TNF-alpha Antibody (TNF/1500R) - Azide and BSA Free
Novus Biologicals, part of Bio-Techne | Catalog # NBP3-11621
Recombinant Monoclonal Antibody
Conjugate
Catalog #
Key Product Details
Species Reactivity
Human, Rat
Applications
Immunohistochemistry, Immunohistochemistry-Paraffin
Label
Unconjugated
Antibody Source
Recombinant Monoclonal Rabbit IgG Clone # TNF/1500R
Format
Azide and BSA Free
Concentration
1 mg/ml
Product Specifications
Immunogen
Recombinant full-length human TNF-alpha protein (Uniprot: P01375)
Localization
Cytoplasmic and extracellular (secreted)
Clonality
Monoclonal
Host
Rabbit
Isotype
IgG
Theoretical MW
17 kDa.
Disclaimer note: The observed molecular weight of the protein may vary from the listed predicted molecular weight due to post translational modifications, post translation cleavages, relative charges, and other experimental factors.
Disclaimer note: The observed molecular weight of the protein may vary from the listed predicted molecular weight due to post translational modifications, post translation cleavages, relative charges, and other experimental factors.
Description
1.0 mg/ml of antibody purified from Bioreactor Concentrate. Prepared in 10mM PBS WITHOUT BSA & azide. Also available at 200 ug/ml WITH BSA & azide (NBP2-53242).
Antibody with azide - store at 2 to 8C. Antibody without azide - store at -20 to -80C.
Antibody with azide - store at 2 to 8C. Antibody without azide - store at -20 to -80C.
Scientific Data Images for TNF-alpha Antibody (TNF/1500R) - Azide and BSA Free
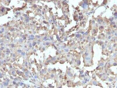
Immunohistochemistry-Paraffin: TNF-alpha Antibody (TNF/1500R) - Azide and BSA Free [NBP3-11621]
Immunohistochemistry-Paraffin: TNF-alpha Antibody (TNF/1500R) - Azide and BSA Free [NBP3-11621] - Formalin-fixed, paraffin-embedded Human Pancreas stained with TNF-alpha Recombinant Rabbit Monoclonal Antibody (TNF/1500R).Immunohistochemistry-Paraffin: TNF-alpha Antibody (TNF/1500R) - Azide and BSA Free [NBP3-11621]
Immunohistochemistry-Paraffin: TNF-alpha Antibody (TNF/1500R) - Azide and BSA Free [NBP3-11621] - Formalin-fixed, paraffin-embedded Human Histiocytoma stained with TNF-alpha Recombinant Rabbit Monoclonal Antibody (TNF/1500R).Applications for TNF-alpha Antibody (TNF/1500R) - Azide and BSA Free
Application
Recommended Usage
Immunohistochemistry-Paraffin
4-8 ug/ml
Application Notes
Immunohistochemistry (Formalin-fixed): 4-8ug/ml for 30 min at RT. Staining of formalin-fixed tissues requires heating tissue sections in 10mM Tris with 1mM EDTA, pH 9.0, for 45 min at 95C followed by cooling at RT for 20 minutes.
Optimal dilution for a specific application should be determined.
Optimal dilution for a specific application should be determined.
Formulation, Preparation, and Storage
Purification
Protein A purified
Formulation
10 mM PBS
Format
Azide and BSA Free
Preservative
No Preservative
Concentration
1 mg/ml
Shipping
The product is shipped with polar packs. Upon receipt, store it immediately at the temperature recommended below.
Stability & Storage
Store at -20 to -80C. Avoid freeze-thaw cycles.
Background: TNF-alpha
TNF-alpha is critical for normal immune response; however, dysregulation of TNF-alpha production can result in various pathologies (2,4,5). Excessive production of pro-inflammatory cytokines including interleukin 1 (IL-1), IL-6, and TNF-alpha has been implicated in an array of autoimmune diseases like rheumatoid arthritis (RA), inflammatory bowel disease (IBD), and psoriasis (2,4,5). Anti-TNF monoclonal antibodies, including Infliximab, and soluble TNFR have been approved for the treatment of autoimmune and TNF-mediated diseases (5). Additionally, data suggests that TNF inhibitors can be beneficial for treating patients experiencing immune-related adverse events associated with immune checkpoint inhibitor cancer treatment (6).
References
1. Holbrook J, Lara-Reyna S, Jarosz-Griffiths H, McDermott M. Tumour necrosis factor signalling in health and disease. F1000Res. 2019;8:F1000 Faculty Rev-111. https://doi.org/10.12688/f1000research.17023.1
2. Jang DI, Lee AH, Shin HY, et al. The Role of Tumor Necrosis Factor Alpha (TNF-alpha) in Autoimmune Disease and Current TNF-alpha Inhibitors in Therapeutics. Int J Mol Sci. 2021;22(5):2719. https://doi.org/10.3390/ijms22052719
3. Horiuchi T, Mitoma H, Harashima S, Tsukamoto H, Shimoda T. Transmembrane TNF-alpha: structure, function and interaction with anti-TNF agents. Rheumatology (Oxford). 2010;49(7):1215-1228. https://doi.org/10.1093/rheumatology/keq031
4. Webster JD, Vucic D. The Balance of TNF Mediated Pathways Regulates Inflammatory Cell Death Signaling in Healthy and Diseased Tissues. Front Cell Dev Biol. 2020;8:365. https://doi.org/10.3389/fcell.2020.00365
5. Kalliolias GD, Ivashkiv LB. TNF biology, pathogenic mechanisms and emerging therapeutic strategies. Nat Rev Rheumatol. 2016; 12(1):49-62. https://doi.org/10.1038/nrrheum.2015.169
6. Chen AY, Wolchok JD, Bass AR. TNF in the era of immune checkpoint inhibitors: friend or foe?. Nat Rev Rheumatol. 2021;17(4):213-223. doi:10.1038/s41584-021-00584-4
Long Name
Tumor Necrosis Factor alpha
Alternate Names
Cachetin, DIF, TNF, TNF-A, TNFA, TNFalpha, TNFG1F, TNFSF1A, TNFSF2
Gene Symbol
TNF
Additional TNF-alpha Products
Product Documents for TNF-alpha Antibody (TNF/1500R) - Azide and BSA Free
Product Specific Notices for TNF-alpha Antibody (TNF/1500R) - Azide and BSA Free
This product is for research use only and is not approved for use in humans or in clinical diagnosis. Primary Antibodies are guaranteed for 1 year from date of receipt.
Loading...
Loading...
Loading...
Loading...
Loading...