Skip to main content

TFG Antibody (OTI2C3)

Novus Biologicals, part of Bio-Techne | Catalog # NBP2-01438

Novus Biologicals, part of Bio-Techne

Key Product Details

Species Reactivity

Human, Mouse, Rat

Applications

Immunohistochemistry, Immunohistochemistry-Paraffin, Western Blot

Label

Unconjugated

Antibody Source

Monoclonal Mouse IgG1 Clone # OTI2C3

Concentration

0.45 mg/ml

Product Specifications

Immunogen

Full length human recombinant protein of human TFG(NP_001007566) produced in HEK293T cell.

Reactivity Notes

Please note that this antibody is reactive to Mouse and derived from the same host, Mouse. Mouse-On-Mouse blocking reagent may be needed for IHC and ICC experiments to reduce high background signal. You can find these reagents under catalog numbers PK-2200-NB and MP-2400-NB. Please contact Technical Support if you have any questions.

Clonality

Monoclonal

Host

Mouse

Isotype

IgG1

Theoretical MW

43.3 kDa.
Disclaimer note: The observed molecular weight of the protein may vary from the listed predicted molecular weight due to post translational modifications, post translation cleavages, relative charges, and other experimental factors.

Description

Novus Biologicals Mouse TFG Antibody (OTI2C3) (NBP2-01438) is a monoclonal antibody validated for use in IHC and WB. All Novus Biologicals antibodies are covered by our 100% guarantee.

Scientific Data Images for TFG Antibody (OTI2C3)

Western Blot: TFG Antibody (OTI2C3) [NBP2-01438]

Western Blot: TFG Antibody (OTI2C3) [NBP2-01438]

Western Blot: TFG Antibody (2C3) [NBP2-01438] - HEK293T cells were transfected with the pCMV6-ENTRY control (Left lane) or pCMV6-ENTRY TFG (Right lane) cDNA for 48 hrs and lysed. Equivalent amounts of cell lysates (5 ug per lane) were separated by SDS-PAGE and immunoblotted with anti-TFG.
Immunohistochemistry-Paraffin: TFG Antibody (2C3) [NBP2-01438] Staining of paraffin-embedded Human tonsil using anti-TFG mouse monoclonal antibody.
Immunohistochemistry-Paraffin: TFG Antibody (OTI2C3) [NBP2-01438]

Immunohistochemistry-Paraffin: TFG Antibody (OTI2C3) [NBP2-01438]

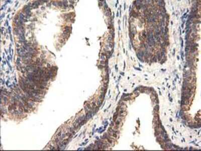
Immunohistochemistry-Paraffin: TFG Antibody (2C3) [NBP2-01438] - Staining of paraffin-embedded Adenocarcinoma of Human endometrium tissue using anti-TFG mouse monoclonal antibody.

Applications for TFG Antibody (OTI2C3)

Application
Recommended Usage

Immunohistochemistry

1:150

Immunohistochemistry-Paraffin

1:150

Western Blot

1:2000

Formulation, Preparation, and Storage

Purification

Immunogen affinity purified

Formulation

PBS (pH 7.3), 1.0% BSA and 50% Glycerol

Preservative

0.02% Sodium Azide

Concentration

0.45 mg/ml

Shipping

The product is shipped with polar packs. Upon receipt, store it immediately at the temperature recommended below.

Stability & Storage

Store at -20C. Avoid freeze-thaw cycles.

Background: TFG

There are several documented fusion oncoproteins encoded partially by this gene. This gene also participates in several oncogenic rearrangements resulting in anaplastic lymphoma and mixoid chondrosarcoma, and may play a role in the NF-kappaB pathway. Multiple transcript variants have been found for this gene. [provided by RefSeq].

Alternate Names

FLJ36137, protein TFG, TF6, TRK-fused gene, TRK-fused gene protein, TRKT3, TRKT3 oncogene

Entrez Gene IDs

10342 (Human)

Gene Symbol

TFG

Additional TFG Products

Product Documents for TFG Antibody (OTI2C3)

Certificate of Analysis

To download a Certificate of Analysis, please enter a lot number in the search box below.

Product Specific Notices for TFG Antibody (OTI2C3)

This product is for research use only and is not approved for use in humans or in clinical diagnosis. Primary Antibodies are guaranteed for 1 year from date of receipt.

Loading...
Loading...
Loading...
Loading...