Skip to main content

TESK2 Antibody - BSA Free

Novus Biologicals, part of Bio-Techne | Catalog # NBP1-89442

Novus Biologicals, part of Bio-Techne
Catalog #
Availability
Size / Price
Qty
Loading...
NBP1-89442
NBP1-89442-25ul

Key Product Details

Species Reactivity

Validated:

Human

Predicted:

Rat (90%). Backed by our 100% Guarantee.

Applications

Immunohistochemistry, Immunohistochemistry-Paraffin, Immunocytochemistry/ Immunofluorescence

Label

Unconjugated

Antibody Source

Polyclonal Rabbit IgG

Format

BSA Free

Concentration

Concentrations vary lot to lot. See vial label for concentration. If unlisted please contact technical services.

Product Specifications

Immunogen

This antibody was developed against Recombinant Protein corresponding to amino acids: TLEEILSRLQEEEQERDRKLQPTARGLLEKAPGVKRLSSLDDKIPHKSPCPRRTIWLSRSQSDIFSRKPPRTVSVLDPYYRPRDGAARTPKVNPFSARQDLMGGKIKFFDLPSKSVISLVF

Reactivity Notes

Immunogen displays the following percentage of sequence identity for non-tested species: Mouse (88%)

Clonality

Polyclonal

Host

Rabbit

Isotype

IgG

Scientific Data Images for TESK2 Antibody - BSA Free

Immunocytochemistry/ Immunofluorescence: TESK2 Antibody [NBP1-89442]

Immunocytochemistry/ Immunofluorescence: TESK2 Antibody [NBP1-89442]

Immunocytochemistry/Immunofluorescence: TESK2 Antibody [NBP1-89442] - Immunofluorescent staining of human cell line A-431 shows localization to nucleoplasm.
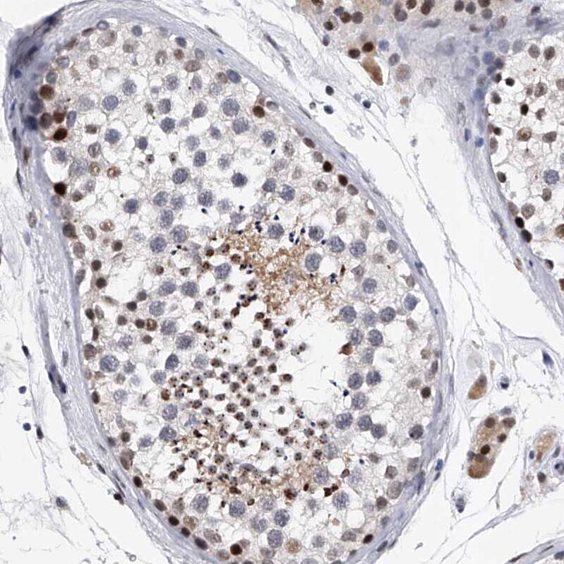
TESK2 Antibody - BSA Free Immunohistochemistry-Paraffin: TESK2 Antibody - BSA Free [NBP1-89442]

Immunohistochemistry-Paraffin: TESK2 Antibody - BSA Free [NBP1-89442]

Staining of human testis shows moderate nuclear positivity in a subset of cells in seminiferous ducts.
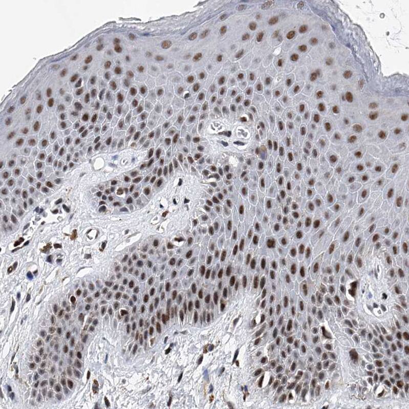
TESK2 Antibody - BSA Free Immunohistochemistry-Paraffin: TESK2 Antibody - BSA Free [NBP1-89442]

Immunohistochemistry-Paraffin: TESK2 Antibody - BSA Free [NBP1-89442]

Staining of human skin shows moderate to strong nuclear positivity in squamous epithelial cells.

Applications for TESK2 Antibody - BSA Free

Application
Recommended Usage

Immunocytochemistry/ Immunofluorescence

0.25-2 ug/ml

Immunohistochemistry

1:200 - 1:500

Immunohistochemistry-Paraffin

1:200 - 1:500
Application Notes
For IHC-Paraffin, HIER pH 6 retrieval is recommended. Immunocytochemistry/Immunofluorescence Fixation Permeabilization: Use PFA/Triton X-100.

Formulation, Preparation, and Storage

Purification

Affinity purified

Formulation

PBS (pH 7.2) and 40% Glycerol

Format

BSA Free

Preservative

0.02% Sodium Azide

Concentration

Concentrations vary lot to lot. See vial label for concentration. If unlisted please contact technical services.

Shipping

The product is shipped with polar packs. Upon receipt, store it immediately at the temperature recommended below.

Stability & Storage

Store at 4C short term. Aliquot and store at -20C long term. Avoid freeze-thaw cycles.

Background: TESK2

The TESK2 gene product is a serine/threonine protein kinase that contains an N-terminal protein kinase domain that is structurally similar to the kinase domains of testis-specific protein kinase-1 and the LIM motif-containing protein kinases (LIMKs). Its overa

Alternate Names

dual specificity testis-specific protein kinase 2, EC 2.7.12.1, Testicular protein kinase 2, testis-specific kinase 2

Gene Symbol

TESK2

Additional TESK2 Products

Product Documents for TESK2 Antibody - BSA Free

Certificate of Analysis

To download a Certificate of Analysis, please enter a lot number in the search box below.

Product Specific Notices for TESK2 Antibody - BSA Free

This product is for research use only and is not approved for use in humans or in clinical diagnosis. Primary Antibodies are guaranteed for 1 year from date of receipt.

Loading...
Loading...
Loading...
Loading...