Skip to main content

Thyroglobulin Antibody (2H11 + 6E1) - Azide and BSA Free

Novus Biologicals, part of Bio-Techne | Catalog # NBP2-34530

Novus Biologicals, part of Bio-Techne
Catalog #
Availability
Size / Price
Qty
Loading...
NBP2-34530-0.1mg

Key Product Details

Species Reactivity

Human, Mouse, Rat

Applications

Immunohistochemistry, Immunohistochemistry-Paraffin, Flow Cytometry, CyTOF-ready

Label

Unconjugated

Antibody Source

Monoclonal Mouse IgG1 Kappa/IgG1 Kappa Clone # 2H11 + 6E1

Format

Azide and BSA Free

Concentration

1.0 mg/ml

Product Specifications

Immunogen

Human thyroid follicular cells

Localization

Cytoplasmic and secreted

Specificity

Thyroglobulin is a 660kDa dimeric pre-protein with multiple glycosylation sites. It is produced by and processed within the thyroid gland to produce the hormone thyroxine and triiodothyronine. Prior to forming dimers, thyroglobulin monomers undergo conformational maturation in the endoplasmic reticulation. The vast majority of follicular carcinomas of the thyroid will give positive immunoreactivity for anti-thyroglobulin even though sometimes only focally. Poorly differentiated carcinomas of the thyroid are frequently anti-thyroglobulin negative. Adenocarcinomas of other-than-thyroid origin do not react with this antibody. This antibody is useful in identification of thyroid carcinoma of the papillary and follicular types. Presence of thyroglobulin in metastatic lesions establishes the thyroid origin of tumor. Anti-thyroglobulin, combined with anti-calcitonin, can identify medullary carcinomas of the thyroid. Furthermore, anti-thyroglobulin, combined with anti-TTF1, can be a reliable marker to differentiate between primary thyroid and lung neoplasms.

Marker

Thyroidal Cell Marker

Clonality

Monoclonal

Host

Mouse

Isotype

IgG1 Kappa/IgG1 Kappa

Theoretical MW

660 kDa.
Disclaimer note: The observed molecular weight of the protein may vary from the listed predicted molecular weight due to post translational modifications, post translation cleavages, relative charges, and other experimental factors.

Description

1.0 mg/ml of antibody purified from Bioreactor Concentrate by Protein A/G. Prepared in 10mM PBS WITHOUT BSA & azide. Also available at 200 ug/ml WITH BSA & azide (NBP2-34294).

Antibody with azide - store at 2 to 8C. Antibody without azide - store at -20 to -80C.

Scientific Data Images for Thyroglobulin Antibody (2H11 + 6E1) - Azide and BSA Free

Immunohistochemistry-Paraffin: Thyroglobulin Antibody (2H11 + 6E1) - Azide and BSA Free [NBP2-34530]

Immunohistochemistry-Paraffin: Thyroglobulin Antibody (2H11 + 6E1) - Azide and BSA Free [NBP2-34530]

Immunohistochemistry-Paraffin: Thyroglobulin Antibody (2H11 + 6E1) - Azide and BSA Free [NBP2-34530] - Imaging of Mouse stomach tissue. Positive staining can only be observed inside the thyroid cells and the follicle in thyroid tissue. This image was submitted via customer Review.
Immunohistochemistry-Paraffin: Thyroglobulin Antibody (2H11 + 6E1) - Azide and BSA Free [NBP2-34530]

Immunohistochemistry-Paraffin: Thyroglobulin Antibody (2H11 + 6E1) - Azide and BSA Free [NBP2-34530]

Immunohistochemistry-Paraffin: Thyroglobulin Antibody (2H11 + 6E1) - Azide and BSA Free [NBP2-34530] - Thyroglobulin staining in thyroid tissue of normal C57 mouse (Red). Dilution is 1:100. This image was submitted via customer Review.
Immunohistochemistry-Paraffin: Thyroglobulin Antibody (2H11 + 6E1) - Azide and BSA Free [NBP2-34530]

Immunohistochemistry-Paraffin: Thyroglobulin Antibody (2H11 + 6E1) - Azide and BSA Free [NBP2-34530]

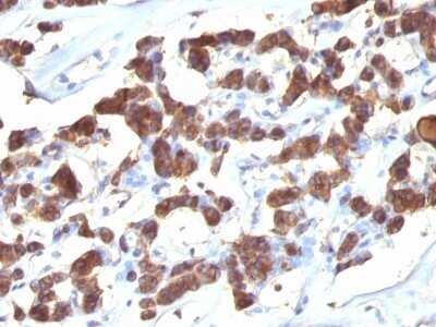
Immunohistochemistry-Paraffin: Thyroglobulin Antibody (2H11 + 6E1) - Azide and BSA Free [NBP2-34530] - Analysis using Azide/BSA FREE version of NBP2-34530. Human Thyroid stained with Thyroglobulin Ab (2H11 + 6E1).

Applications for Thyroglobulin Antibody (2H11 + 6E1) - Azide and BSA Free

Application
Recommended Usage

Flow Cytometry

0.5-1.0ug/million cells

Immunohistochemistry-Paraffin

0.5-1ug/ml
Application Notes
Immunohistochemistry (Formalin-fixed): 0.1-0.2ug/ml for 30 min at RT. Staining of formalin-fixed tissues requires heating tissue sections in 10mM Tris with 1mM EDTA, pH 9.0, for 45 min at 95C followed by cooling at RT for 20 minutes.
Optimal dilution for a specific application should be determined.

Formulation, Preparation, and Storage

Purification

Protein A or G purified

Formulation

10 mM PBS

Format

Azide and BSA Free

Preservative

No Preservative

Concentration

1.0 mg/ml

Shipping

The product is shipped with polar packs. Upon receipt, store it immediately at the temperature recommended below.

Stability & Storage

Store at -20 to -80C. Avoid freeze-thaw cycles.

Background: Thyroglobulin

Thyroglobulin is synthesized by the follicular epithelial cells of the thyroid. Thyroglobulin is the glycoprotein precursor to the thyroid hormones. Its synthesis and metabolism have seemingly wasteful features. It has a molecular weight of 660,000, with 2 identical subunits of MW 300,000 and 10% sugars; yet its complete hydrolysis yields only 2 to 4 molecules of the iodothyroxines T4 and T3. Baas et al. (1986) showed that the TG gene encodes an 8.7-kb mRNA, covers at least 300 kb of genomic DNA and contains at least 37 exons separated by introns as large as 64 kb. A striking structural difference between the 5-prime and 3-prime parts of the gene suggested that it is composed of 2 evolutionarily different regions. The first 30 kb of DNA encodes 3 kb of the mRNA yielding an exon:intron ratio of 1:10, whereas the remaining 270 kb encodes 5.7 kb of the mRNA with a ratio of 1.47.

Alternate Names

AITD3, cog, TDH3, Tg, TGN

Gene Symbol

TG

Additional Thyroglobulin Products

Product Documents for Thyroglobulin Antibody (2H11 + 6E1) - Azide and BSA Free

Certificate of Analysis

To download a Certificate of Analysis, please enter a lot number in the search box below.

Product Specific Notices for Thyroglobulin Antibody (2H11 + 6E1) - Azide and BSA Free

This product is for research use only and is not approved for use in humans or in clinical diagnosis. Primary Antibodies are guaranteed for 1 year from date of receipt.

Loading...
Loading...
Loading...
Loading...
Loading...