TLR7 Antibody - BSA Free
Novus Biologicals, part of Bio-Techne | Catalog # NBP2-32483
Key Product Details
Validated by
Orthogonal Validation
Species Reactivity
Human
Applications
Immunohistochemistry, Immunohistochemistry-Paraffin
Label
Unconjugated
Antibody Source
Polyclonal Rabbit IgG
Format
BSA Free
Concentration
Concentrations vary lot to lot. See vial label for concentration. If unlisted please contact technical services.
Product Specifications
Immunogen
This antibody was developed against a recombinant protein corresponding to amino acids: MLNFTKNLKVLQKLMMNDNDISSSTSRTMESESLRTLEFRGNHLDVLWREGDNRYLQLFKNLLKLEELDISKNSLSFLPSGVFDGMPPNLKNL
Reactivity Notes
Immunogen displays the following percentage of sequence identity for non-tested species: Rat (80%)
Clonality
Polyclonal
Host
Rabbit
Isotype
IgG
Description
Novus Biologicals Rabbit TLR7 Antibody - BSA Free (NBP2-32483) is a polyclonal antibody validated for use in IHC. All Novus Biologicals antibodies are covered by our 100% guarantee.
Scientific Data Images for TLR7 Antibody - BSA Free
Immunohistochemistry-Paraffin: TLR7 Antibody [NBP2-32483]
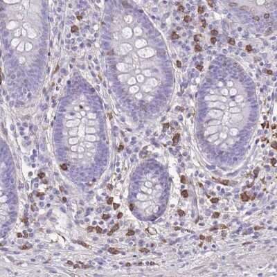
Immunohistochemistry-Paraffin: TLR7 Antibody [NBP2-32483] - Staining of human appendix shows high expression.Immunohistochemistry-Paraffin: TLR7 Antibody [NBP2-32483]
Immunohistochemistry-Paraffin: TLR7 Antibody [NBP2-32483] - Staining of human pancreas shows low expression as expected.Applications for TLR7 Antibody - BSA Free
Application
Recommended Usage
Immunohistochemistry
1:20 - 1:50
Application Notes
For IHC-Paraffin, HIER pH 6 retrieval is recommended.
Formulation, Preparation, and Storage
Purification
Affinity purified
Formulation
PBS (pH 7.2) and 40% Glycerol
Format
BSA Free
Preservative
0.02% Sodium Azide
Concentration
Concentrations vary lot to lot. See vial label for concentration. If unlisted please contact technical services.
Shipping
The product is shipped with polar packs. Upon receipt, store it immediately at the temperature recommended below.
Stability & Storage
Store at 4C short term. Aliquot and store at -20C long term. Avoid freeze-thaw cycles.
Background: TLR7
While TLRs play an important role in innate immune response, dysfunction in the TLR-MyD88 signaling cascade has also been reported in various autoimmune disorders (5,6). Elevated expression of TLR7 is associated with increased risk of system lupus erythematosus (SLE), an autoimmune disease involving B cell hyperactivity (6,7). Studies involving mouse models has also found that increased TLR7 expression predisposes mice to a lupus-like disease (7). Therapeutics targeting TLR7 have been developed to either enhance or inhibit its activity depending on the circumstance. For example, TLR7 agonists such as imiquimod, resiquimod, and 852A are used to increase TLR7 activity for treatment of cancers and to fight viral infections (7,8). On the other hand, TLR7 antagonists inhibit its activation and have been developed to combat chronic immune stimulation as seen in inflammatory and autoimmune diseases (8).
References
1. Petes C, Odoardi N, Gee K. The Toll for Trafficking: Toll-Like Receptor 7 Delivery to the Endosome. Front Immunol. 2017;8:1075. https://doi.org/10.3389/fimmu.2017.01075
2. Maeda K, Akira S. TLR7 Structure: Cut in Z-Loop. Immunity. 2016;45(4):705-707. https://doi.org/10.1016/j.immuni.2016.10.003
3. Krieg AM, Vollmer J. Toll-like receptors 7, 8, and 9: linking innate immunity to autoimmunity. Immunol Rev. 2007;220:251-269. https://doi.org/10.1111/j.1600-065X.2007.00572.x
4. Uniprot (Q9NYK1)
5. Zheng C, Chen J, Chu F, Zhu J, Jin T. Inflammatory Role of TLR-MyD88 Signaling in Multiple Sclerosis. Front Mol Neurosci. 2020;12:314. https://doi.org/10.3389/fnmol.2019.00314
6. Chi H, Li C, Zhao FS, et al. Anti-tumor Activity of Toll-Like Receptor 7 Agonists. Front Pharmacol. 2017;8:304. https://doi.org/10.3389/fphar.2017.00304
7. Fillatreau S, Manfroi B, Dorner T. Toll-like receptor signalling in B cells during systemic lupus erythematosus. Nat Rev Rheumatol. 2021;17(2):98-108. https://doi.org/10.1038/s41584-020-00544-4
8. Patinote C, Karroum NB, Moarbess G, et al. Agonist and antagonist ligands of toll-like receptors 7 and 8: Ingenious tools for therapeutic purposes. Eur J Med Chem. 2020;193:112238. https://doi.org/10.1016/j.ejmech.2020.112238
Long Name
Toll-like Receptor 7
Alternate Names
toll-like receptor 7
Gene Symbol
TLR7
Additional TLR7 Products
Product Documents for TLR7 Antibody - BSA Free
Product Specific Notices for TLR7 Antibody - BSA Free
This product is for research use only and is not approved for use in humans or in clinical diagnosis. Primary Antibodies are guaranteed for 1 year from date of receipt.
Loading...
Loading...
Loading...
Loading...