Skip to main content

Tissue alpha-L-Fucosidase/FUCA1 Antibody - BSA Free

Novus Biologicals, part of Bio-Techne | Catalog # NBP2-58170

Novus Biologicals, part of Bio-Techne
Catalog #
Availability
Size / Price
Qty
Loading...
NBP2-58170
NBP2-58170-25ul

Key Product Details

Validated by

Orthogonal Validation, Independent Antibodies

Species Reactivity

Validated:

Human

Predicted:

Mouse (94%), Rat (90%). Backed by our 100% Guarantee.

Applications

Immunohistochemistry, Immunohistochemistry-Paraffin, Western Blot

Label

Unconjugated

Antibody Source

Polyclonal Rabbit IgG

Format

BSA Free

Concentration

Concentrations vary lot to lot. See vial label for concentration. If unlisted please contact technical services.

Product Specifications

Immunogen

This antibody was developed against a recombinant protein corresponding to the following amino acid sequence: RDLVGELGTALRKRNIRYGLYHSLLEWFHPLYLLDKKNGFKTQHFVSAKTMPELYDLVNSYKPDLIWSDGEWECPDTYWNSTNFLSWL

Clonality

Polyclonal

Host

Rabbit

Isotype

IgG

Description

Novus Biologicals Rabbit Tissue alpha-L-Fucosidase/FUCA1 Antibody - BSA Free (NBP2-58170) is a polyclonal antibody validated for use in IHC and WB. All Novus Biologicals antibodies are covered by our 100% guarantee.

Scientific Data Images for Tissue alpha-L-Fucosidase/FUCA1 Antibody - BSA Free

Immunohistochemistry-Paraffin: Tissue alpha-L-Fucosidase/FUCA1 Antibody [NBP2-58170]

Immunohistochemistry-Paraffin: Tissue alpha-L-Fucosidase/FUCA1 Antibody [NBP2-58170]

Immunohistochemistry-Paraffin: Tissue alpha-L-Fucosidase/FUCA1 Antibody [NBP2-58170] - Analysis in human liver and skeletal muscle tissues using NBP2-58170 antibody. Corresponding FUCA1 RNA-seq data are presented for the same tissues.
Immunohistochemistry-Paraffin: Tissue alpha-L-Fucosidase/FUCA1 Antibody [NBP2-58170]

Immunohistochemistry-Paraffin: Tissue alpha-L-Fucosidase/FUCA1 Antibody [NBP2-58170]

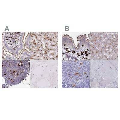
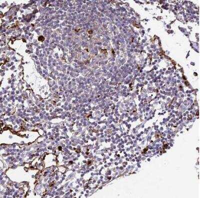
Immunohistochemistry-Paraffin: Tissue alpha-L-Fucosidase/FUCA1 Antibody [NBP2-58170] - Staining of human colon, liver, lymph node and skeletal muscle using Anti-FUCA1 antibody NBP2-58170 (A) shows similar protein distribution across tissues to independent antibody NBP2-32044 (B).
Western Blot: Tissue alpha-L-Fucosidase/FUCA1 Antibody [NBP2-58170]

Western Blot: Tissue alpha-L-Fucosidase/FUCA1 Antibody [NBP2-58170]

Western Blot: Tissue alpha-L-Fucosidase/FUCA1 Antibody [NBP2-58170] - Analysis in human cell line RT-4, human cell line U-251 MG, human plasma and human liver tissue.

Applications for Tissue alpha-L-Fucosidase/FUCA1 Antibody - BSA Free

Application
Recommended Usage

Immunohistochemistry

1:50 - 1:200

Immunohistochemistry-Paraffin

1:50 - 1:200

Western Blot

0.04-0.4 ug/ml
Application Notes
For IHC-Paraffin, HIER pH 6 retrieval is recommended.

Formulation, Preparation, and Storage

Purification

Affinity purified

Formulation

PBS (pH 7.2) and 40% Glycerol

Format

BSA Free

Preservative

0.02% Sodium Azide

Concentration

Concentrations vary lot to lot. See vial label for concentration. If unlisted please contact technical services.

Shipping

The product is shipped with polar packs. Upon receipt, store it immediately at the temperature recommended below.

Stability & Storage

Store at 4C short term. Aliquot and store at -20C long term. Avoid freeze-thaw cycles.

Background: Tissue alpha-L-Fucosidase/FUCA1

Alpha-L-fucosidase (EC 3.2.1.51) is a lysosomal enzyme involved in the degradation of fucose-containing glycoproteins and glycolipids (Occhiodoro et al., 1989 [PubMed 2803312]). At least 2 separate polymorphic alpha-L-fucosidases are recognized in man: that in tissues, FUCA1, which is deficient in fucosidosis (MIM 230000), and that in plasma, FUCA2 (MIM 136820).[supplied by OMIM]

Alternate Names

FUCA1, Tissue alphaLFucosidase

Gene Symbol

FUCA1

Additional Tissue alpha-L-Fucosidase/FUCA1 Products

Product Documents for Tissue alpha-L-Fucosidase/FUCA1 Antibody - BSA Free

Certificate of Analysis

To download a Certificate of Analysis, please enter a lot number in the search box below.

Product Specific Notices for Tissue alpha-L-Fucosidase/FUCA1 Antibody - BSA Free

This product is for research use only and is not approved for use in humans or in clinical diagnosis. Primary Antibodies are guaranteed for 1 year from date of receipt.

Loading...
Loading...
Loading...
Loading...