Skip to main content

TBX15 Antibody - BSA Free

Novus Biologicals, part of Bio-Techne | Catalog # NBP2-83624

Novus Biologicals, part of Bio-Techne
Catalog #
Availability
Size / Price
Qty
Loading...
NBP2-83624-0.1ml

Key Product Details

Species Reactivity

Human

Applications

Immunohistochemistry, Immunohistochemistry-Paraffin, Western Blot

Label

Unconjugated

Antibody Source

Polyclonal Rabbit

Format

BSA Free

Concentration

1 mg/ml

Product Specifications

Immunogen

The immunogen is a synthetic peptide directed towards the C-terminal region of human TBX15. Peptide sequence: YGYNFPTSPRLAASPEKLSASQSTLLCSSPSNGAFGERQYLPSGMEHSMH The peptide sequence for this immunogen was taken from within the described region.

Clonality

Polyclonal

Host

Rabbit

Description

Novus Biologicals Rabbit TBX15 Antibody - BSA Free (NBP2-83624) is a polyclonal antibody validated for use in IHC and WB. All Novus Biologicals antibodies are covered by our 100% guarantee.

Scientific Data Images for TBX15 Antibody - BSA Free

Western Blot: TBX15 Antibody [NBP2-83624]

Western Blot: TBX15 Antibody [NBP2-83624]

Western Blot: TBX15 Antibody [NBP2-83624] - WB Suggested Anti-TBX15 Antibody Titration: 1.25ug/ml. Positive Control: Jurkat cell lysate
Immunohistochemistry: TBX15 Antibody [NBP2-83624]

Immunohistochemistry: TBX15 Antibody [NBP2-83624]

Immunohistochemistry: TBX15 Antibody [NBP2-83624] - Human Brain, Cortex: Formalin-Fixed, Paraffin-Embedded (FFPE). This image was taken for the unconjugated form of this product. IHC - Paraffin (10 µg/ml).
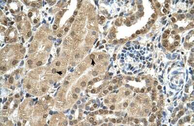
Immunohistochemistry: TBX15 Antibody [NBP2-83624]

Immunohistochemistry: TBX15 Antibody [NBP2-83624]

Immunohistochemistry: TBX15 Antibody [NBP2-83624] - Human kidney

Applications for TBX15 Antibody - BSA Free

Application
Recommended Usage

Western Blot

1.0 ug/ml

Formulation, Preparation, and Storage

Purification

Protein A purified

Formulation

PBS, 2% Sucrose

Format

BSA Free

Preservative

0.09% Sodium Azide

Concentration

1 mg/ml

Shipping

The product is shipped with polar packs. Upon receipt, store it immediately at the temperature recommended below.

Stability & Storage

Store at 4C short term. Aliquot and store at -20C long term. Avoid freeze-thaw cycles.

Background: TBX15

The T-box (TBX) motif is present in a family of genes whose structural features and expression patterns support their involvement in developmental gene regulation. The TBX gene family are largely conserved throughout metazoan evolution, and these genes code for putative transcription factors that share a uniquely defining DNA-binding domain. TBX genes are a family of developmental regulators with more than 20 members recently identified in invertebrates and vertebrates. Mutations in TBX genes are associated with the onset of several human diseases. Our understanding of functional mechanisms of TBX products has come mainly from the prototypical T/Brachyury, which is a transcription activator. The TBX genes constitute a family of transcriptional regulatory genes that are implicated in a variety of developmental processes ranging from the formation of germ layers to the organizational patterning of the central nervous system.

Alternate Names

T-box 14, T-box 15, T-box protein 14, T-box protein 15, T-box transcription factor TBX14, T-box transcription factor TBX15, TBX14

Gene Symbol

TBX15

Additional TBX15 Products

Product Documents for TBX15 Antibody - BSA Free

Certificate of Analysis

To download a Certificate of Analysis, please enter a lot number in the search box below.

Product Specific Notices for TBX15 Antibody - BSA Free

This product is for research use only and is not approved for use in humans or in clinical diagnosis. Primary Antibodies are guaranteed for 1 year from date of receipt.

Loading...
Loading...
Loading...
Loading...