STT3A Antibody - BSA Free
Novus Biologicals, part of Bio-Techne | Catalog # NBP3-45784
Key Product Details
Species Reactivity
Human, Mouse, Rat
Applications
Immunohistochemistry, Western Blot, ELISA, Immunocytochemistry/ Immunofluorescence
Label
Unconjugated
Antibody Source
Polyclonal Rabbit IgG
Format
BSA Free
Concentration
Please see the vial label for concentration. If unlisted please contact technical services.
Product Specifications
Immunogen
STT3, subunit of the oligosaccharyltransferase complex, homolog A. (Uniprot# P46977)
Clonality
Polyclonal
Host
Rabbit
Isotype
IgG
Theoretical MW
100 kDa.
Disclaimer note: The observed molecular weight of the protein may vary from the listed predicted molecular weight due to post translational modifications, post translation cleavages, relative charges, and other experimental factors.
Disclaimer note: The observed molecular weight of the protein may vary from the listed predicted molecular weight due to post translational modifications, post translation cleavages, relative charges, and other experimental factors.
Description
Novus Biologicals Rabbit STT3A Antibody - BSA Free (NBP3-45784) is a polyclonal antibody validated for use in IHC, WB, ELISA and ICC/IF. All Novus Biologicals antibodies are covered by our 100% guarantee.
Scientific Data Images for STT3A Antibody - BSA Free
Western Blot: STT3A Antibody - BSA Free [NBP3-45784] -
Western Blot: STT3A Antibody - BSA Free [NBP3-45784] - HEK-293 cells were subjected to SDS PAGE followed by western blot with (STT3A Antibody) at dilution of 1:2000Immunocytochemistry/ Immunofluorescence: STT3A Antibody - BSA Free [NBP3-45784] -
Immunocytochemistry/ Immunofluorescence: STT3A Antibody - BSA Free [NBP3-45784] - Immunofluorescent analysis of HEK-293 cells using (STT3A antibody) at dilution of 1:50 and Alexa Fluor 488-conjugated Goat Anti-Rabbit IgG(H+L)Immunohistochemistry: STT3A Antibody - BSA Free [NBP3-45784] -
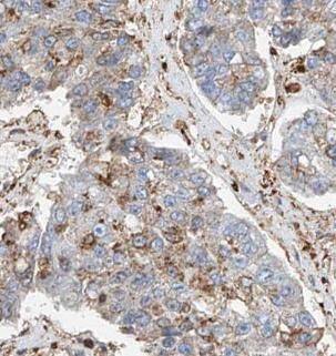
Immunohistochemistry: STT3A Antibody - BSA Free [NBP3-45784] - Immunohistochemistry of paraffin-embedded human pancreas cancer using (STT3A antibody) at dilution of 1:50Applications for STT3A Antibody - BSA Free
Application
Recommended Usage
Immunocytochemistry/ Immunofluorescence
1:20-1:200
Immunohistochemistry
1:20-1:200
Western Blot
1:1000-1:5000
Formulation, Preparation, and Storage
Purification
Immunogen affinity purified
Formulation
PBS, 50% Glycerol, pH (7.3)
Format
BSA Free
Preservative
0.02% Sodium Azide
Concentration
Please see the vial label for concentration. If unlisted please contact technical services.
Shipping
The product is shipped with polar packs. Upon receipt, store it immediately at the temperature recommended below.
Stability & Storage
Store at -20C. Avoid freeze-thaw cycles.
Background: STT3A
Alternate Names
Integral membrane protein 1EC 2.4.1.119, integral transmembrane protein 1, ITM1dolichyl-diphosphooligosaccharide--protein glycosyltransferase subunit STT3A, MGC9042, Oligosaccharyl transferase subunit STT3A, STT3, subunit of the oligosaccharyltransferase complex, homolog A (S.cerevisiae), STT3-AFLJ27038, TMCB5, transmembrane conserved, Transmembrane protein TMC
Gene Symbol
STT3A
Additional STT3A Products
Product Documents for STT3A Antibody - BSA Free
Product Specific Notices for STT3A Antibody - BSA Free
This product is for research use only and is not approved for use in humans or in clinical diagnosis. Primary Antibodies are guaranteed for 1 year from date of receipt.
Loading...
Loading...
Loading...
Loading...