Skip to main content

TSTA3 Antibody - BSA Free

Novus Biologicals, part of Bio-Techne | Catalog # NBP1-83408

Novus Biologicals, part of Bio-Techne
Catalog #
Availability
Size / Price
Qty
Loading...
NBP1-83408

Key Product Details

Species Reactivity

Validated:

Human

Predicted:

Mouse (92%), Rat (92%). Backed by our 100% Guarantee.

Applications

Immunohistochemistry, Immunohistochemistry-Paraffin, Western Blot, Immunocytochemistry/ Immunofluorescence

Label

Unconjugated

Antibody Source

Polyclonal Rabbit IgG

Format

BSA Free

Concentration

Concentrations vary lot to lot. See vial label for concentration. If unlisted please contact technical services.

Product Specifications

Immunogen

This antibody was developed against Recombinant Protein corresponding to amino acids: RILVTGGSGLVGKAIQKVVADGAGLPGEDWVFVSSKDADLTDTAQTRALFEKVQPTHVIHLAAMVG

Clonality

Polyclonal

Host

Rabbit

Isotype

IgG

Scientific Data Images for TSTA3 Antibody - BSA Free

Immunocytochemistry/ Immunofluorescence: TSTA3 Antibody [NBP1-83408]

Immunocytochemistry/ Immunofluorescence: TSTA3 Antibody [NBP1-83408]

Immunocytochemistry/Immunofluorescence: TSTA3 Antibody [NBP1-83408] - Staining of human cell line U-251 MG shows localization to cytosol. Antibody staining is shown in green.
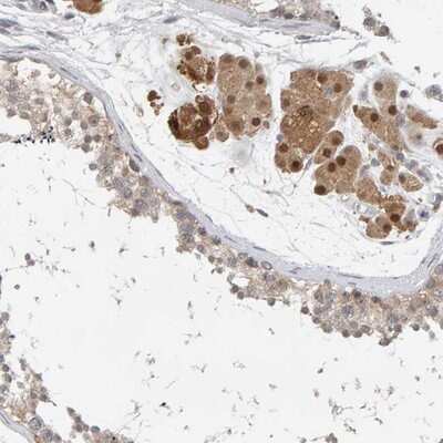
Immunohistochemistry-Paraffin: TSTA3 Antibody [NBP1-83408]

Immunohistochemistry-Paraffin: TSTA3 Antibody [NBP1-83408]

Immunohistochemistry-Paraffin: TSTA3 Antibody [NBP1-83408] - Staining of human testis shows distinct nuclear and cytoplasmic positivity in Leydig cells.
TSTA3 Antibody - BSA Free Western Blot: TSTA3 Antibody - BSA Free [NBP1-83408]

Western Blot: TSTA3 Antibody - BSA Free [NBP1-83408]

Analysis in control (vector only transfected HEK293T lysate) and TSTA3 over-expression lysate (Co-expressed with a C-terminal myc-DDK tag (~3.1 kDa) in mammalian HEK293T cells).

Applications for TSTA3 Antibody - BSA Free

Application
Recommended Usage

Immunocytochemistry/ Immunofluorescence

0.25-2 ug/ml

Immunohistochemistry

1:50 - 1:200

Immunohistochemistry-Paraffin

1:50 - 1:200

Western Blot

0.04-0.4 ug/ml
Application Notes
For IHC-Paraffin, HIER pH 6 retrieval is recommended. ICC/IF Fixation Permeabilization: Use PFA/Triton X-100.

Formulation, Preparation, and Storage

Purification

Affinity purified

Formulation

PBS (pH 7.2) and 40% Glycerol

Format

BSA Free

Preservative

0.02% Sodium Azide

Concentration

Concentrations vary lot to lot. See vial label for concentration. If unlisted please contact technical services.

Shipping

The product is shipped with polar packs. Upon receipt, store it immediately at the temperature recommended below.

Stability & Storage

Store at 4C short term. Aliquot and store at -20C long term. Avoid freeze-thaw cycles.

Background: TSTA3

Tissue specific transplantation antigen P35B is a NADP(H)-binding protein. It catalyze the two-step epimerase and the reductase reactions in GDP-D-mannose metabolism, converting GDP-4-keto-6-D-deoxymannose to GDP-L-fucose. GDP-L-fucose is the substrate of several fucosyltransferases involved in the expression of many glycoconjugates, including blood group ABH antigens and developmental adhesion antigens. Mutations in this gene may cause leukocyte adhesion deficiency, type II.

Alternate Names

EC 1.1.1.271, FX, GDP-4-keto-6-deoxy-D-mannose epimerase-reductase, GDP-4-keto-6-deoxy-D-mannose-3,5-epimerase-4-reductase, GDP-L-fucose synthase, P35B, Protein FX, Red cell NADP(H)-binding protein, SDR4E13-5 epimerase/4-reductase, short chain dehydrogenase/reductase family 4E, member 1, Short-chain dehydrogenase/reductase family 4E member 1, tissue specific transplantation antigen 3, tissue specific transplantation antigen P35B, Tissue-specific transplantation antigen-3

Gene Symbol

GFUS

Additional TSTA3 Products

Product Documents for TSTA3 Antibody - BSA Free

Certificate of Analysis

To download a Certificate of Analysis, please enter a lot number in the search box below.

Product Specific Notices for TSTA3 Antibody - BSA Free

This product is for research use only and is not approved for use in humans or in clinical diagnosis. Primary Antibodies are guaranteed for 1 year from date of receipt.

Loading...
Loading...
Loading...
Loading...