TOMM34 Antibody (OTI2A9)
Novus Biologicals, part of Bio-Techne | Catalog # NBP2-00892
Conjugate
Catalog #
Forumulation
Catalog #
Key Product Details
Species Reactivity
Validated:
Human, Mouse, Rat
Cited:
Human
Applications
Validated:
Immunohistochemistry, Immunohistochemistry-Paraffin, Western Blot, Flow Cytometry, Immunocytochemistry/ Immunofluorescence
Cited:
Immunohistochemistry-Paraffin
Label
Unconjugated
Antibody Source
Monoclonal Mouse IgG2A Clone # OTI2A9
Concentration
0.96 mg/ml
Product Specifications
Immunogen
Full length human recombinant protein of human TOMM34(NP_006800) produced in HEK293 cell.
Reactivity Notes
Please note that this antibody is reactive to Mouse and derived from the same host, Mouse. Mouse-On-Mouse blocking reagent may be needed for IHC and ICC experiments to reduce high background signal. You can find these reagents under catalog numbers PK-2200-NB and MP-2400-NB. Please contact Technical Support if you have any questions.
Clonality
Monoclonal
Host
Mouse
Isotype
IgG2A
Theoretical MW
34.4 kDa.
Disclaimer note: The observed molecular weight of the protein may vary from the listed predicted molecular weight due to post translational modifications, post translation cleavages, relative charges, and other experimental factors.
Disclaimer note: The observed molecular weight of the protein may vary from the listed predicted molecular weight due to post translational modifications, post translation cleavages, relative charges, and other experimental factors.
Description
Novus Biologicals Mouse TOMM34 Antibody (OTI2A9) (NBP2-00892) is a monoclonal antibody validated for use in IHC, WB, Flow and ICC/IF. Anti-TOMM34 Antibody: Cited in 1 publication. All Novus Biologicals antibodies are covered by our 100% guarantee.
Scientific Data Images for TOMM34 Antibody (OTI2A9)
Western Blot: TOMM34 Antibody (2A9) [NBP2-00892] Analysis of extracts (35ug) from 9 different cell lines by using anti-TOMM34 monoclonal antibody.
Immunocytochemistry/ Immunofluorescence: TOMM34 Antibody (OTI2A9) [NBP2-00892]
Immunocytochemistry/Immunofluorescence: TOMM34 Antibody (2A9) [NBP2-00892] - Staining of COS7 cells transiently transfected by pCMV6-ENTRY TOMM34.Immunohistochemistry-Paraffin: TOMM34 Antibody (OTI2A9) [NBP2-00892]
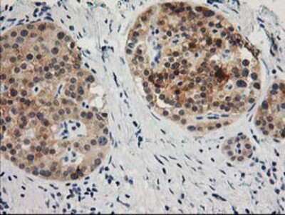
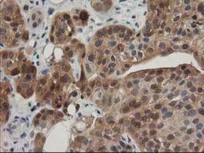
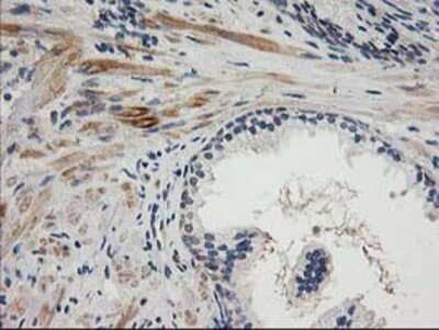
Immunohistochemistry-Paraffin: TOMM34 Antibody (2A9) [NBP2-00892] - Staining of paraffin-embedded Human prostate tissue using anti-TOMM34 mouse monoclonal antibody.Applications for TOMM34 Antibody (OTI2A9)
Application
Recommended Usage
Flow Cytometry
1:100
Immunocytochemistry/ Immunofluorescence
1:50-100
Immunohistochemistry
1:150
Immunohistochemistry-Paraffin
1:150
Western Blot
1:500-2000
Formulation, Preparation, and Storage
Purification
Immunogen affinity purified
Formulation
PBS (pH 7.3), 1.0% BSA and 50% Glycerol
Preservative
0.02% Sodium Azide
Concentration
0.96 mg/ml
Shipping
The product is shipped with polar packs. Upon receipt, store it immediately at the temperature recommended below.
Stability & Storage
Store at -20C. Avoid freeze-thaw cycles.
Background: TOMM34
Alternate Names
hTom34, HTOM34P, mitochondrial import receptor subunit TOM34, outer mitochondrial membrane translocase (34kD), TOM34, Translocase of outer membrane 34 kDa subunit, translocase of outer mitochondrial membrane 34, URCC3
Entrez Gene IDs
10953 (Human)
Gene Symbol
TOMM34
Additional TOMM34 Products
Product Documents for TOMM34 Antibody (OTI2A9)
Product Specific Notices for TOMM34 Antibody (OTI2A9)
This product is for research use only and is not approved for use in humans or in clinical diagnosis. Primary Antibodies are guaranteed for 1 year from date of receipt.
Loading...
Loading...
Loading...
Loading...
Loading...