Thyroglobulin Antibody (2H11 + 6E1)
Novus Biologicals, part of Bio-Techne | Catalog # NBP2-34294
Conjugate
Catalog #
Forumulation
Catalog #
Key Product Details
Species Reactivity
Validated:
Human, Mouse, Rat
Cited:
Mouse
Applications
Validated:
Immunohistochemistry, Immunohistochemistry-Paraffin, Flow Cytometry
Cited:
Immunohistochemistry-Paraffin
Label
Unconjugated
Antibody Source
Monoclonal Mouse IgG1 Kappa/IgG1 Kappa Clone # 2H11 + 6E1
Concentration
0.2 mg/ml
Product Specifications
Immunogen
Human thyroid follicular cells
Localization
Cytoplasmic and secreted
Specificity
Thyroglobulin is a 660kDa dimeric pre-protein with multiple glycosylation sites. It is produced by and processed within the thyroid gland to produce the hormone thyroxine and triiodothyronine. Prior to forming dimers, thyroglobulin monomers undergo conformational maturation in the endoplasmic reticulation. The vast majority of follicular carcinomas of the thyroid will give positive immunoreactivity for anti-thyroglobulin even though sometimes only focally. Poorly differentiated carcinomas of the thyroid are frequently anti-thyroglobulin negative. Adenocarcinomas of other-than-thyroid origin do not react with this antibody. This antibody is useful in identification of thyroid carcinoma of the papillary and follicular types. Presence of thyroglobulin in metastatic lesions establishes the thyroid origin of tumor. Anti-thyroglobulin, combined with anti-calcitonin, can identify medullary carcinomas of the thyroid. Furthermore, anti-thyroglobulin, combined with anti-TTF1, can be a reliable marker to differentiate between primary thyroid and lung neoplasms.
Marker
Thyroidal Cell Marker
Clonality
Monoclonal
Host
Mouse
Isotype
IgG1 Kappa/IgG1 Kappa
Theoretical MW
660 kDa.
Disclaimer note: The observed molecular weight of the protein may vary from the listed predicted molecular weight due to post translational modifications, post translation cleavages, relative charges, and other experimental factors.
Disclaimer note: The observed molecular weight of the protein may vary from the listed predicted molecular weight due to post translational modifications, post translation cleavages, relative charges, and other experimental factors.
Description
200ug/ml of antibody purified from Bioreactor Concentrate by Protein A or G. Prepared in 10 mM PBS with 0.05% BSA & 0.05% azide. Also available WITHOUT BSA & azide at 1.0 mg/ml. (NBP2-34530)
Antibody with azide - store at 2 to 8C. Antibody without azide - store at -20 to -80C.
Antibody with azide - store at 2 to 8C. Antibody without azide - store at -20 to -80C.
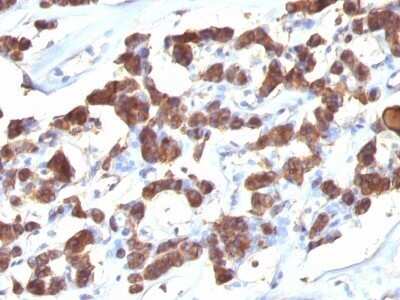
Scientific Data Images for Thyroglobulin Antibody (2H11 + 6E1)
Immunohistochemistry-Paraffin: Thyroglobulin Antibody (2H11 + 6E1) [NBP2-34294]
Immunohistochemistry-Paraffin: Thyroglobulin Antibody (2H11 + 6E1) [NBP2-34294] - Mouse thyroid tissue section stained with Thyroglobulin Antibody (2H11 + 6E1). IHC-P image submitted by a verified customer review.Immunohistochemistry-Paraffin: Thyroglobulin Antibody (2H11 + 6E1) [NBP2-34294]
Immunohistochemistry-Paraffin: Thyroglobulin Antibody (2H11 + 6E1) [NBP2-34294] - Analysis using Azide/BSA FREE version of NBP2-34294. Human Thyroid stained with Thyroglobulin Ab (2H11 + 6E1).Immunohistochemistry: Thyroglobulin Antibody (2H11 + 6E1) [NBP2-34294]
Immunohistochemistry: Thyroglobulin Antibody (2H11 + 6E1) [NBP2-34294] - Imaging of Mouse stomach tissue. Positive staining can only be observed inside the thyroid cells and the follicle in thyroid tissue. This image was submitted via customer Review.Applications for Thyroglobulin Antibody (2H11 + 6E1)
Application
Recommended Usage
Flow Cytometry
0.5-1.0 ug/million cells
Immunohistochemistry-Paraffin
0.1-0.2 ug/ml
Application Notes
Immunohistochemistry (Formalin-fixed): 0.1-0.2ug/ml for 30 min at RT. Staining of formalin-fixed tissues requires heating tissue sections in 10mM Tris with 1mM EDTA, pH 9.0, for 45 min at 95C followed by cooling at RT for 20 minutes.
Optimal dilution for a specific application should be determined.
Optimal dilution for a specific application should be determined.
Reviewed Applications
Read 3 reviews rated 5 using NBP2-34294 in the following applications:
Formulation, Preparation, and Storage
Purification
Protein A or G purified
Formulation
10 mM PBS with 0.05% BSA
Preservative
0.05% Sodium Azide
Concentration
0.2 mg/ml
Shipping
The product is shipped with polar packs. Upon receipt, store it immediately at the temperature recommended below.
Stability & Storage
Store at 4C.
Background: Thyroglobulin
Additional Thyroglobulin Products
Product Documents for Thyroglobulin Antibody (2H11 + 6E1)
Product Specific Notices for Thyroglobulin Antibody (2H11 + 6E1)
This product is for research use only and is not approved for use in humans or in clinical diagnosis. Primary Antibodies are guaranteed for 1 year from date of receipt.
Loading...
Loading...
Loading...
Loading...
Loading...