Skip to main content

TRF-2 Antibody - BSA Free

Novus Biologicals, part of Bio-Techne | Catalog # NB110-57130

Novus Biologicals, part of Bio-Techne
Catalog #
Availability
Size / Price
Qty
Loading...
NB110-57130SS
NB110-57130
Conjugate
Catalog #

Key Product Details

Validated by

Knockout/Knockdown

Species Reactivity

Validated:

Human, Mouse, Rat, Chinese Hamster, Primate

Cited:

Human, Mouse, Rat

Applications

Validated:

Immunohistochemistry, Immunohistochemistry-Paraffin, Western Blot, ELISA, Flow Cytometry, Flow (Intracellular), Immunocytochemistry/ Immunofluorescence, Simple Western, Immunoprecipitation, Chromatin Immunoprecipitation (ChIP), Dot Blot, Knockdown Validated

Cited:

Western Blot, ELISA, Immunocytochemistry/ Immunofluorescence, Immunoprecipitation, Chromatin Immunoprecipitation (ChIP), Chemotaxis, Cytometric Bead Assay Standard, FISH, Proximity Ligation Assay, IF/IHC, Knockdown

Label

Unconjugated

Antibody Source

Polyclonal Rabbit IgG

Format

BSA Free

Concentration

1.0 mg/ml

Product Specifications

Immunogen

This TRF-2 Antibody was developed against Baculovirus purified TRF2 protein.

Localization

Nuclear

Marker

Telomeres marker

Clonality

Polyclonal

Host

Rabbit

Isotype

IgG

Theoretical MW

59.6 kDa.
Disclaimer note: The observed molecular weight of the protein may vary from the listed predicted molecular weight due to post translational modifications, post translation cleavages, relative charges, and other experimental factors.

Scientific Data Images for TRF-2 Antibody - BSA Free

Immunocytochemistry/ Immunofluorescence: TRF-2 Antibody - BSA Free [NB110-57130]

Immunocytochemistry/ Immunofluorescence: TRF-2 Antibody - BSA Free [NB110-57130]

Immunocytochemistry/Immunofluorescence: TRF-2 Antibody [NB110-57130] - HeLa cells were fixed for 10 minutes using 10% formalin and then permeabilized for 5 minutes using 1X TBS + 0.5% Triton X-100. The cells were incubated with antibody at a 1:200 dilution overnight at 4 degrees Celsius and detected with DyLight 488 (Green) at a 1:500 dilution. Alpha tubulin was used as a co-stain at a 1:1000 dilution and detected with Dylight 550 (Red). Nuclei were detected with DAPI (Blue) at 2.0 ug/ml in 1X PBS. Cells were imaged using a 40X objective.
Simple Western: TRF-2 AntibodyBSA Free [NB110-57130]

Simple Western: TRF-2 AntibodyBSA Free [NB110-57130]

Simple Western: TRF-2 Antibody [NB110-57130] - Lane view shows a specific band for TRF2 in 1.0 mg/mL of HeLa lysate. This experiment was performed under reducing conditions using the 12-230 kDa separation system.
Western Blot: TRF-2 AntibodyBSA Free [NB110-57130]

Western Blot: TRF-2 AntibodyBSA Free [NB110-57130]

Western Blot: TRF-2 Antibody [NB110-57130] - Analysis of HeLa whole cell lysate (A), HeLa nuclear cell lysate (B), k562 cell lysate (C), HepG2 cell lysate (D), NIH/3T3 cell lysate (E), CHO cell lysate (F), PC12 cell lysate (G), and Cos7 cell lysate (H) using antibody at a concentration of 2 ug/mL.

