Skip to main content

TORC2 Antibody - BSA Free

Novus Biologicals, part of Bio-Techne | Catalog # NBP1-86925

Novus Biologicals, part of Bio-Techne
Catalog #
Availability
Size / Price
Qty
Loading...
NBP1-86925
NBP1-86925-25ul

Key Product Details

Species Reactivity

Validated:

Human

Predicted:

Mouse (92%), Rat (94%). Backed by our 100% Guarantee.

Applications

Immunocytochemistry/ Immunofluorescence, Immunohistochemistry, Immunohistochemistry-Paraffin, Western Blot

Label

Unconjugated

Antibody Source

Polyclonal Rabbit IgG

Format

BSA Free

Concentration

Concentrations vary lot to lot. See vial label for concentration. If unlisted please contact technical services.

Product Specifications

Immunogen

This antibody was developed against Recombinant Protein corresponding to amino acids: ALNRTSSDSALHTSVMNPSPQDTYPGPTPPSILPSRRGGILDGEMDPKVPAIEENLLDDKHLLKPWDAKKLSSSSSRPRSCEVPGIN

Clonality

Polyclonal

Host

Rabbit

Isotype

IgG

Description

Novus Biologicals Rabbit TORC2 Antibody - BSA Free (NBP1-86925) is a polyclonal antibody validated for use in IHC, WB and ICC/IF. All Novus Biologicals antibodies are covered by our 100% guarantee.

Scientific Data Images for TORC2 Antibody - BSA Free

Immunocytochemistry/ Immunofluorescence: TORC2 Antibody [NBP1-86925]

Immunocytochemistry/ Immunofluorescence: TORC2 Antibody [NBP1-86925]

Immunocytochemistry/Immunofluorescence: TORC2 Antibody [NBP1-86925] - Immunofluorescent staining of human cell line U-2 OS shows localization to nucleoplasm.
TORC2 Antibody - BSA Free Immunohistochemistry-Paraffin: TORC2 Antibody - BSA Free [NBP1-86925]

Immunohistochemistry-Paraffin: TORC2 Antibody - BSA Free [NBP1-86925]

Staining of human lymph node shows moderate nuclear positivity in germinal center cells.
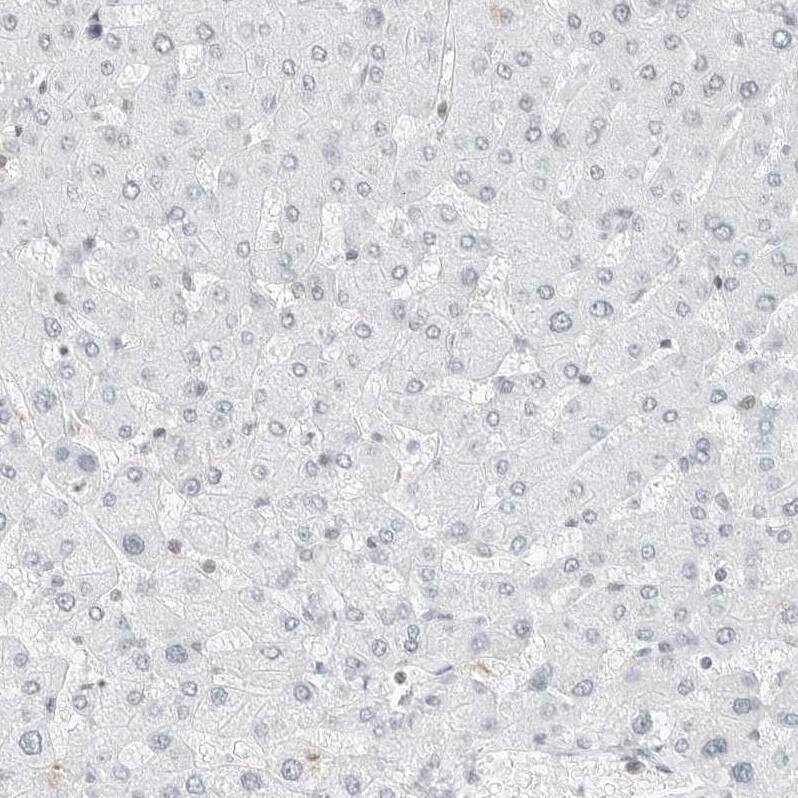
TORC2 Antibody - BSA Free Immunohistochemistry-Paraffin: TORC2 Antibody - BSA Free [NBP1-86925]

Immunohistochemistry-Paraffin: TORC2 Antibody - BSA Free [NBP1-86925]

Staining of human liver shows no positivity in hepatocytes as expected.

Applications for TORC2 Antibody - BSA Free

Application
Recommended Usage

Immunocytochemistry/ Immunofluorescence

0.25-2 ug/ml

Immunohistochemistry

1:50 - 1:200

Immunohistochemistry-Paraffin

1:50 - 1:200

Western Blot

0.04-0.4 ug/ml
Application Notes
For IHC-Paraffin, HIER pH 6 retrieval is recommended. ICC/IF, Fixation Permeabilization: Use PFA/Triton X-100.

Formulation, Preparation, and Storage

Purification

Immunogen affinity purified

Formulation

PBS (pH 7.2) and 40% Glycerol

Format

BSA Free

Preservative

0.02% Sodium Azide

Concentration

Concentrations vary lot to lot. See vial label for concentration. If unlisted please contact technical services.

Shipping

The product is shipped with polar packs. Upon receipt, store it immediately at the temperature recommended below.

Stability & Storage

Store at 4C short term. Aliquot and store at -20C long term. Avoid freeze-thaw cycles.

Background: TORC2

TORC2 (transducer of regulated CREB activity 2) is part of a family of CREB (cAMP response element-binding protein) coactivators that also includes TORC1 and TORC3. These proteins function to activate CREB-dependent transcription in response to cAMP and calcium signaling pathways. TORC2 has been found to be pivotal to the process of gluconeogenesis. TORC2 is also known as CREB regulated transcription activator 2, and CRTC2.

Long Name

Transducer of Regulated CREB protein 1

Alternate Names

CRTC2

Gene Symbol

CRTC2

Additional TORC2 Products

Product Documents for TORC2 Antibody - BSA Free

Certificate of Analysis

To download a Certificate of Analysis, please enter a lot number in the search box below.

Product Specific Notices for TORC2 Antibody - BSA Free

This product is for research use only and is not approved for use in humans or in clinical diagnosis. Primary Antibodies are guaranteed for 1 year from date of receipt.

Loading...
Loading...
Loading...
Loading...