Skip to main content

STRAP Antibody - BSA Free

Novus Biologicals, part of Bio-Techne | Catalog # NBP2-56502

Novus Biologicals, part of Bio-Techne
Catalog #
Availability
Size / Price
Qty
Loading...
NBP2-56502
NBP2-56502-25ul

Key Product Details

Validated by

Independent Antibodies

Species Reactivity

Validated:

Human

Predicted:

Mouse (93%), Rat (93%). Backed by our 100% Guarantee.

Applications

Immunocytochemistry/ Immunofluorescence, Western Blot

Label

Unconjugated

Antibody Source

Polyclonal Rabbit IgG

Format

BSA Free

Concentration

Concentrations vary lot to lot. See vial label for concentration. If unlisted please contact technical services.

Product Specifications

Immunogen

This antibody was developed against a recombinant protein corresponding to the following amino acid sequence: IHCVRFSPDGELYASGSEDGTLRLWQTVVGKTYGLWKCVLPEEDSGELAKPKIGFPETTEEELEEIASENSDCIFPSAPDVKA

Clonality

Polyclonal

Host

Rabbit

Isotype

IgG

Description

Novus Biologicals Rabbit STRAP Antibody - BSA Free (NBP2-56502) is a polyclonal antibody validated for use in WB and ICC/IF. All Novus Biologicals antibodies are covered by our 100% guarantee.

Scientific Data Images for STRAP Antibody - BSA Free

Western Blot: STRAP Antibody [NBP2-56502]

Western Blot: STRAP Antibody [NBP2-56502]

Western Blot: STRAP Antibody [NBP2-56502] - Western blot analysis in human cell line RT-4, human cell line U-251 MG, human plasma, human liver tissue and human tonsil tissue.
Immunocytochemistry/ Immunofluorescence: STRAP Antibody [NBP2-56502]

Immunocytochemistry/ Immunofluorescence: STRAP Antibody [NBP2-56502]

Immunocytochemistry/Immunofluorescence: STRAP Antibody [NBP2-56502] - Staining of human cell line U-2 OS shows localization to cytosol.
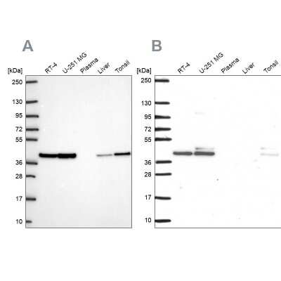
Western Blot: STRAP Antibody [NBP2-56502]

Western Blot: STRAP Antibody [NBP2-56502]

Western Blot: STRAP Antibody [NBP2-56502] - Analysis using Anti-STRAP antibody NBP2-56502 (A) shows similar pattern to independent antibody NBP2-38757 (B).

Applications for STRAP Antibody - BSA Free

Application
Recommended Usage

Immunocytochemistry/ Immunofluorescence

0.25-2 ug/ml

Western Blot

0.04-0.4 ug/ml
Application Notes
Immunocytochemistry/Immunofluorescence Fixation Permeabilization: Use PFA/Triton X-100.

Formulation, Preparation, and Storage

Purification

Affinity purified

Formulation

PBS (pH 7.2) and 40% Glycerol

Format

BSA Free

Preservative

0.02% Sodium Azide

Concentration

Concentrations vary lot to lot. See vial label for concentration. If unlisted please contact technical services.

Shipping

The product is shipped with polar packs. Upon receipt, store it immediately at the temperature recommended below.

Stability & Storage

Store at 4C short term. Aliquot and store at -20C long term. Avoid freeze-thaw cycles.

Background: STRAP

The SMN complex plays an essential role in spliceosomal snRNP assembly in the cytoplasm and is required for pre-mRNA splicing in the nucleus. STRAP may play a role in the cellular distribution of the SMN complex

Alternate Names

MAP activator with WD repeats, MAWDpt-wd, serine/threonine kinase receptor associated protein, serine-threonine kinase receptor-associated protein, UNR-interacting protein, UNRIPPT-WD, WD-40 repeat protein PT-WD

Gene Symbol

STRAP

Additional STRAP Products

Product Documents for STRAP Antibody - BSA Free

Certificate of Analysis

To download a Certificate of Analysis, please enter a lot number in the search box below.

Product Specific Notices for STRAP Antibody - BSA Free

This product is for research use only and is not approved for use in humans or in clinical diagnosis. Primary Antibodies are guaranteed for 1 year from date of receipt.

Loading...
Loading...
Loading...
Loading...
Loading...