Skip to main content

SRPK1 Antibody - BSA Free

Novus Biologicals, part of Bio-Techne | Catalog # NBP3-27903

Novus Biologicals, part of Bio-Techne

Key Product Details

Species Reactivity

Human, Mouse, Rat

Applications

Immunohistochemistry-Paraffin, Western Blot, ELISA

Label

Unconjugated

Antibody Source

Polyclonal Rabbit

Format

BSA Free

Concentration

1 mg/ml

Product Specifications

Immunogen

SRPK1 antibody was raised against a 19 amino acid peptide from near the amino terminus of human SRPK1. The immunogen is located within the first 50 amino acids of SRPK1.

Specificity

SRPK1 antibody is human, mouse and rat reactive. Multiple isoforms of SRPK1 are known to exist; this antibody will detect all except isoforms b and e. SRPK1 antibody is predicted to not cross-react with SRPK2.

Clonality

Polyclonal

Host

Rabbit

Description

Novus Biologicals Rabbit SRPK1 Antibody - BSA Free (NBP3-27903) is a polyclonal antibody validated for use in IHC, WB and ELISA. All Novus Biologicals antibodies are covered by our 100% guarantee.

Scientific Data Images for SRPK1 Antibody - BSA Free

SRPK1 Antibody

Western Blot: SRPK1 Antibody [NBP3-27903] -

Western Blot: SRPK1 Antibody [NBP3-27903] - Western blot analysis of SRPK1 in mouse heart tissue lysate with SRPK1 antibody at 1 u/ml.
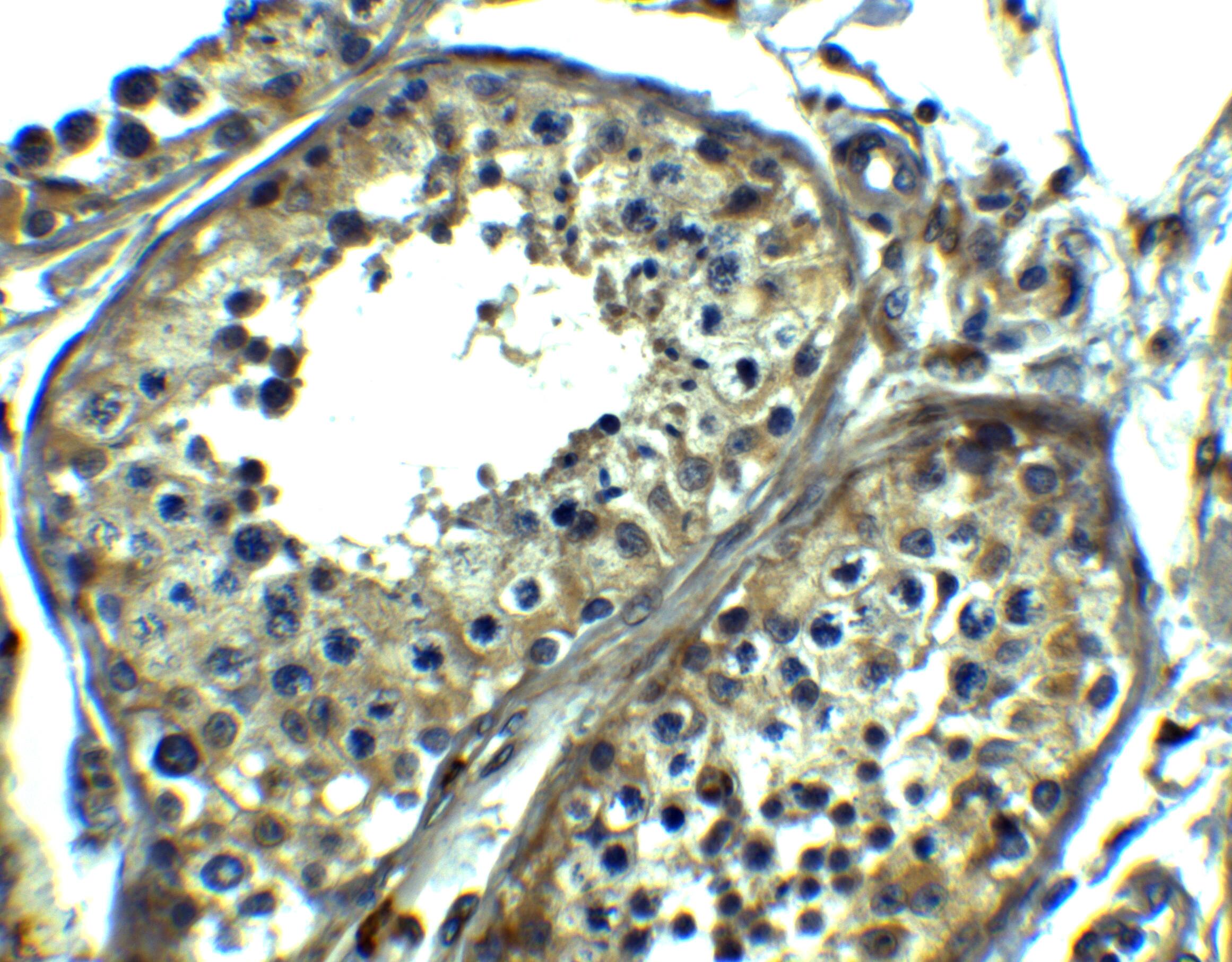
SRPK1 Antibody

Immunohistochemistry: SRPK1 Antibody [NBP3-27903] -

Immunohistochemistry: SRPK1 Antibody [NBP3-27903] - Immunohistochemistry of SRPK1 in human testis tissue with SRPK1 antibody at 5 u/ml.

Applications for SRPK1 Antibody - BSA Free

Application
Recommended Usage

Immunohistochemistry-Paraffin

5 ug/mL

Western Blot

1 - 2 ug/mL

Formulation, Preparation, and Storage

Purification

Peptide affinity purified

Formulation

PBS

Format

BSA Free

Preservative

0.02% Sodium Azide

Concentration

1 mg/ml

Shipping

The product is shipped with polar packs. Upon receipt, store it immediately at the temperature recommended below.

Stability & Storage

Store at 4C short term. Aliquot and store at -20C long term. Avoid freeze-thaw cycles.

Background: SRPK1

SRPK1 encodes a serine/arginine protein kinase specific for the SR (serine/arginine-rich domain) family of splicing factors. The protein localizes to the nucleus and the cytoplasm. It is thought to play a role in regulation of both constitutive and alternative splicing by regulating intracellular localization of splicing factors. A second alternatively spliced transcript variant for this gene has been described, but its full length nature has not been determined.

Long Name

SRSF protein kinase 1

Alternate Names

EC 2.7.11.1, Serine/arginine-rich protein-specific kinase 1, serine/arginine-rich splicing factor kinase 1, serine/threonine-protein kinase SRPK1, SFRS protein kinase 1SFRSK1, SR protein kinase 1, SR-protein-specific kinase 1, SRSF protein kinase 1

Gene Symbol

SRPK1

UniProt

Additional SRPK1 Products

Product Documents for SRPK1 Antibody - BSA Free

Certificate of Analysis

To download a Certificate of Analysis, please enter a lot number in the search box below.

Product Specific Notices for SRPK1 Antibody - BSA Free

This product is for research use only and is not approved for use in humans or in clinical diagnosis. Primary Antibodies are guaranteed for 1 year from date of receipt.

Loading...
Loading...
Loading...
Loading...