Skip to main content

TMEPAI Antibody (rPMEPA1/6422)

Novus Biologicals, part of Bio-Techne | Catalog # NBP3-07245

Recombinant Monoclonal Antibody
Novus Biologicals, part of Bio-Techne
Catalog #
Availability
Size / Price
Qty
Loading...
NBP3-07245-100ug
NBP3-07245-20ug

Key Product Details

Species Reactivity

Human

Applications

Immunohistochemistry-Paraffin

Label

Unconjugated

Antibody Source

Recombinant Monoclonal Mouse IgG1 kappa Clone # rPMEPA1/6422

Concentration

0.2 mg/ml

Product Specifications

Immunogen

Recombinant full-length human TMEPAI protein (Uniprot: Q96W9 )

Localization

Cell surface, Cytoplasm

Clonality

Monoclonal

Host

Mouse

Isotype

IgG1 kappa

Theoretical MW

32 kDa.
Disclaimer note: The observed molecular weight of the protein may vary from the listed predicted molecular weight due to post translational modifications, post translation cleavages, relative charges, and other experimental factors.

Description

200ug/ml of antibody purified from Bioreactor Concentrate by Protein A or G. Prepared in 10 mM PBS with 0.05% BSA & 0.05% azide. Also available WITHOUT BSA & azide at 1.0 mg/ml. (NBP3-08259)

Antibody with azide - store at 2 to 8C. Antibody without azide - store at -20 to -80 C.

Scientific Data Images for TMEPAI Antibody (rPMEPA1/6422)

Immunohistochemistry-Paraffin: TMEPAI Antibody (rPMEPA1/6422) [NBP3-07245]

Immunohistochemistry-Paraffin: TMEPAI Antibody (rPMEPA1/6422) [NBP3-07245]

Immunohistochemistry-Paraffin: TMEPAI Antibody (rPMEPA1/6422) [NBP3-07245] - Formalin-fixed, paraffin-embedded human prostate stained with TMEPAI Recombinant Mouse Monoclonal (rTMEPAI/6422).
Immunohistochemistry-Paraffin: TMEPAI Antibody (rPMEPA1/6422) [NBP3-07245]

Immunohistochemistry-Paraffin: TMEPAI Antibody (rPMEPA1/6422) [NBP3-07245]

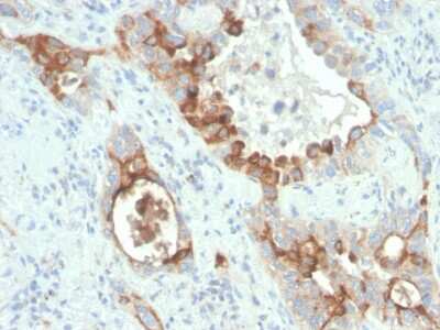
Immunohistochemistry-Paraffin: TMEPAI Antibody (rPMEPA1/6422) [NBP3-07245] - Formalin-fixed, paraffin-embedded human colon carcinoma stained with TMEPAI Recombinant Mouse Monoclonal (rTMEPAI/6422).

Applications for TMEPAI Antibody (rPMEPA1/6422)

Application
Recommended Usage

Immunohistochemistry-Paraffin

1-2 ug/ml
Application Notes
Immunohistochemistry (Formalin-fixed): 1-2ug/ml for 30 minutes at RT. Staining of formalin-fixed tissues requires heating tissue sections in 10mM Tris with 1mM EDTA, pH 9.0, for 45 min at 95C followed by cooling at RT for 20 minutes.
Optimal dilution for a specific application should be determined.

Formulation, Preparation, and Storage

Purification

Protein A or G purified

Formulation

10 mM PBS with 0.05% BSA

Preservative

0.05% Sodium Azide

Concentration

0.2 mg/ml

Shipping

The product is shipped with polar packs. Upon receipt, store it immediately at the temperature recommended below.

Stability & Storage

Store at 4C.

Background: TMEPAI

Interacts with the WW domains of NEDD4

Alternate Names

prostate transmembrane protein, androgen induced 1, Solid tumor-associated 1 protein, STAG1prostate androgen induced RNA, transmembrane prostate androgen-induced protein

Gene Symbol

PMEPA1

Additional TMEPAI Products

Product Documents for TMEPAI Antibody (rPMEPA1/6422)

Certificate of Analysis

To download a Certificate of Analysis, please enter a lot number in the search box below.

Product Specific Notices for TMEPAI Antibody (rPMEPA1/6422)

This product is for research use only and is not approved for use in humans or in clinical diagnosis. Primary Antibodies are guaranteed for 1 year from date of receipt.

Loading...
Loading...
Loading...
Loading...