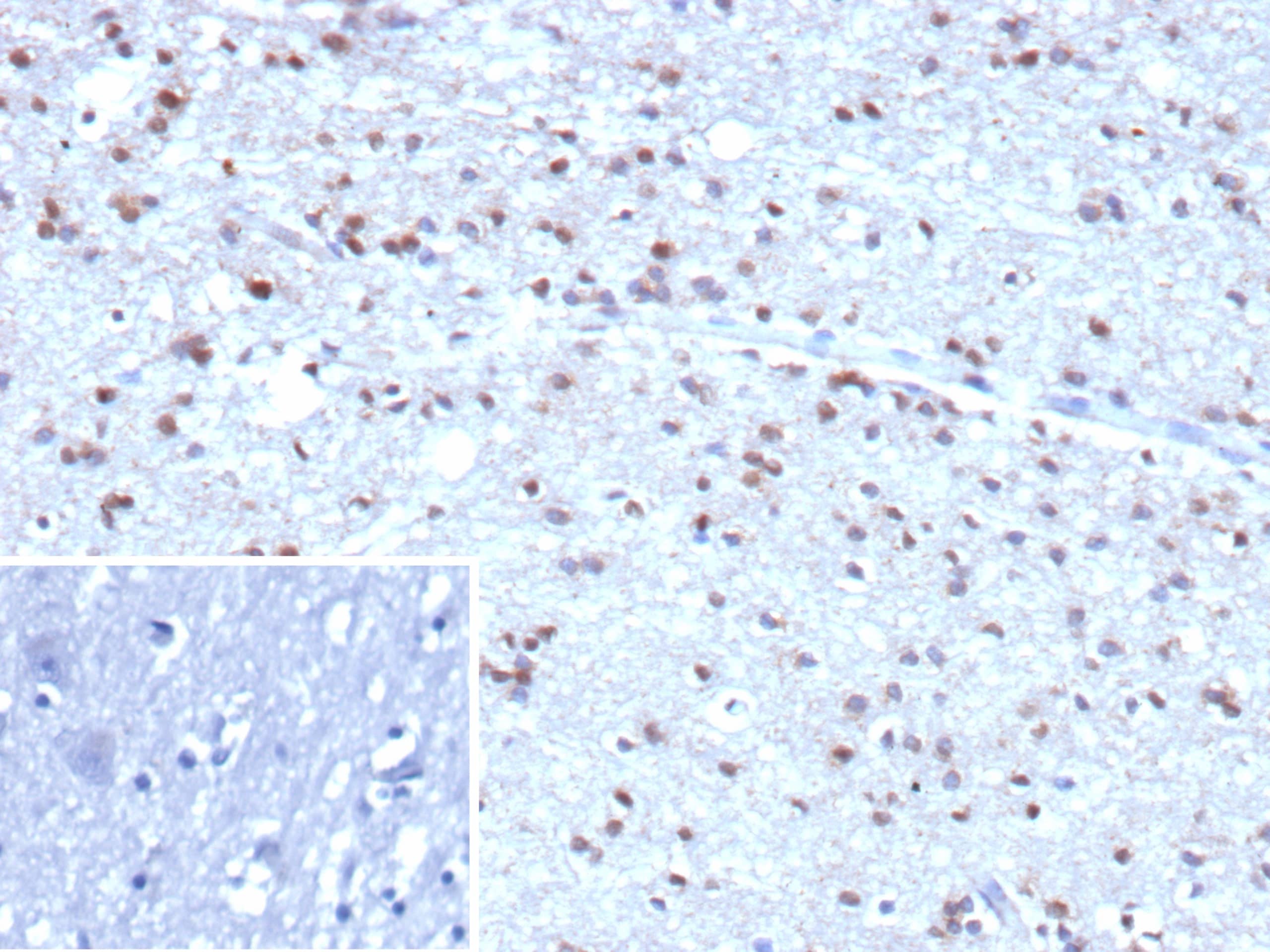
Ubiquitin B Antibody (rUBB/9476)

Immunohistochemistry-Paraffin: Ubiquitin B Antibody (rUBB/9476) [NBP3-44622] -

Formalin-fixed, paraffin-embedded human brain stained with Ubiquitin B Antibody (rUBB/9476).Inset: PBS instead of primary antibody; secondary only negative control.

Applications for Ubiquitin B Antibody (rUBB/9476)

Application
Recommended Usage

Immunohistochemistry

1-2ug/ml

Western Blot

2-4ug/ml
Application Notes
Immunohistochemistry: 30 min at RT. Staining of formalin-fixed tissues requires heating tissue sections in 10mM Tris with 1mM EDTA, pH 9.0, for 45 min at 95C followed by cooling at RT for 20 minutes.

Formulation, Preparation, and Storage

Purification

Protein A or G purified

Formulation

10 mM PBS with 0.05% BSA

Preservative

0.05% Sodium Azide

Concentration

0.2 mg/ml

Shipping

The product is shipped with polar packs. Upon receipt, store it immediately at the temperature recommended below.

Stability & Storage

Store at 4C.

Background: Ubiquitin+1

ubiquitin B encodes ubiquitin, one of the most conserved proteins known. Ubiquitin is required for ATP-dependent, nonlysosomal intracellular protein degradation of abnormal proteins and normal proteins with a rapid turnover. Ubiquitin is covalently bound to proteins to be degraded, and presumably labels these proteins for degradation. Ubiquitin also binds to histone H2A in actively transcribed regions but does not cause histone H2A degradation, suggesting that ubiquitin is also involved in regulation of gene expression. This gene consists of three direct repeats of the ubiquitin coding sequence with no spacer sequence. Consequently, the protein is expressed as a polyubiquitin precursor with a final amino acid after the last repeat. Aberrant form of this protein has been noticed in patients with Alzheimer's and Down syndrome.

Long Name

frame shift mutant

Alternate Names

FLJ25987, MGC8385, polyubiquitin B, polyubiquitin-B, RPS27A, UBA52, UBC, ubiquitin B

Gene Symbol

UBB

Additional Ubiquitin+1 Products

Product Documents for Ubiquitin B Antibody (rUBB/9476)

Certificate of Analysis

To download a Certificate of Analysis, please enter a lot number in the search box below.

Product Specific Notices for Ubiquitin B Antibody (rUBB/9476)

This product is for research use only and is not approved for use in humans or in clinical diagnosis. Primary Antibodies are guaranteed for 1 year from date of receipt.

Loading...
Loading...
Loading...
Loading...