Skip to main content

TTC31 Antibody

Novus Biologicals, part of Bio-Techne | Catalog # NBP2-20754

Novus Biologicals, part of Bio-Techne
Catalog #
Availability
Size / Price
Qty
Loading...
NBP2-20754

Key Product Details

Species Reactivity

Human

Applications

Immunohistochemistry, Immunohistochemistry-Paraffin, Western Blot

Label

Unconjugated

Antibody Source

Polyclonal Rabbit IgG

Concentration

Concentrations vary lot to lot. See vial label for concentration. If unlisted please contact technical services.

Product Specifications

Immunogen

Recombinant protein encompassing a sequence within the center region of human TTC31. The exact sequence is proprietary.

Clonality

Polyclonal

Host

Rabbit

Isotype

IgG

Theoretical MW

57 kDa.
Disclaimer note: The observed molecular weight of the protein may vary from the listed predicted molecular weight due to post translational modifications, post translation cleavages, relative charges, and other experimental factors.

Description

Novus Biologicals Rabbit TTC31 Antibody (NBP2-20754) is a polyclonal antibody validated for use in IHC and WB. All Novus Biologicals antibodies are covered by our 100% guarantee.

Scientific Data Images for TTC31 Antibody

Western Blot: TTC31 Antibody [NBP2-20754]

Western Blot: TTC31 Antibody [NBP2-20754]

Western Blot: TTC31 Antibody [NBP2-20754] - Sample (30 ug of whole cell lysate) A: THP-1 10% SDS PAGE gel, diluted at 1:1000.
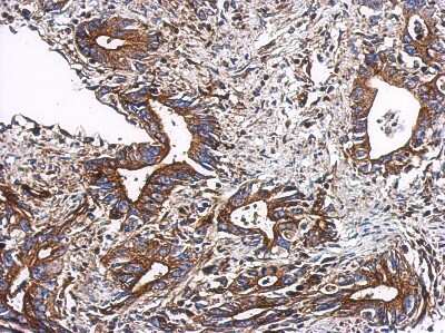
Immunohistochemistry-Paraffin: TTC31 Antibody [NBP2-20754]

Immunohistochemistry-Paraffin: TTC31 Antibody [NBP2-20754]

Immunohistochemistry-Paraffin: TTC31 Antibody [NBP2-20754] - Immunohistochemical analysis of paraffin-embedded Colon ca, using antibody at 1:500 dilution.

Applications for TTC31 Antibody

Application
Recommended Usage

Immunohistochemistry

10 - 1:500

Immunohistochemistry-Paraffin

1:100-1:1000

Western Blot

1:500-1:3000

Formulation, Preparation, and Storage

Purification

Antigen Affinity-purified

Formulation

PBS, 1% BSA, 20% Glycerol

Preservative

0.01% Thimerosal

Concentration

Concentrations vary lot to lot. See vial label for concentration. If unlisted please contact technical services.

Shipping

The product is shipped with polar packs. Upon receipt, store it immediately at the temperature recommended below.

Stability & Storage

Aliquot and store at -20C or -80C. Avoid freeze-thaw cycles.

Background: TTC31

Alternate Names

FLJ12788, FLJ33201, MGC120200, tetratricopeptide repeat domain 31, tetratricopeptide repeat protein 31, TPR repeat protein 31

Gene Symbol

TTC31

Additional TTC31 Products

Product Documents for TTC31 Antibody

Certificate of Analysis

To download a Certificate of Analysis, please enter a lot number in the search box below.

Product Specific Notices for TTC31 Antibody

This product is for research use only and is not approved for use in humans or in clinical diagnosis. Primary Antibodies are guaranteed for 1 year from date of receipt.

Loading...
Loading...
Loading...
Loading...

⚠ WARNING: This product can expose you to chemicals including mercury, which is known to the State of California to cause reproductive toxicity with developmental effects.  For more information go to www.P65Warnings.ca.gov.