Skip to main content

TCEAL8 Antibody - BSA Free

Novus Biologicals, part of Bio-Techne | Catalog # NBP2-32425

Novus Biologicals, part of Bio-Techne
Catalog #
Availability
Size / Price
Qty
Loading...
NBP2-32425-25ul
NBP2-32425

Key Product Details

Species Reactivity

Human

Applications

Immunohistochemistry, Immunohistochemistry-Paraffin, Immunocytochemistry/ Immunofluorescence, Chromatin Immunoprecipitation-exo-Seq

Label

Unconjugated

Antibody Source

Polyclonal Rabbit IgG

Format

BSA Free

Concentration

Concentrations vary lot to lot. See vial label for concentration. If unlisted please contact technical services.

Product Specifications

Immunogen

This antibody was developed against a recombinant protein corresponding to amino acids: PQNMPKAEEDRPLEDVPQEAEGNPQPSEEGVSQEAEGNPRGGPNQPGQGFKEDTPVRHLDPEEMIRGVDELERLREEIRRVRNKFVMMHWKQRHSRSRPYPVCFR

Clonality

Polyclonal

Host

Rabbit

Isotype

IgG

Description

Novus Biologicals Rabbit TCEAL8 Antibody - BSA Free (NBP2-32425) is a polyclonal antibody validated for use in IHC and ICC/IF. All Novus Biologicals antibodies are covered by our 100% guarantee.

Scientific Data Images for TCEAL8 Antibody - BSA Free

Immunocytochemistry/ Immunofluorescence: TCEAL8 Antibody [NBP2-32425]

Immunocytochemistry/ Immunofluorescence: TCEAL8 Antibody [NBP2-32425]

Immunocytochemistry/Immunofluorescence: TCEAL8 Antibody [NBP2-32425] - Immunofluorescent staining of human cell line RH-30 shows localization to nucleoplasm.
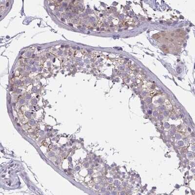
Immunohistochemistry-Paraffin: TCEAL8 Antibody [NBP2-32425]

Immunohistochemistry-Paraffin: TCEAL8 Antibody [NBP2-32425]

Immunohistochemistry-Paraffin: TCEAL8 Antibody [NBP2-32425] - Staining of human testis shows cytoplasmic positivity in cells in seminiferous ducts and Leydig cells.
TCEAL8 Antibody - BSA Free Chromatin Immunoprecipitation-exo-Seq: TCEAL8 Antibody - BSA Free [NBP2-32425]

Chromatin Immunoprecipitation-exo-Seq: TCEAL8 Antibody - BSA Free [NBP2-32425]

ChIP-Exo-Seq composite graph for Anti-TCEAL8 (NBP2-32425) tested in K562 cells. Strand-specific reads (blue: forward, red: reverse) and IgG controls (black: forward, grey: reverse) are plotted against the distance from a composite set of reference binding sites. The antibody exhibits robust target enrichment compared to a non-specific IgG control and precisely reveals its structural organization around the binding site. Data generated by Prof. B. F. Pugh´s Lab at Cornell University.

Applications for TCEAL8 Antibody - BSA Free

Application
Recommended Usage

Chromatin Immunoprecipitation-exo-Seq

1-10ug per reaction

Immunocytochemistry/ Immunofluorescence

0.25-2 ug/ml

Immunohistochemistry

1:500 - 1:1000

Immunohistochemistry-Paraffin

1:500 - 1:1000
Application Notes
For IHC-Paraffin, HIER pH 6 retrieval is recommended. Immunocytochemistry/Immunofluorescence Fixation Permeabilization: Use PFA/Triton X-100.

Formulation, Preparation, and Storage

Purification

Affinity purified

Formulation

PBS (pH 7.2) and 40% Glycerol

Format

BSA Free

Preservative

0.02% Sodium Azide

Concentration

Concentrations vary lot to lot. See vial label for concentration. If unlisted please contact technical services.

Shipping

The product is shipped with polar packs. Upon receipt, store it immediately at the temperature recommended below.

Stability & Storage

Store at 4C short term. Aliquot and store at -20C long term. Avoid freeze-thaw cycles.

Background: TCEAL8

The TCEAL8 gene encodes a member of the transcription elongation factor A (SII)-like (TCEAL) gene family. Members of thisfamily contain TFA domains and may function as nuclear phosphoproteins that modulate transcription in a promotercontext-dependent manner. Mu

Alternate Names

MGC45400, TCEA-like protein 8, transcription elongation factor A (SII)-like 8, transcription elongation factor A protein-like 8

Gene Symbol

TCEAL8

Additional TCEAL8 Products

Product Documents for TCEAL8 Antibody - BSA Free

Certificate of Analysis

To download a Certificate of Analysis, please enter a lot number in the search box below.

Product Specific Notices for TCEAL8 Antibody - BSA Free

This product is for research use only and is not approved for use in humans or in clinical diagnosis. Primary Antibodies are guaranteed for 1 year from date of receipt.

Loading...
Loading...
Loading...
Loading...