Skip to main content

Tropomyosin-1 Antibody (TPM1/4510)

Novus Biologicals, part of Bio-Techne | Catalog # NBP3-26739

Novus Biologicals, part of Bio-Techne
Catalog #
Availability
Size / Price
Qty
Loading...
NBP3-26739-20ug
NBP3-26739-100ug

Key Product Details

Species Reactivity

Human

Applications

Immunohistochemistry-Paraffin

Label

Unconjugated

Antibody Source

Monoclonal Mouse IgG1 Clone # TPM1/4510

Concentration

0.2 mg/ml

Product Specifications

Immunogen

Recombinant full-length Tropomyosin-1 protein

Localization

Cytoplasm, Cytoskeleton

Clonality

Monoclonal

Host

Mouse

Isotype

IgG1

Description

Antibody with azide - store at 2 to 8C. Antibody without azide - store at -20 to -80C. Non-hazardous. No MSDS required.

Scientific Data Images for Tropomyosin-1 Antibody (TPM1/4510)

Tropomyosin-1 Antibody (TPM1/4510)

Immunohistochemistry-Paraffin: Tropomyosin-1 Antibody (TPM1/4510) [NBP3-26739 ] -

Formalin-fixed, paraffin-embedded human skeletal muscle stained with Tropomyosin-1 Antibody (TPM1/4510). HIER: Tris/EDTA, pH9.0, 45min. 2°C: HRP-polymer, 30min. DAB, 5min.
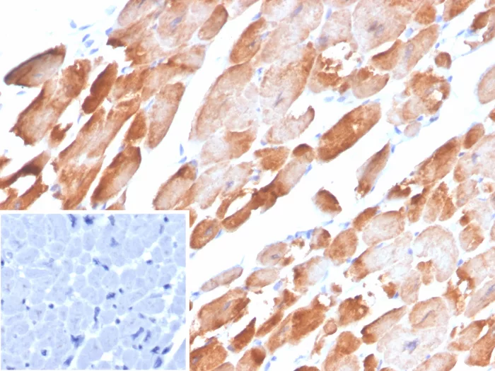
Tropomyosin-1 Antibody (TPM1/4510)

Immunohistochemistry-Paraffin: Tropomyosin-1 Antibody (TPM1/4510) [NBP3-26739 ] -

Formalin-fixed, paraffin-embedded human heart stained with Tropomyosin-1 Antibody (TPM1/4510). Inset: PBS instead of primary antibody; secondary only negative control.

Applications for Tropomyosin-1 Antibody (TPM1/4510)

Application
Recommended Usage

Immunohistochemistry-Paraffin

1-2ug/ml for 30 minutes at RT
Application Notes
Immunohistochemistry-Paraffin 1-2ug/ml for 30 minutes at RT. Optimal dilution for a specific application should be determined.. Staining of formalin-fixed tissues requires heating tissue sections in 10mM Tris with 1mM EDTA, pH 9.0, for 45 min at 95C followed by cooling at RT for 20 minutes

Formulation, Preparation, and Storage

Purification

Protein A or G purified

Formulation

10mM PBS with 0.05% BSA

Preservative

0.05% Sodium Azide

Concentration

0.2 mg/ml

Shipping

The product is shipped with polar packs. Upon receipt, store it immediately at the temperature recommended below.

Stability & Storage

Store at 4C.

Background: Tropomyosin-1

Tropomyosin is a rigid rod shaped protein closely associated with actin filaments. Non-muscle forms of tropomyosin have been identified in a wide range of cell types.

Alternate Names

alpha tropomyosin, alpha-tropomyosin, C15orf13, cardiomyopathy, hypertrophic 3, chromosome 15 open reading frame 13, CMD1Y, CMH3, HTM-alpha, sarcomeric tropomyosin kappa, TMSA, tropomyosin 1 (alpha), tropomyosin 1 (alpha) isoform 1, tropomyosin 1 (alpha) isoform 2, tropomyosin 1 (alpha) isoform 3, tropomyosin 1 (alpha) isoform 4, tropomyosin 1 (alpha) isoform 5, tropomyosin 1 (alpha) isoform 6, tropomyosin 1 (alpha) isoform 7, tropomyosin alpha-1 chain, tropomyosin-1

Gene Symbol

TPM1

Additional Tropomyosin-1 Products

Product Documents for Tropomyosin-1 Antibody (TPM1/4510)

Certificate of Analysis

To download a Certificate of Analysis, please enter a lot number in the search box below.

Product Specific Notices for Tropomyosin-1 Antibody (TPM1/4510)

This product is for research use only and is not approved for use in humans or in clinical diagnosis. Primary Antibodies are guaranteed for 1 year from date of receipt.

Loading...
Loading...
Loading...
Loading...