Skip to main content

SSX2IP Antibody (OTI5C3)

Novus Biologicals, part of Bio-Techne | Catalog # NBP2-45458

Novus Biologicals, part of Bio-Techne

Key Product Details

Species Reactivity

Human, Mouse, Rat

Applications

Immunohistochemistry, Immunohistochemistry-Paraffin, Western Blot

Label

Unconjugated

Antibody Source

Monoclonal Mouse IgG1 Clone # OTI5C3

Concentration

1 mg/ml

Product Specifications

Immunogen

Human recombinant protein fragment corresponding to amino acids 1-272 of human SSX2IP(NP_054740) produced in E.coli.

Reactivity Notes

Please note that this antibody is reactive to Mouse and derived from the same host, Mouse. Mouse-On-Mouse blocking reagent may be needed for IHC and ICC experiments to reduce high background signal. You can find these reagents under catalog numbers PK-2200-NB and MP-2400-NB. Please contact Technical Support if you have any questions.

Clonality

Monoclonal

Host

Mouse

Isotype

IgG1

Description

Novus Biologicals Mouse SSX2IP Antibody (OTI5C3) (NBP2-45458) is a monoclonal antibody validated for use in IHC and WB. All Novus Biologicals antibodies are covered by our 100% guarantee.

Scientific Data Images for SSX2IP Antibody (OTI5C3)

Western Blot: SSX2IP Antibody (OTI5C3) [NBP2-45458]

Western Blot: SSX2IP Antibody (OTI5C3) [NBP2-45458]

Western Blot: SSX2IP Antibody (OTI5C3) [NBP2-45458] - SSX2IP Antibody (5C3) [NBP2-45458] - Analysis of HEK293T cells were transfected with the pCMV6-ENTRY control (Left lane) or pCMV6-ENTRY SSX2IP.
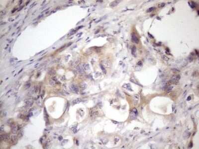
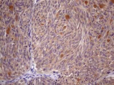
Immunohistochemistry: SSX2IP Antibody (OTI5C3) [NBP2-45458]

Immunohistochemistry: SSX2IP Antibody (OTI5C3) [NBP2-45458]

Immunohistochemistry: SSX2IP Antibody (5C3) [NBP2-45458] - Analysis of Adenocarcinoma of Human endometrium tissue. (Heat-induced epitope retrieval by 1mM EDTA in 10mM Tris buffer (pH8.5) at 120C for 3 min)
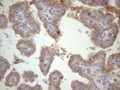
Immunohistochemistry: SSX2IP Antibody (OTI5C3) [NBP2-45458]

Immunohistochemistry: SSX2IP Antibody (OTI5C3) [NBP2-45458]

Immunohistochemistry: SSX2IP Antibody (5C3) [NBP2-45458] - Analysis of Human colon tissue. (Heat-induced epitope retrieval by 1mM EDTA in 10mM Tris buffer (pH8.5) at 120C for 3 min)

Applications for SSX2IP Antibody (OTI5C3)

Application
Recommended Usage

Immunohistochemistry

1:150

Western Blot

1:2000

Formulation, Preparation, and Storage

Purification

Immunogen affinity purified

Formulation

PBS (pH 7.3), 1.0% BSA and 50% Glycerol

Preservative

0.02% Sodium Azide

Concentration

1 mg/ml

Shipping

The product is shipped with polar packs. Upon receipt, store it immediately at the temperature recommended below.

Stability & Storage

Store at -20C. Avoid freeze-thaw cycles.

Background: SSX2IP

The cancer-related protein SSX2 interacts with the human homologue of a Ras-like GTPase interactor, RAB3IP, and a novel nuclear protein, SSX2IP.

Alternate Names

ADIP, afadin- and alpha-actinin-binding protein, Afadin DIL domain-interacting protein, FLJ10848, KIAA0923, MGC75026, SSX2-interacting protein, synovial sarcoma, X breakpoint 2 interacting protein

Gene Symbol

SSX2IP

Additional SSX2IP Products

Product Documents for SSX2IP Antibody (OTI5C3)

Certificate of Analysis

To download a Certificate of Analysis, please enter a lot number in the search box below.

Product Specific Notices for SSX2IP Antibody (OTI5C3)

This product is for research use only and is not approved for use in humans or in clinical diagnosis. Primary Antibodies are guaranteed for 1 year from date of receipt.

Loading...
Loading...
Loading...
Loading...