Skip to main content

TIMP-4 Antibody (9:4-7) - BSA Free

Novus Biologicals, part of Bio-Techne | Catalog # NBP2-21658

Novus Biologicals, part of Bio-Techne

Key Product Details

Species Reactivity

Validated:

Human

Predicted:

Bovine (90%). Backed by our 100% Guarantee.

Applications

Immunohistochemistry, Immunohistochemistry-Paraffin, Western Blot, ELISA

Label

Unconjugated

Antibody Source

Monoclonal Mouse IgG2b Kappa Clone # 9:4-7

Format

BSA Free

Concentration

Please see the vial label for concentration. If unlisted please contact technical services.

Product Specifications

Immunogen

TIMP-4 Antibody (9:4-7) was produced in mouse by repeated immunizations with full length human TIMP-4 protein followed by hybridoma development. (Uniprot: Q99727)

Reactivity Notes

A BLAST analysis was used to suggest cross-reactivity with TIMBIM 1 from human and mouse sources based on the immunizing sequence. Cross-reactivity with TIMP-4 from other sources has not been determined.

Specificity

TIMP-4 antibody is specific for human TIMP-4 protein. This antibody reacts with human TIMP-4 in tissue sections of formalin-fixed, paraffin-embedded In ELISAs and Native-PAGE, this antibody does not cross-react with recombinant human TIMP-1, -2 or -3. A BLAST analysis was used to suggest cross-reactivity with TIMP-4 from human and mouse sources based on the immunizing sequence. Cross-reactivity with TIMP-4 from other sources has not been determined.

Clonality

Monoclonal

Host

Mouse

Isotype

IgG2b Kappa

Description

This antibody was purified from clarified mouse ascetic fluid by Protein A chromatography followed by extensive dialysis against the buffer stated above

Store vial at -20C prior to opening. Aliquot contents and freeze at -20C or below for extended storage. Avoid cycles of freezing and thawing. Centrifuge product if not completely clear after standing at room temperature. This product is stable for several weeks at 4C as an undiluted liquid. Dilute only prior to immediate use.

Scientific Data Images for TIMP-4 Antibody (9:4-7) - BSA Free

Immunohistochemistry: TIMP-4 Antibody (9:4-7) [NBP2-21658]

Immunohistochemistry: TIMP-4 Antibody (9:4-7) [NBP2-21658]

Immunohistochemistry: TIMP-4 Antibody (9.4-7) [NBP2-21658] - Tissue: kidney. Fixation: formalin fixed paraffin embedded. Primary antibody: anti-TMIP4 antibody at 10 ug/mL for 1 h at RT. Secondary antibody: Peroxidase mouse secondary antibody at 1:10,000 for 45 min at RT. Staining: TMIP4 as precipitated red signal with hematoxylin purple nuclear counterstain.
Immunohistochemistry-Paraffin: TIMP-4 Antibody (9:4-7) [NBP2-21658]

Immunohistochemistry-Paraffin: TIMP-4 Antibody (9:4-7) [NBP2-21658]

Immunohistochemistry-Paraffin: TIMP-4 Antibody (9.4-7) [NBP2-21658] - Mouse Anti-TIMP-4 Antibody. Tissue: human breast carcinoma. Fixation: formalin fixed paraffin embedded. Antigen retrieval: not required. a) isotype specific IgG2bk monoclonal; b) TIMP-4 antibody ; and c) TIMP-4 each at 10 ug/mL. Secondary antibody: Peroxidase mouse secondary antibody at 1:10,000 for 45 min at RT. Localization: TIMP-4 is secreted. Staining: TIMP-4 as precipitated brown signal.
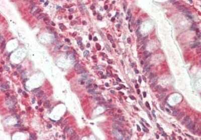
Immunohistochemistry: TIMP-4 Antibody (9:4-7) [NBP2-21658]

Immunohistochemistry: TIMP-4 Antibody (9:4-7) [NBP2-21658]

Immunohistochemistry: TIMP-4 Antibody (9.4-7) [NBP2-21658] - Tissue: small intestine. Fixation: formalin fixed paraffin embedded. Primary antibody: anti-TIMP4 antibody at 10 ug/mL for 1 h at RT. Secondary antibody: Peroxidase mouse secondary antibody at 1:10,000 for 45 min at RT. Staining: TIMP4 as precipitated red signal with hematoxylin purple nuclear counterstain.

