TRACP/PAP/ACP5 Antibody (7E6A11) - BSA Free
Novus Biologicals, part of Bio-Techne | Catalog # NBP2-37337
Key Product Details
Species Reactivity
Applications
Label
Antibody Source
Format
Concentration
Product Specifications
Immunogen
Clonality
Host
Isotype
Theoretical MW
Disclaimer note: The observed molecular weight of the protein may vary from the listed predicted molecular weight due to post translational modifications, post translation cleavages, relative charges, and other experimental factors.
Description
Scientific Data Images for TRACP/PAP/ACP5 Antibody (7E6A11) - BSA Free
Western Blot: TRACP/PAP/ACP5 Antibody (7E6A11)BSA Free [NBP2-37337]
Western Blot: TRACP/PAP/ACP5 Antibody (7E6A11) [NBP2-37337] - Western blot analysis using ACP5 mouse mAb against A431 (1), T47D (2), HepG2 (3), MOLT4 (4), Jurkat (5) and Hela (6) cell lysate.Immunohistochemistry: TRACP/PAP/ACP5 Antibody (7E6A11) - BSA Free [NBP2-37337]
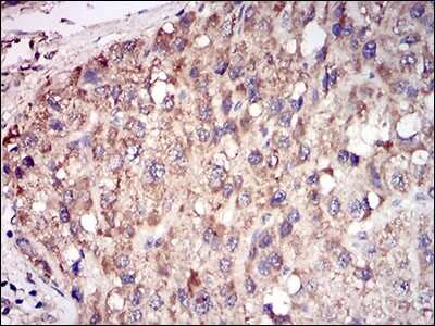
Immunohistochemistry: TRACP/PAP/ACP5 Antibody (7E6A11) [NBP2-37337] - Immunohistochemical analysis of paraffin-embedded liver cancer tissues using ACP5 mouse mAb with DAB staining.Western Blot: TRACP/PAP/ACP5 Antibody (7E6A11)BSA Free [NBP2-37337]
Western Blot: TRACP/PAP/ACP5 Antibody (7E6A11) [NBP2-37337] - Western blot analysis using ACP5 mAb against human ACP5 recombinant protein. (Expected MW is 37.3 kDa)Applications for TRACP/PAP/ACP5 Antibody (7E6A11) - BSA Free
ELISA
Immunohistochemistry
Immunohistochemistry-Paraffin
Western Blot
Formulation, Preparation, and Storage
Purification
Formulation
Format
Preservative
Concentration
Shipping
Stability & Storage
Background: TRACP/PAP/ACP5
TRACP is an iron-containing, 35 kDa glycoprotein that hydrolyses phosphomonoesters. It is produced as a monomer by osteoclasts and is cleaved by cathepsins to create a disulfide-linked dimer that acts on bone matrix phosphoserine-containing proteins in lysosomal vesicles. Following phosphate cleavage, TRACP is released from the cell where it serves as a marker of bone resorption.
Long Name
Alternate Names
Gene Symbol
Additional TRACP/PAP/ACP5 Products
Product Documents for TRACP/PAP/ACP5 Antibody (7E6A11) - BSA Free
Product Specific Notices for TRACP/PAP/ACP5 Antibody (7E6A11) - BSA Free
This product is for research use only and is not approved for use in humans or in clinical diagnosis. Primary Antibodies are guaranteed for 1 year from date of receipt.