Skip to main content

STRAP Antibody - BSA Free

Novus Biologicals, part of Bio-Techne | Catalog # NBP2-24740

Novus Biologicals, part of Bio-Techne
Catalog #
Availability
Size / Price
Qty
Loading...
NBP2-24740
NBP2-24740SS

Key Product Details

Species Reactivity

Validated:

Human, Mouse, Bovine, Canine, Equine, Primate

Predicted:

Chimpanzee (100%), Orangutan (100%), Porcine (100%), Rat (100%), Rhesus Macaque (100%). Backed by our 100% Guarantee.

Applications

Immunohistochemistry, Immunohistochemistry-Paraffin, Western Blot

Label

Unconjugated

Antibody Source

Polyclonal Rabbit IgG

Format

BSA Free

Concentration

0.5 mg/ml

Product Specifications

Immunogen

A portion of amino acids 230-280 of human STRAP was used as the immunogen.

Reactivity Notes

The amino acid sequence used as immunogen is 88% homologous in Xenopus and 83% homologous in Drosophila and Opossum.

Clonality

Polyclonal

Host

Rabbit

Isotype

IgG

Description

Novus Biologicals Rabbit STRAP Antibody - BSA Free (NBP2-24740) is a polyclonal antibody validated for use in IHC and WB. Anti-STRAP Antibody: Cited in 1 publication. All Novus Biologicals antibodies are covered by our 100% guarantee.

Scientific Data Images for STRAP Antibody - BSA Free

Western Blot: STRAP Antibody [NBP2-24740]

Western Blot: STRAP Antibody [NBP2-24740]

Western Blot: STRAP Antibody [NBP2-24740] - Analysis of human STRAP in Raw cell lysate in the 1) absence and 2) presence of immunizing peptide using this NBP2-24740 at 1 ug/ml.
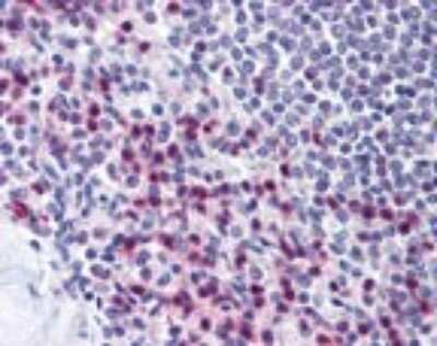
Immunohistochemistry-Paraffin: STRAP Antibody [NBP2-24740]

Immunohistochemistry-Paraffin: STRAP Antibody [NBP2-24740]

Immunohistochemistry-Paraffin: STRAP Antibody [NBP2-24740] - IHC analysis of human spleen using NBP2-24740 at 10 ug/ml.

Applications for STRAP Antibody - BSA Free

Application
Recommended Usage

Immunohistochemistry-Paraffin

10 ug/ml

Western Blot

1-2 ug/ml

Formulation, Preparation, and Storage

Purification

Protein G purified

Formulation

PBS and 0.2% Gelatin

Format

BSA Free

Preservative

0.05% Sodium Azide

Concentration

0.5 mg/ml

Shipping

The product is shipped with polar packs. Upon receipt, store it immediately at the temperature recommended below.

Stability & Storage

Store at 4C short term. Aliquot and store at -20C long term. Avoid freeze-thaw cycles.

Background: STRAP

The SMN complex plays an essential role in spliceosomal snRNP assembly in the cytoplasm and is required for pre-mRNA splicing in the nucleus. STRAP may play a role in the cellular distribution of the SMN complex

Alternate Names

MAP activator with WD repeats, MAWDpt-wd, serine/threonine kinase receptor associated protein, serine-threonine kinase receptor-associated protein, UNR-interacting protein, UNRIPPT-WD, WD-40 repeat protein PT-WD

Gene Symbol

STRAP

UniProt

Additional STRAP Products

Product Documents for STRAP Antibody - BSA Free

Certificate of Analysis

To download a Certificate of Analysis, please enter a lot number in the search box below.

Product Specific Notices for STRAP Antibody - BSA Free

This product is for research use only and is not approved for use in humans or in clinical diagnosis. Primary Antibodies are guaranteed for 1 year from date of receipt.

Loading...
Loading...
Loading...
Loading...
Loading...