Skip to main content

SPINK4 Antibody - BSA Free

Novus Biologicals, part of Bio-Techne | Catalog # NBP1-93519

Novus Biologicals, part of Bio-Techne
Catalog #
Availability
Size / Price
Qty
Loading...
NBP1-93519
NBP1-93519-25ul

Key Product Details

Validated by

Orthogonal Validation

Species Reactivity

Human

Applications

Immunohistochemistry, Immunohistochemistry-Paraffin, Immunocytochemistry/ Immunofluorescence

Label

Unconjugated

Antibody Source

Polyclonal Rabbit IgG

Format

BSA Free

Concentration

Concentrations vary lot to lot. See vial label for concentration. If unlisted please contact technical services.

Product Specifications

Immunogen

This antibody was developed against Recombinant Protein corresponding to amino acids: LPFSRMPICEHMVESPTCSQMSNLVCGTDGLTYTNECQLCLARIKTKQDIQIMKDGK

Clonality

Polyclonal

Host

Rabbit

Isotype

IgG

Scientific Data Images for SPINK4 Antibody - BSA Free

Immunocytochemistry/ Immunofluorescence: SPINK4 Antibody [NBP1-93519]

Immunocytochemistry/ Immunofluorescence: SPINK4 Antibody [NBP1-93519]

Immunocytochemistry/Immunofluorescence: SPINK4 Antibody [NBP1-93519] - Staining of human cell line HeLa shows localization to nucleus, the Golgi apparatus & vesicles. Antibody staining is shown in green.
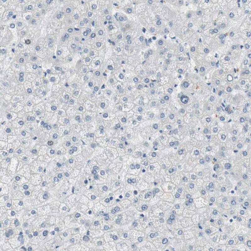
Immunohistochemistry-Paraffin: SPINK4 Antibody [NBP1-93519]

Immunohistochemistry-Paraffin: SPINK4 Antibody [NBP1-93519]

Immunohistochemistry-Paraffin: SPINK4 Antibody [NBP1-93519] - Staining of human liver shows low expression as expected.
Immunohistochemistry-Paraffin: SPINK4 Antibody [NBP1-93519]

Immunohistochemistry-Paraffin: SPINK4 Antibody [NBP1-93519]

Immunohistochemistry-Paraffin: SPINK4 Antibody [NBP1-93519] - Staining of human rectum shows high expression.

Applications for SPINK4 Antibody - BSA Free

Application
Recommended Usage

Immunocytochemistry/ Immunofluorescence

0.25-2 ug/ml

Immunohistochemistry

1:50 - 1:200

Immunohistochemistry-Paraffin

1:50 - 1:200
Application Notes
For IHC-Paraffin, HIER pH 6 retrieval is recommended. ICC/IF Fixation Permeabilization: Use PFA/Triton X-100.

Formulation, Preparation, and Storage

Purification

Affinity purified

Formulation

PBS (pH 7.2) and 40% Glycerol

Format

BSA Free

Preservative

0.02% Sodium Azide

Concentration

Concentrations vary lot to lot. See vial label for concentration. If unlisted please contact technical services.

Shipping

The product is shipped with polar packs. Upon receipt, store it immediately at the temperature recommended below.

Stability & Storage

Store at 4C short term. Aliquot and store at -20C long term. Avoid freeze-thaw cycles.

Background: SPINK4

Alternate Names

gastrointestinal peptide, MGC133107, serine peptidase inhibitor, Kazal type 4, serine protease inhibitor Kazal-type 4, serine protease inhibitor, Kazal type 4

Gene Symbol

SPINK4

Additional SPINK4 Products

Product Documents for SPINK4 Antibody - BSA Free

Certificate of Analysis

To download a Certificate of Analysis, please enter a lot number in the search box below.

Product Specific Notices for SPINK4 Antibody - BSA Free

This product is for research use only and is not approved for use in humans or in clinical diagnosis. Primary Antibodies are guaranteed for 1 year from date of receipt.

Loading...
Loading...
Loading...
Loading...