Applications for TIMP-4 Antibody (9:4-7) - BSA Free

Application
Recommended Usage

ELISA

1:20000-1:100000

Immunohistochemistry

5-10ug/ml

Immunohistochemistry-Paraffin

5-10 ug/ml

Western Blot

1:2000-1:10000
Application Notes
This product has been tested for use in ELISA, Native - Western, and IHC (P). SDS-PAGE - Western Blot not useful for endogenous detection. Specific conditions for reactivity should be optimized by the end user.

Formulation, Preparation, and Storage

Purification

Protein A purified

Formulation

0.02 M Potassium Phosphate, 0.15 M Sodium Chloride, pH 7.2

Format

BSA Free

Preservative

0.01% Sodium Azide

Concentration

Please see the vial label for concentration. If unlisted please contact technical services.

Shipping

The product is shipped with polar packs. Upon receipt, store it immediately at the temperature recommended below.

Stability & Storage

Store at -20C short term. Aliquot and store at -80C long term. Avoid freeze-thaw cycles.

Background: TIMP-4

The tissue inhibitors of metalloproteinases (TIMPs) are naturally occurring proteins that specifically inhibit matrix metalloproteinases and regulate extracellular matrix turnover and tissue remodeling by forming tight binding inhibitory complexes with the MMPs. Thus, TIMPs maintain the balance between matrix destruction and formation. An imbalance between MMPs and the associated TIMPs may play a significant role in the invasive phenotype of malignant tumors. The TIMP proteins share several structural features including six loops held in place by six disulfide bonds arranged in three knot-like structures. These proteins also contain twelve cysteine residues in conserved regions of the molecule that form six disulfide bonds, essential for the formation of native conformations, and the N terminal region that is necessary for inhibitory activities. The N terminus of each TIMP contains a consensus sequence (VIRAK) and each TIMP is translated with a 29 amino acid leader sequence that is cleaved off to produce the mature protein. The C terminal regions are divergent, which enhances the selectivity of inhibition and binding efficiency. Although the TIMP proteins share high homology, they may either be secreted extracellularly in soluble form (TIMP1, TIMP2 and TIMP4) or bind to extracellular matrix components (TIMP3). The MMPs and TIMPs can be divided into two groups with respect to gene expression: the majority exhibit inducible expression and a small number are produced constitutively or are expressed at very low levels and are not inducible. Among agents that induce MMP and TIMP production are the inflammatory cytokines TNF alpha and IL1 beta. A marked cell type specificity is a hallmark of both MMP and TIMP gene expression (i.e. a limited number of cell types can be induced to make these proteins). Tissue Inhibitor of Metalloproteinases 4 (TIMP4) was identified by molecular cloning. TIMP4 shows 37 % amino acid identity with TIMP1 and 51 % homology with TIMP2 and TIMP3. TIMP4 is secreted extracellularly, predominantly in heart and brain tissue. It may function in a tissue specific fashion in extracellular matrix (ECM) homeostasis. TIMP4 has a strong inhibitory effect on the invasion of human breast cancer cells across reconstituted basement membranes suggesting that TIMP4 may have an important role in inhibiting primary tumor growth and progression. The human TIMP4 gene has the chromosomal location of 3p25.

Long Name

Tissue Inhibitors of Metalloproteinases 4

Alternate Names

TIMP4

Gene Symbol

TIMP4

UniProt

Additional TIMP-4 Products

Product Documents for TIMP-4 Antibody (9:4-7) - BSA Free

Certificate of Analysis

To download a Certificate of Analysis, please enter a lot number in the search box below.

Product Specific Notices for TIMP-4 Antibody (9:4-7) - BSA Free

This product is for research use only and is not approved for use in humans or in clinical diagnosis. Primary Antibodies are guaranteed for 1 year from date of receipt.

Loading...
Loading...
Loading...
Loading...