Applications for TRF-2 Antibody - BSA Free

Application
Recommended Usage

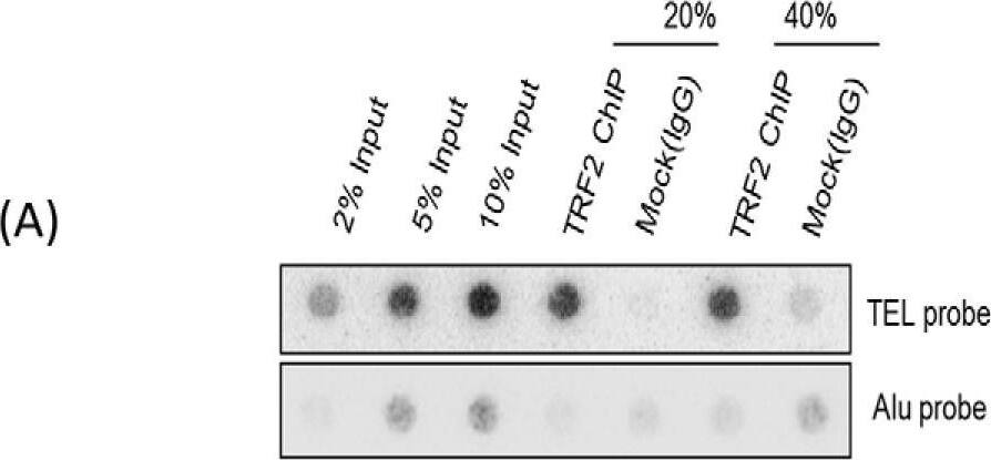
Chromatin Immunoprecipitation (ChIP)

1:10-1:500

Dot Blot

reported in scientific literature (PMID 31026066)

ELISA

reported in scientific literature (PMID 31575660)

Flow Cytometry

1-5 ug/ml

Immunocytochemistry/ Immunofluorescence

1:50 - 1:200

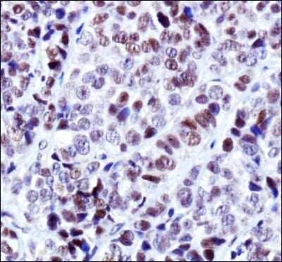
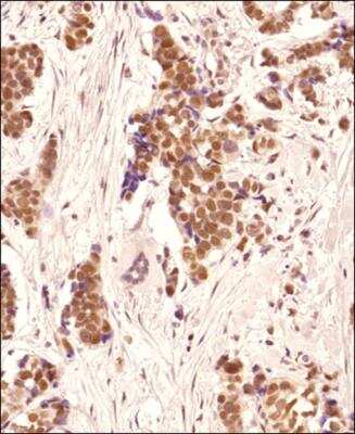
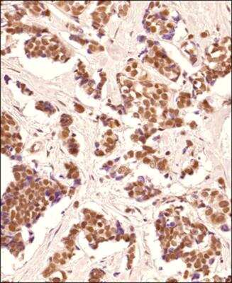
Immunohistochemistry

1:200

Immunohistochemistry-Paraffin

1:200

Immunoprecipitation

1:10 - 1:500. Use reported in scientific literature

Knockdown Validated

reported in scientific literature (PMID 31026066)

Simple Western

1:25

Western Blot

1:2000 - 1:5000
Application Notes
In Western blot, a band at approx. 56 kDa is seen. In ICC/IF, nuclear staining was observed in HeLa cells. In IHC, nuclear staining was observed in xenografted human breast cancer tissue. Prior to immunostaining paraffin tissues, antigen retrieval with sodium citrate buffer (pH 6.0) is recommended.

In Simple Western only 10 - 15 uL of the recommended dilution is used per data point.
See Simple Western Antibody Database for Simple Western validation: Tested in HeLa lysate 1.0 mg/mL, separated by Size, antibody dilution of 1:25, apparent MW was 66 kDa. Separated by Size-Wes, Sally Sue/Peggy Sue.
The observed molecular weight of the protein may vary from the listed predicted molecular weight due to post translational modifications, post translation cleavages, relative charges, and other experimental factors.

Reviewed Applications

Read 2 reviews rated 5 using NB110-57130 in the following applications:

Formulation, Preparation, and Storage

Purification

Immunogen affinity purified

Formulation

PBS

Format

BSA Free

Preservative

0.02% Sodium Azide

Concentration

1.0 mg/ml

Shipping

The product is shipped with polar packs. Upon receipt, store it immediately at the temperature recommended below.

