Skip to main content

SUMO2 Antibody

Novus Biologicals, part of Bio-Techne | Catalog # NB100-56444

Novus Biologicals, part of Bio-Techne
Catalog #
Availability
Size / Price
Qty
Loading...
NB100-56444
NB100-56444SS

Key Product Details

Species Reactivity

Human, Mouse

Applications

Immunohistochemistry, Immunohistochemistry-Paraffin, Western Blot

Label

Unconjugated

Antibody Source

Polyclonal Rabbit IgG

Concentration

0.5 mg/ml

Product Specifications

Immunogen

The amino acid sequences used as immunogen for this antibody are 4-16 (EKPKEGVKTENDH) of human SUMO2 (corresponding to amino acids 4-16 of SUMO3) and 61-76 (RFDGQPINETDTPAQL) of human SUMO2 (corresponding to amino acids 60-75 of SUMO3).

Specificity

Based on homology of the amino acids used as immunogen, this antibody will detect human and mouse SUMO2 and human and mouse SUMO3.

Clonality

Polyclonal

Host

Rabbit

Isotype

IgG

Scientific Data Images for SUMO2 Antibody

Western Blot: SUMO2 Antibody [NB100-56444]

Western Blot: SUMO2 Antibody [NB100-56444]

Western Blot: SUMO2 Antibody [NB100-56444] - Analysis of SUMO2 in HL60 lysate using SUMO2 antibody at 1 ug/ml.
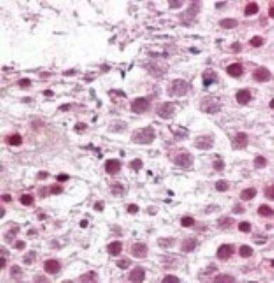
Immunohistochemistry-Paraffin: SUMO2 Antibody [NB100-56444]

Immunohistochemistry-Paraffin: SUMO2 Antibody [NB100-56444]

Immunohistochemistry-Paraffin: SUMO2 Antibody [NB100-56444] - Staining of SUMO2 in human testis using SUMO2 antibody at 10 ug/ml.

Applications for SUMO2 Antibody

Application
Recommended Usage

Immunohistochemistry-Paraffin

10 ug/ml

Western Blot

1-3 ug/ml
Application Notes
A 15 kDa band is observed.

Formulation, Preparation, and Storage

Purification

Protein G purified

Formulation

PBS containing 0.05% BSA

Preservative

0.05% Sodium Azide

Concentration

0.5 mg/ml

Shipping

The product is shipped with polar packs. Upon receipt, store it immediately at the temperature recommended below.

Stability & Storage

Store at 4C short term. Aliquot and store at -20C long term. Avoid freeze-thaw cycles.

Background: SUMO2

Covalent attachment of one protein to another is one of the more prominent posttranslational modifications in respect to size and ubiquity. Ubiquitin is the most familiar of the protein modifiers and its activation and transfer to target proteins has been studied extensively. Recently, a new group of ubiquitin-like proteins has been receiving a lot of attention. SUMO, or Sentrin, is one of the most intriguing. SUMO has been implicated in the stabilization of target proteins and/or their localization to sub-cellular complexes.

Long Name

Small Ubiquitin-like Modifier 2

Alternate Names

Sentrin-2, SMT3B, SMT3H2

Entrez Gene IDs

170930 (Mouse)

Gene Symbol

SUMO2

UniProt

Additional SUMO2 Products

Product Documents for SUMO2 Antibody

Certificate of Analysis

To download a Certificate of Analysis, please enter a lot number in the search box below.

Product Specific Notices for SUMO2 Antibody

This product is for research use only and is not approved for use in humans or in clinical diagnosis. Primary Antibodies are guaranteed for 1 year from date of receipt.

Loading...
Loading...
Loading...
Loading...