Skip to main content

Thrombomodulin/BDCA-3 Antibody (6C8.2F9) - BSA Free

Novus Biologicals, part of Bio-Techne | Catalog # NBP2-42213

Novus Biologicals, part of Bio-Techne
Catalog #
Availability
Size / Price
Qty
Loading...
NBP2-42213SS
NBP2-42213

Key Product Details

Species Reactivity

Validated:

Human, Mouse

Cited:

Human

Applications

Validated:

Immunohistochemistry, Immunohistochemistry-Paraffin, Western Blot, Flow Cytometry

Cited:

Western Blot

Label

Unconjugated

Antibody Source

Monoclonal Mouse IgG1 Lambda Clone # 6C8.2F9

Format

BSA Free

Concentration

1.0 mg/ml

Product Specifications

Immunogen

Partial recombinant human CD141 protein (between amino acids 200-400) [UniProt P07204].

Localization

Transmembrane protein with Extracellular, Helical and Cytoplasmic domains.

Marker

Endothelial Cells Damage Marker

Clonality

Monoclonal

Host

Mouse

Isotype

IgG1 Lambda

Theoretical MW

60.3 kDa.
Disclaimer note: The observed molecular weight of the protein may vary from the listed predicted molecular weight due to post translational modifications, post translation cleavages, relative charges, and other experimental factors.

Description

Novus Biologicals Mouse Thrombomodulin/BDCA-3 Antibody (6C8.2F9) - BSA Free (NBP2-42213) is a monoclonal antibody validated for use in IHC, WB and Flow. Anti-Thrombomodulin/BDCA-3 Antibody: Cited in 1 publication. All Novus Biologicals antibodies are covered by our 100% guarantee.

Scientific Data Images for Thrombomodulin/BDCA-3 Antibody (6C8.2F9) - BSA Free

Western Blot: Thrombomodulin/BDCA-3 Antibody (6C8.2F9)BSA Free [NBP2-42213]

Western Blot: Thrombomodulin/BDCA-3 Antibody (6C8.2F9)BSA Free [NBP2-42213]

Western Blot: Thrombomodulin/BDCA-3 Antibody (6C8.2F9) [NBP2-42213] - Western blot analysis of Thrombomodulin/BDCA-3 [6C8.2F9] in mouse heart lysate at 5 ug/ml.
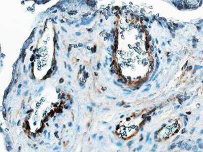
Immunohistochemistry-Paraffin: Thrombomodulin/BDCA-3 Antibody (6C8.2F9) - BSA Free [NBP2-42213]

Immunohistochemistry-Paraffin: Thrombomodulin/BDCA-3 Antibody (6C8.2F9) - BSA Free [NBP2-42213]

Immunohistochemistry-Paraffin: Thrombomodulin/BDCA-3 Antibody (6C8.2F9) [NBP2-42213] - IHC analysis of a formalin fixed paraffin embedded tissue section of human placenta using Thrombomodulin/BDCA-3 antibody (clone 6C8.2F9) at 15 ug/ml concentration. The antibody generated specific staining in the endothelial cells of placental blood vessels while all other cell types including RBCs were found negative for Thrombomodulin.
Flow Cytometry: Thrombomodulin/BDCA-3 Antibody (6C8.2F9) - BSA Free [NBP2-42213]

Flow Cytometry: Thrombomodulin/BDCA-3 Antibody (6C8.2F9) - BSA Free [NBP2-42213]

Flow Cytometry: Thrombomodulin/BDCA-3 Antibody (6C8.2F9) [NBP2-42213] - 1 million human PBMCs were immunostained with 1ug of Thrombomodulin/BDCA-3 antibody (clone 6C8.2F9) followed by detection via labelling with 0.5 ug of goat anti-mouse IgG-PE. Blue line represents cells alone, green line represents isotype control and shifted red line represents test purified antibody clone 6C8.2F9.

Applications for Thrombomodulin/BDCA-3 Antibody (6C8.2F9) - BSA Free

Application
Recommended Usage

Flow Cytometry

1 ug / million cells

Immunohistochemistry

10 - 15 ug/ml

Immunohistochemistry-Paraffin

10 - 15 ug/ml

Western Blot

4-5 ug/ml
Application Notes
Thrombomodulin is a 575 amino acids long protein with predicted molecular weight of 60.3 kDa, however, the post translationally modified /glycosylated protein may run at relatively higher molecular weight position on Western blot. Endothelial cells are unique in synthesizing thrombomodulin protein, but its presence in some other cell types such as dendritic cells/PBMCs has also been reported. The observed molecular weight of the protein may vary from the listed predicted molecular weight due to post translational modifications, post translation cleavages, relative charges, and other experimental factors.

Formulation, Preparation, and Storage

Purification

Protein G purified

Formulation

PBS

Format

BSA Free

Preservative

0.02% Sodium Azide

Concentration

1.0 mg/ml

Shipping

The product is shipped with polar packs. Upon receipt, store it immediately at the temperature recommended below.

Stability & Storage

Store at -20C. Avoid freeze-thaw cycles.

Background: Thrombomodulin/BDCA-3

Thrombomodulin (THBD/CD141) is a transmembrane glycoprotein which acts as a physiological anticoagulant and its anticoagulation activities are accomplished by transforming thrombin from a pro-coagulant to an anticoagulant, directly inhibiting its clotting /cell activation potential. THBD generates a 1:1 stoichiometric complex with thrombin resulting in the activation of protein C which then scissions the activated coagulation cofactors (factor Va and factor VIIIa) and thereby reducing the amount of thrombin generated. THBD is expressed mainly by endothelial cells, however, its presence on the surface of other cell types such as epithelial cells, mesothelial cells, immune cells, osteoblasts and islet cells has also been documented. Besides its critical role in the regulation of coagulation process, THBD implicates in inflammation, fibrinolysis and cellular proliferation also. It provides protection against endothelial injury as well as microvascular thrombosis and it acts as a negative regulator of the complement system. Mutations in THBD gene have been linked to disorders such as Thrombophilia due to thrombomodulin defect (THPH12) and atypical haemolytic uraemic syndrome (aHUS)/ Hemolytic uremic syndrome atypical 6 (AHUS6).

Alternate Names

BDCA-3, BDCA3, CD141, Fetomodulin, THBD, THRM

Entrez Gene IDs

7056 (Human)

Gene Symbol

THBD

UniProt

Additional Thrombomodulin/BDCA-3 Products

Product Documents for Thrombomodulin/BDCA-3 Antibody (6C8.2F9) - BSA Free

Certificate of Analysis

To download a Certificate of Analysis, please enter a lot number in the search box below.

Product Specific Notices for Thrombomodulin/BDCA-3 Antibody (6C8.2F9) - BSA Free

This product is for research use only and is not approved for use in humans or in clinical diagnosis. Primary Antibodies are guaranteed for 1 year from date of receipt.

Loading...
Loading...
Loading...
Loading...
Loading...