Stability & Storage

Store at 4C short term. Aliquot and store at -20C long term. Avoid freeze-thaw cycles.

Background: TRF-2

Originally discovered as part of shelterin complex, telomeric repeat-binding factor 2 (TRF2, also called TERF2 or TRB2) is a ubiquitously expressed nuclear protein (55-60 kDa) involved in telomere homeostasis. TRF2 contains an N-terminal GAR domain, a central TRFH dimerization domain, and a C-terminal SAND/MYB-type DNA binding domain. Trf2 RNA has 10 exons and alternative splicing in rodents produces a truncated form, TRF2-S, which lacks the DNA binding domain and nuclear localization signal (NLS) (1).

Both TRF2 and TRF1 bind to telomeric double stranded 5'-TTAGGG-3' DNA repeats, then recruit RAP1, TIN2, TPP1, and POT1 for the assembly of the shelterin complex. The telomeric association of TRF2 is greatly increased in the S phase of the cell cycle (2). Loss of TRF2 leads to telomere shortening, the DNA damage response, chromosomal instability, and replicative senescence. Interestingly, the contribution of TRF2 to telomere shortening via a telomerase-independent mechanism has also been reported (3). In conjunction with the exonuclease, Apollo, TRF2 protects telomeres during replication and negatively regulates the accumulation of DNA topoisomerase (TOP1, TOP2A and TOP2B).

TRF2 has been implicated in cancer, shown to be a major oncogene in telomerase-deficient mice. A link to Werner syndrome, a premature aging disease caused by the loss of WRN, has been reported based on TRF2 recruitment of WRN for processing of telomeric DNA (4). TRF2 expression is increased during human embryonic stem cell differentiation and has been shown to interact with Repressor Element-1 Silencing Transcription Factor (REST), protecting it from proteasomal degradation (5).

References

1. Grammatikakis, I., Zhang, P., Mattson, M. P., & Gorospe, M. (2016). The long and the short of TRF2 in neurogenesis. Cell cycle (Georgetown, Tex.), 15(22), 3026-3032. PMID: 27565210

2. Li, F., Kim, H., Ji, Z., Zhang, T., Chen, B., Ge, Y., Hu, Y., Feng, X., Han, X., Xu, H., Zhang, Y., Yu, H., Liu, D., Ma, W., & Songyang, Z. (2018). The BUB3-BUB1 Complex Promotes Telomere DNA Replication. Molecular cell, 70(3), 395-407. PMID: 29727616

3. Ancelin, K., Brunori, M., Bauwens, S., Koering, C. E., Brun, C., Ricoul, M., Pommier, J. P., Sabatier, L., & Gilson, E. (2002). Targeting assay to study the cis functions of human telomeric proteins: evidence for inhibition of telomerase by TRF1 and for activation of telomere degradation by TRF2. Molecular and cellular biology, 22(10), 3474-3487. PMID: 11971978

4. Machwe A, Xiao L, & Orren DK. (2004) TRF2 recruits the Werner syndrome (WRN) exonuclease for processing of telomeric DNA. Oncogene. 23(1):149-56. PMID: 14712220.

5. Diotti, R., & Loayza, D. (2011). Shelterin complex and associated factors at human telomeres. Nucleus (Austin, Tex.), 2(2), 119-135. PMID: 21738835

Long Name

Telomeric Repeat Binding Factor 2

Alternate Names

TERF2, TRBF2, TRF2

Gene Symbol

TERF2

Additional TRF-2 Products

Product Documents for TRF-2 Antibody - BSA Free

Certificate of Analysis

To download a Certificate of Analysis, please enter a lot number in the search box below.

Product Specific Notices for TRF-2 Antibody - BSA Free

This product is for research use only and is not approved for use in humans or in clinical diagnosis. Primary Antibodies are guaranteed for 1 year from date of receipt.

Loading...
Loading...
Loading...
Loading...
Loading...
Loading...