Skip to main content

STING/TMEM173 Antibody - BSA Free

Novus Biologicals, part of Bio-Techne | Catalog # NBP2-48684

Novus Biologicals, part of Bio-Techne
Catalog #
Availability
Size / Price
Qty
Loading...
NBP2-48684

Key Product Details

Validated by

Orthogonal Validation, Independent Antibodies

Species Reactivity

Human

Applications

Immunohistochemistry, Immunohistochemistry-Paraffin, Western Blot

Label

Unconjugated

Antibody Source

Polyclonal Rabbit IgG

Format

BSA Free

Concentration

Concentrations vary lot to lot. See vial label for concentration. If unlisted please contact technical services.

Product Specifications

Immunogen

This STING/TMEM173 Antibody was developed against a recombinant protein corresponding to amino acids: RLILPELQARIRTYNQHYNNLLRGAVSQRLYILLPLDCGVPDNLSMADPNIRFLDKLPQQTGDRAGIKDRVY

Clonality

Polyclonal

Host

Rabbit

Isotype

IgG

Theoretical MW

42 kDa.
Disclaimer note: The observed molecular weight of the protein may vary from the listed predicted molecular weight due to post translational modifications, post translation cleavages, relative charges, and other experimental factors.

Scientific Data Images for STING/TMEM173 Antibody - BSA Free

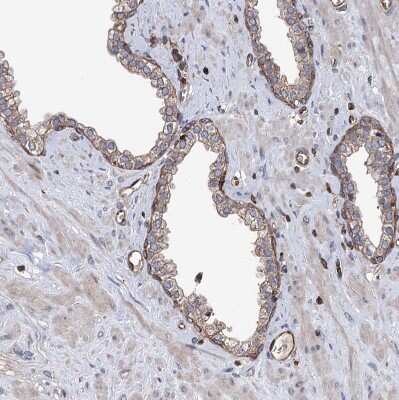
Immunohistochemistry-Paraffin: STING/TMEM173 Antibody [NBP2-48684]

Immunohistochemistry-Paraffin: STING/TMEM173 Antibody [NBP2-48684]

Immunohistochemistry-Paraffin: STING/TMEM173 Antibody [NBP2-48684] - Staining in human fallopian tube and liver tissues using NBP2-48684 antibody. Corresponding TMEM173 RNA-seq data are presented for the same tissues.
Western Blot: STING/TMEM173 Antibody [NBP2-48684]

Western Blot: STING/TMEM173 Antibody [NBP2-48684]

Western Blot: STING/TMEM173 Antibody [NBP2-48684] - Analysis in human cell line HDLM-2 using STING/TMEM173 Antibody.
Immunohistochemistry-Paraffin: STING/TMEM173 Antibody [NBP2-48684]

Immunohistochemistry-Paraffin: STING/TMEM173 Antibody [NBP2-48684]

Immunohistochemistry-Paraffin: STING/TMEM173 Antibody [NBP2-48684] - Staining of human fallopian tube, liver, lymph node and prostate using Anti-TMEM173 antibody NBP2-48684 (A) shows similar protein distribution across tissues to independent antibody NBP2-38389 (B).

Applications for STING/TMEM173 Antibody - BSA Free

Application
Recommended Usage

Immunohistochemistry

1:50 - 1:200

Immunohistochemistry-Paraffin

1:50 - 1:200

Western Blot

0.04-0.4 ug/ml
Application Notes
For IHC-Paraffin, HIER pH 6 retrieval is recommended.

Formulation, Preparation, and Storage

Purification

Affinity purified

Formulation

PBS (pH 7.2) and 40% Glycerol

Format

BSA Free

Preservative

0.02% Sodium Azide

Concentration

Concentrations vary lot to lot. See vial label for concentration. If unlisted please contact technical services.

Shipping

The product is shipped with polar packs. Upon receipt, store it immediately at the temperature recommended below.

Stability & Storage

Store at 4C short term. Aliquot and store at -20C long term. Avoid freeze-thaw cycles.

Background: STING/TMEM173

STING (stimulator of interferon genes) is encoded by the TMEM173 gene and is an adaptor molecule involved in the activation of innate immune responses to PAMPS (pathogen-associated molecular patterns) and DAMPS (damage-associated molecular patterns). STING specifically recognizes cytosolic DNA products derived from pathogens (e.g., cytomegalovirus, vaccinia virus, Listeria monocytogenes) or dead cells (1, 2). In the STING pathway, dsDNA derived from pathogens or damaged cells serves as a substrate for the enzyme cGAS (cyclic GMP-AMP synthase) which produces the second messenger cyclic GMP-AMP (cGAMP) from ATP and GTP (3, 4). Under steady-state conditions STING (theoretical molecular weight 42 kDa), a protein localizes to the ER membrane. Upon activation by dsDNA derived second messenger (cGAMP), STING translocates to the Golgi apparatus as a homodimer. Once STING has trafficked to the perinuclear region, it activates TANK binding kinase 1 (TBK1), interferon regulatory factor 3 (IRF3) and NF-kB leading to the production of cytokines (e.g., type I interferon) (2, 4). Mutations in the TMEM173 gene affecting STING expression are associated with the development of the auto-inflammatory disease SAVI (STING-associated vasculopathy with onset in infancy) (2). A novel SAVI dominant mutation in the TMEM173 human gene (V155M) leads to increased localization of STING to the Golgi and perinuclear region, indicative of an activated state (1). Hallmarks of SAVI, a rare inflammatory disease, include severe vasculitis in extremities and lung inflammation (7).

References

1. Patel, S., & Jin, L. (2019). TMEM173 variants and potential importance to human biology and disease. Genes and Immunity. https://doi.org/10.1038/s41435-018-0029-9

2. Jounai, N., Kobiyama, K., Takeshita, F., & Ishii, K. J. (2013). Recognition of damage-associated molecular patterns related to nucleic acids during inflammation and vaccination. Frontiers in Cellular and Infection Microbiology. https://doi.org/10.3389/fcimb.2012.00168

3. Xiao, T. S., & Fitzgerald, K. A. (2013). The cGAS-STING Pathway for DNA Sensing. Molecular Cell. https://doi.org/10.1016/j.molcel.2013.07.004

4. Kato, K., Omura, H., Ishitani, R., & Nureki, O. (2017). Cyclic GMP-AMP as an Endogenous Second Messenger in Innate Immune Signaling by Cytosolic DNA. Annual Review of Biochemistry. https://doi.org/10.1146/annurev-biochem-061516-044813

5. Crowl, J. T., Gray, E. E., Pestal, K., Volkman, H. E., & Stetson, D. B. (2017). Intracellular Nucleic Acid Detection in Autoimmunity. Annual Review of Immunology. https://doi.org/10.1146/annurev-immunol-051116-052331

Long Name

Stimulator of Interferon Genes Protein/Transmembrane protein 173

Alternate Names

ERIS, MITA, MPYS, NET23, TMEM173

Gene Symbol

STING1

Additional STING/TMEM173 Products

Product Documents for STING/TMEM173 Antibody - BSA Free

Certificate of Analysis

To download a Certificate of Analysis, please enter a lot number in the search box below.

Product Specific Notices for STING/TMEM173 Antibody - BSA Free

This product is for research use only and is not approved for use in humans or in clinical diagnosis. Primary Antibodies are guaranteed for 1 year from date of receipt.

Loading...
Loading...
Loading...
Loading...