Skip to main content

Transglutaminase 1/TGM1 Antibody - BSA Free

Novus Biologicals, part of Bio-Techne | Catalog # NBP2-34062

Novus Biologicals, part of Bio-Techne
Catalog #
Availability
Size / Price
Qty
Loading...
NBP2-34062-25ul
NBP2-34062

Key Product Details

Validated by

Orthogonal Validation

Species Reactivity

Validated:

Human

Cited:

Human

Applications

Validated:

Immunohistochemistry, Immunohistochemistry-Paraffin, Western Blot

Cited:

Immunocytochemistry/ Immunofluorescence

Label

Unconjugated

Antibody Source

Polyclonal Rabbit IgG

Format

BSA Free

Concentration

Concentrations vary lot to lot. See vial label for concentration. If unlisted please contact technical services.

Product Specifications

Immunogen

This antibody was developed against a recombinant protein corresponding to amino acids: MMDGPRSDVGRWGGNPLQPPTTPSPEPEPEPDGRSRRGGGRSFWARCCGCCSCRNAADDDWGPEPSDSRGRGSSSGTRRPGSRGSDSRRPVSRGSGVNAA

Clonality

Polyclonal

Host

Rabbit

Isotype

IgG

Scientific Data Images for Transglutaminase 1/TGM1 Antibody - BSA Free

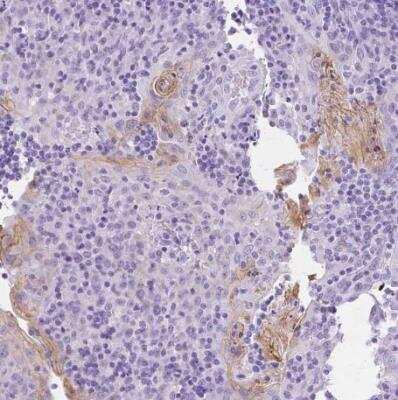
Immunohistochemistry-Paraffin: Transglutaminase 1/TGM1 Antibody [NBP2-34062]

Immunohistochemistry-Paraffin: Transglutaminase 1/TGM1 Antibody [NBP2-34062]

Immunohistochemistry-Paraffin: Transglutaminase 1/TGM1 Antibody [NBP2-34062] - Analysis in human esophagus and liver tissues using NBP2-34062 antibody. Corresponding TGM1 RNA-seq data are presented for the same tissues.
Western Blot: Transglutaminase 1/TGM1 Antibody [NBP2-34062]

Western Blot: Transglutaminase 1/TGM1 Antibody [NBP2-34062]

Western Blot: Transglutaminase 1/TGM1 Antibody [NBP2-34062] - Analysis in human tonsil tissue.
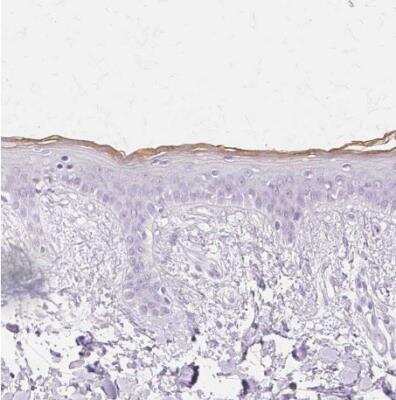
Immunohistochemistry-Paraffin: Transglutaminase 1/TGM1 Antibody [NBP2-34062]

Immunohistochemistry-Paraffin: Transglutaminase 1/TGM1 Antibody [NBP2-34062]

Immunohistochemistry-Paraffin: Transglutaminase 1/TGM1 Antibody [NBP2-34062] - Staining of human esophagus shows high expression.

Applications for Transglutaminase 1/TGM1 Antibody - BSA Free

Application
Recommended Usage

Immunohistochemistry

1:2500 - 1:5000

Immunohistochemistry-Paraffin

1:2500 - 1:5000

Western Blot

0.04-0.4 ug/ml
Application Notes
For IHC-Paraffin, HIER pH 6 retrieval is recommended.

Formulation, Preparation, and Storage

Purification

Affinity purified

Formulation

PBS (pH 7.2) and 40% Glycerol

Format

BSA Free

Preservative

0.02% Sodium Azide

Concentration

Concentrations vary lot to lot. See vial label for concentration. If unlisted please contact technical services.

Shipping

The product is shipped with polar packs. Upon receipt, store it immediately at the temperature recommended below.

Stability & Storage

Store at 4C short term. Aliquot and store at -20C long term. Avoid freeze-thaw cycles.

Background: Transglutaminase 1/TGM1

Tissue transglutaminase is a calcium activated enzyme which catalyzes the cross linking of proteins and the conjugation of polyamines to proteins. The identification of transglutaminase as the main antigen of endomysium antibodies allows a new diagnostic approach to celiac disease (CD). CD, a genetic, immunologically mediated small bowel enteropathy that causes malabsorption, is one of the more common disorders in Western countries.

Alternate Names

ICR2, KTG, LI1, TGase-1, TGK, TGM1

Gene Symbol

TGM1

UniProt

Additional Transglutaminase 1/TGM1 Products

Product Documents for Transglutaminase 1/TGM1 Antibody - BSA Free

Certificate of Analysis

To download a Certificate of Analysis, please enter a lot number in the search box below.

Product Specific Notices for Transglutaminase 1/TGM1 Antibody - BSA Free

This product is for research use only and is not approved for use in humans or in clinical diagnosis. Primary Antibodies are guaranteed for 1 year from date of receipt.

Loading...
Loading...
Loading...
Loading...