Skip to main content

TNPO3 Antibody (0U3Q1)

Novus Biologicals, part of Bio-Techne | Catalog # NBP3-15908

Recombinant Monoclonal Antibody
Novus Biologicals, part of Bio-Techne
Catalog #
Availability
Size / Price
Qty
Loading...
NBP3-15908-100ul
NBP3-15908-20ul

Key Product Details

Species Reactivity

Human, Mouse, Rat

Applications

Immunohistochemistry, Immunohistochemistry-Paraffin, Western Blot, ELISA, Immunocytochemistry/ Immunofluorescence

Label

Unconjugated

Antibody Source

Recombinant Monoclonal Rabbit IgG Clone # 0U3Q1 expressed in HEK293

Concentration

Please see the vial label for concentration. If unlisted please contact technical services.

Product Specifications

Immunogen

A synthetic peptide corresponding to a sequence within amino acids 824-923 of human Transportin 3 (TNPO3) (Q9Y5L0). QVMNQLGQQLVSQLLHTCCFCLPPYTLPDVAEVLWEIMQVDRPTFCRWLENSLKGLPKETTVGAVTVTHKQLTDFHKQVTSAEECKQVCWALRDFTRLFR

Clonality

Monoclonal

Host

Rabbit

Isotype

IgG

Theoretical MW

104 kDa.
Disclaimer note: The observed molecular weight of the protein may vary from the listed predicted molecular weight due to post translational modifications, post translation cleavages, relative charges, and other experimental factors.

Description

Novus Biologicals Rabbit TNPO3 Antibody (0U3Q1) (NBP3-15908) is a recombinant monoclonal antibody validated for use in IHC, WB, ELISA and ICC/IF. All Novus Biologicals antibodies are covered by our 100% guarantee.

Scientific Data Images for TNPO3 Antibody (0U3Q1)

Western Blot: TNPO3 Antibody (0U3Q1) [NBP3-15908]

Western Blot: TNPO3 Antibody (0U3Q1) [NBP3-15908]

Western Blot: TNPO3 Antibody (0U3Q1) [NBP3-15908] - Western blot analysis of extracts of various cell lines, using Transportin 3 (TNPO3) Rabbit mAb (NBP3-15908) at 1:1000 dilution. Secondary antibody: HRP Goat Anti-Rabbit IgG (H+L) at 1:10000 dilution. Lysates/proteins: 25ug per lane. Blocking buffer: 3% nonfat dry milk in TBST. Detection: ECL Basic Kit. Exposure time: 3s.
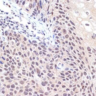
Immunohistochemistry-Paraffin: TNPO3 Antibody (0U3Q1) [NBP3-15908]

Immunohistochemistry-Paraffin: TNPO3 Antibody (0U3Q1) [NBP3-15908]

Immunohistochemistry-Paraffin: TNPO3 Antibody (0U3Q1) [NBP3-15908] - Immunohistochemistry of paraffin-embedded human esophageal cancer using Transportin 3 (TNPO3) Rabbit mAb (NBP3-15908) at dilution of 1:100 (40x lens).Perform microwave antigen retrieval with 10 mM Tris/EDTA buffer pH 9.0 before commencing with IHC staining protocol.
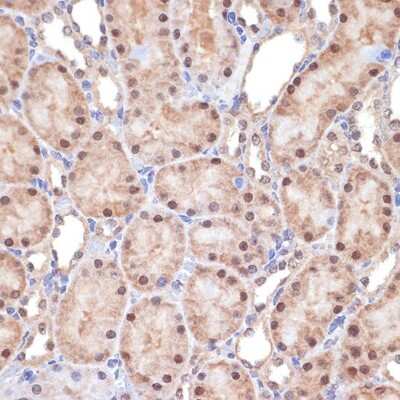
Immunohistochemistry-Paraffin: TNPO3 Antibody (0U3Q1) [NBP3-15908]

Immunohistochemistry-Paraffin: TNPO3 Antibody (0U3Q1) [NBP3-15908]

Immunohistochemistry-Paraffin: TNPO3 Antibody (0U3Q1) [NBP3-15908] - Immunohistochemistry of paraffin-embedded rat kidney using Transportin 3 (TNPO3) Rabbit mAb (NBP3-15908) at dilution of 1:100 (40x lens).Perform microwave antigen retrieval with 10 mM Tris/EDTA buffer pH 9.0 before commencing with IHC staining protocol.

Applications for TNPO3 Antibody (0U3Q1)

Application
Recommended Usage

ELISA

Recommended starting concentration is 1 μg/mL.

Immunocytochemistry/ Immunofluorescence

1:50 - 1:200

Immunohistochemistry

1:50 - 1:200

Immunohistochemistry-Paraffin

1:50-1:200

Western Blot

1:500 - 1:1000

Formulation, Preparation, and Storage

Purification

Affinity purified

Formulation

PBS (pH 7.3), 50% glycerol, 0.05% BSA

Preservative

0.02% Sodium Azide

Concentration

Please see the vial label for concentration. If unlisted please contact technical services.

Shipping

The product is shipped with polar packs. Upon receipt, store it immediately at the temperature recommended below.

Stability & Storage

Store at -20C. Avoid freeze-thaw cycles.

Background: TNPO3

TNPO3 is a nuclear import receptor for serine/arginine-rich (SR) proteins, which are essential precursor-mRNA splicing factors (Kataoka et al., 1999 [PubMed 10366588]).[supplied by OMIM]

Alternate Names

imp12, MTR10A, transportin 3, transportin-3

Gene Symbol

TNPO3

Additional TNPO3 Products

Product Documents for TNPO3 Antibody (0U3Q1)

Certificate of Analysis

To download a Certificate of Analysis, please enter a lot number in the search box below.

Product Specific Notices for TNPO3 Antibody (0U3Q1)

This product is for research use only and is not approved for use in humans or in clinical diagnosis. Primary Antibodies are guaranteed for 1 year from date of receipt.

Loading...
Loading...
Loading...
Loading...