Skip to main content

TOMM34 Antibody (OTI2A9) - Azide and BSA Free

Novus Biologicals, part of Bio-Techne | Catalog # NBP2-74550

Novus Biologicals, part of Bio-Techne
Catalog #
Availability
Size / Price
Qty
Loading...
NBP2-74550

Key Product Details

Species Reactivity

Human, Mouse, Rat

Applications

Immunohistochemistry, Immunohistochemistry-Paraffin, Western Blot, Flow Cytometry, Immunocytochemistry/ Immunofluorescence, CyTOF-ready

Label

Unconjugated

Antibody Source

Monoclonal Mouse IgG2A Clone # OTI2A9

Format

Azide and BSA Free

Concentration

LYOPH mg/ml

Product Specifications

Immunogen

Full length human recombinant protein of human TOMM34(NP_006800) produced in HEK293 cell.

Reactivity Notes

Please note that this antibody is reactive to Mouse and derived from the same host, Mouse. Mouse-On-Mouse blocking reagent may be needed for IHC and ICC experiments to reduce high background signal. You can find these reagents under catalog numbers PK-2200-NB and MP-2400-NB. Please contact Technical Support if you have any questions.

Clonality

Monoclonal

Host

Mouse

Isotype

IgG2A

Theoretical MW

34.4 kDa.
Disclaimer note: The observed molecular weight of the protein may vary from the listed predicted molecular weight due to post translational modifications, post translation cleavages, relative charges, and other experimental factors.

Description

Novus Biologicals Mouse TOMM34 Antibody (OTI2A9) - Azide and BSA Free (NBP2-00892) is a monoclonal antibody validated for use in IHC, WB, Flow and ICC/IF. All Novus Biologicals antibodies are covered by our 100% guarantee.

Scientific Data Images for TOMM34 Antibody (OTI2A9) - Azide and BSA Free

Western Blot: TOMM34 Antibody (OTI2A9)Azide and BSA Free [NBP2-74550]

Western Blot: TOMM34 Antibody (OTI2A9)Azide and BSA Free [NBP2-74550]

Western Blot: TOMM34 Antibody (OTI2A9) - Azide and BSA Free [NBP2-74550] - HEK293T cells were transfected with the pCMV6-ENTRY control (Left lane) or pCMV6-ENTRY TOMM34 (Right lane) cDNA for 48 hrs and lysed. Equivalent amounts of cell lysates (5 ug per lane) were separated by SDS-PAGE and immunoblotted with anti-TOMM34.
Immunocytochemistry/ Immunofluorescence: TOMM34 Antibody (OTI2A9) - Azide and BSA Free [NBP2-74550]

Immunocytochemistry/ Immunofluorescence: TOMM34 Antibody (OTI2A9) - Azide and BSA Free [NBP2-74550]

Immunocytochemistry/Immunofluorescence: TOMM34 Antibody (OTI2A9) - Azide and BSA Free [NBP2-74550] - Staining of COS7 cells transiently transfected by pCMV6-ENTRY TOMM34.
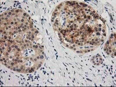
Immunohistochemistry: TOMM34 Antibody (OTI2A9) - Azide and BSA Free [NBP2-74550]

Immunohistochemistry: TOMM34 Antibody (OTI2A9) - Azide and BSA Free [NBP2-74550]

Immunohistochemistry: TOMM34 Antibody (OTI2A9) - Azide and BSA Free [NBP2-74550] - Staining of paraffin-embedded Human colon tissue using anti-TOMM34 mouse monoclonal antibody.

Applications for TOMM34 Antibody (OTI2A9) - Azide and BSA Free

Application
Recommended Usage

Flow Cytometry

1:100

Immunocytochemistry/ Immunofluorescence

1:50-100

Immunohistochemistry

1:150

Western Blot

1:500-2000

Formulation, Preparation, and Storage

Purification

Immunogen affinity purified

Reconstitution

we recommend adding 100uL distilled water to a final antibody concentration of about 1 mg/mL. To use this carrier-free antibody for conjugation experiment, we strongly recommend performing another round of desalting process.

Formulation

Lyophilized from PBS (pH 7.3) with 8% Trehalose

Format

Azide and BSA Free

Preservative

No Preservative

Concentration

LYOPH mg/ml

Shipping

The product is shipped with polar packs. Upon receipt, store it immediately at the temperature recommended below.

Stability & Storage

Store at -20C. Avoid freeze-thaw cycles.

Background: TOMM34

TOMM34 is encoded by this gene is involved in the import of precursor proteins into mitochondria. The encoded protein has a chaperone-like activity, binding the mature portion of unfolded proteins and aiding their import into mitochondria. This protein, which is found in the cytoplasm and sometimes associated with the outer mitochondrial membrane, has a weak ATPase activity and contains 6 TPR repeats.

Alternate Names

hTom34, HTOM34P, mitochondrial import receptor subunit TOM34, outer mitochondrial membrane translocase (34kD), TOM34, Translocase of outer membrane 34 kDa subunit, translocase of outer mitochondrial membrane 34, URCC3

Gene Symbol

TOMM34

Additional TOMM34 Products

Product Documents for TOMM34 Antibody (OTI2A9) - Azide and BSA Free

Certificate of Analysis

To download a Certificate of Analysis, please enter a lot number in the search box below.

Product Specific Notices for TOMM34 Antibody (OTI2A9) - Azide and BSA Free

This product is for research use only and is not approved for use in humans or in clinical diagnosis. Primary Antibodies are guaranteed for 1 year from date of receipt.

Loading...
Loading...
Loading...
Loading...
Loading...
Loading...