Skip to main content

Syntaxin 7 Antibody (CL0257)

Novus Biologicals, part of Bio-Techne | Catalog # NBP3-52102

Recombinant Monoclonal Antibody
Novus Biologicals, part of Bio-Techne
Catalog #
Availability
Size / Price
Qty
Loading...
NBP3-52102-100ul
NBP3-52102-25ul

Key Product Details

Species Reactivity

Human

Applications

Immunohistochemistry, Immunohistochemistry-Paraffin, Western Blot, Immunocytochemistry/ Immunofluorescence

Label

Unconjugated

Antibody Source

Recombinant Monoclonal Mouse IgG1 Clone # CL0257

Concentration

1 mg/ml

Product Specifications

Immunogen

This antibody was developed using a recombinant protein derived from O15400, with the exact immunogen sequence remaining proprietary.

Clonality

Monoclonal

Host

Mouse

Isotype

IgG1

Scientific Data Images for Syntaxin 7 Antibody (CL0257)

Syntaxin 7 Antibody (CL0257) Western Blot: Syntaxin 7 Antibody (CL0257) [NBP3-52102]

Western Blot: Syntaxin 7 Antibody (CL0257) [NBP3-52102]

Analysis in human tonsil tissue, human cell line RT-4 and human cell line HEK 293.
Syntaxin 7 Antibody (CL0257) Immunohistochemistry: Syntaxin 7 Antibody (CL0257) [NBP3-52102]

Immunohistochemistry: Syntaxin 7 Antibody (CL0257) [NBP3-52102]

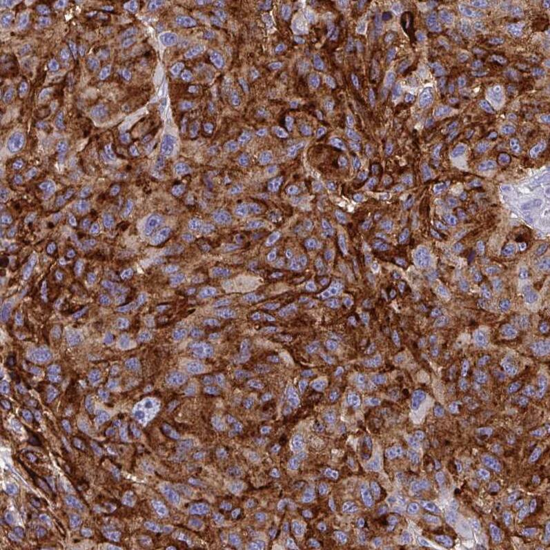
Staining of human malignant melanoma shows moderate to strong cytoplasmic positivity in tumor cells.
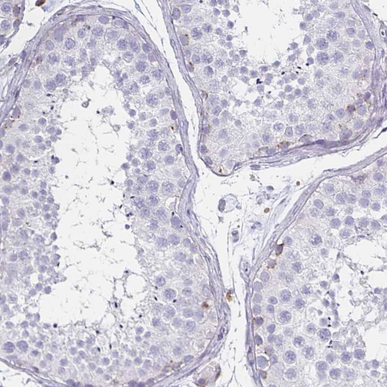
Syntaxin 7 Antibody (CL0257) Immunohistochemistry: Syntaxin 7 Antibody (CL0257) [NBP3-52102]

Immunohistochemistry: Syntaxin 7 Antibody (CL0257) [NBP3-52102]

Staining of human testis shows no positivity in cells in seminiferous ducts as expected.

Applications for Syntaxin 7 Antibody (CL0257)

Application
Recommended Usage

Immunocytochemistry/ Immunofluorescence

2-10 ug/ml

Immunohistochemistry

1:500 - 1:1000

Immunohistochemistry-Paraffin

1:500 - 1:1000

Western Blot

1 ug/ml
Application Notes
For IHC-Paraffin, HIER pH 6 retrieval is recommended. ICC/IF Fixation Permeabilization: Use PFA/Triton X-100.

Formulation, Preparation, and Storage

Purification

Protein A purified

Formulation

PBS, pH 7.2, 40% glycerol

Preservative

0.02% Sodium Azide

Concentration

1 mg/ml

Shipping

The product is shipped with polar packs. Upon receipt, store it immediately at the temperature recommended below.

Stability & Storage

Store at 4C short term. Aliquot and store at -20C long term. Avoid freeze-thaw cycles.

Background: Syntaxin 7

Syntaxin 7 is involved in the ordered fusion of endosomes and lysosomes with the phagosome, where phagocytic cells kill and degrade internalized foreign particles. Syntaxin 7 is found in late endosomes and lysosomes; whereas Syntaxin 12 is localized to the recycling endosome compartment, both are recruited to the phagosome. However, STX12 is acquired earlier before rapidly recycling off the phagosome, whereas STX7 is recruited later and continues to accumulate throughout the phagosome maturation process.

Alternate Names

STX7

Gene Symbol

STX7

Additional Syntaxin 7 Products

Product Documents for Syntaxin 7 Antibody (CL0257)

Certificate of Analysis

To download a Certificate of Analysis, please enter a lot number in the search box below.

Product Specific Notices for Syntaxin 7 Antibody (CL0257)

This product is for research use only and is not approved for use in humans or in clinical diagnosis. Primary Antibodies are guaranteed for 1 year from date of receipt.

Loading...
Loading...
Loading...
Loading...