Skip to main content

Sphingosine Kinase 1/SPHK1 Antibody (JA31-14)

Novus Biologicals, part of Bio-Techne | Catalog # NBP2-67164

Recombinant Monoclonal Antibody
Novus Biologicals, part of Bio-Techne
Catalog #
Availability
Size / Price
Qty
Loading...
NBP2-67164

Key Product Details

Species Reactivity

Human

Applications

Immunohistochemistry, Immunohistochemistry-Paraffin, Western Blot, Flow Cytometry

Label

Unconjugated

Antibody Source

Recombinant Monoclonal Rabbit IgG Clone # JA31-14 expressed in HEK293

Concentration

1 mg/ml

Product Specifications

Immunogen

Synthetic peptide within Human Sphingosine Kinase 1/SPHK1 aa 25-74 / 384. (SwissProt: Q9NYA1 Human)

Localization

Cytoplasm. Nucleus. Membrane.

Clonality

Monoclonal

Host

Rabbit

Isotype

IgG

Description

Novus Biologicals Rabbit Sphingosine Kinase 1/SPHK1 Antibody (JA31-14) (NBP2-67164) is a recombinant monoclonal antibody validated for use in IHC, WB and Flow. All Novus Biologicals antibodies are covered by our 100% guarantee.

Scientific Data Images for Sphingosine Kinase 1/SPHK1 Antibody (JA31-14)

Western Blot: Sphingosine Kinase 1/SPHK1 Antibody (JA31-14) [NBP2-67164]

Western Blot: Sphingosine Kinase 1/SPHK1 Antibody (JA31-14) [NBP2-67164]

Western Blot: Sphingosine Kinase 1/SPHK1 Antibody (JA31-14) [NBP2-67164] - Western blot analysis of Sphingosine Kinase 1/SPHK1 on different lysates. Proteins were transferred to a PVDF membrane and blocked with 5% BSA in PBS for 1 hour at room temperature. The primary antibody (1/500) was used in 5% BSA at room temperature for 2 hours. Goat Anti-Rabbit IgG - HRP Secondary Antibody (HA1001) at 1:5,000 dilution was used for 1 hour at room temperature. Positive control: Lane 1: 293 cell lysate Lane 2: MCF-7 cell lysate
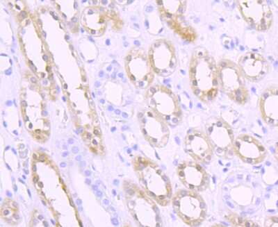
Immunohistochemistry-Paraffin: Sphingosine Kinase 1/SPHK1 Antibody (JA31-14) [NBP2-67164]

Immunohistochemistry-Paraffin: Sphingosine Kinase 1/SPHK1 Antibody (JA31-14) [NBP2-67164]

Immunohistochemistry-Paraffin: Sphingosine Kinase 1/SPHK1 Antibody (JA31-14) [NBP2-67164] - Analysis of paraffin-embedded human kidney tissue using anti-SPHK1 antibody. Counter stained with hematoxylin.
Flow Cytometry: Sphingosine Kinase 1/SPHK1 Antibody (JA31-14) [NBP2-67164]

Flow Cytometry: Sphingosine Kinase 1/SPHK1 Antibody (JA31-14) [NBP2-67164]

Flow Cytometry: Sphingosine Kinase 1/SPHK1 Antibody (JA31-14) [NBP2-67164] - Analysis of Raji cells with SPHK1 antibody at 1/100 dilution (red) compared with an unlabelled control (cells without incubation with primary antibody; black).

Applications for Sphingosine Kinase 1/SPHK1 Antibody (JA31-14)

Application
Recommended Usage

Flow Cytometry

1:50

Immunohistochemistry-Paraffin

1:50-1:200

Western Blot

1:500-1:1000

Formulation, Preparation, and Storage

Purification

Protein A purified

Formulation

TBS (pH7.4), 0.05% BSA, 40% Glycerol

Preservative

0.05% Sodium Azide

Concentration

1 mg/ml

Shipping

The product is shipped with polar packs. Upon receipt, store it immediately at the temperature recommended below.

Stability & Storage

Store at 4C short term. Aliquot and store at -20C long term. Avoid freeze-thaw cycles.

Background: Sphingosine Kinase 1/SPHK1

Sphingosine-1-phosphate (SPP) is a novel lipid messenger with both intracellular and extracellular functions. Intracellularly, it regulates proliferation and survival, and extracellularly, it is a ligand for EDG1 (MIM 601974). Various stimuli increase cellular levels of SPP by activation of sphingosine kinase (SPHK), the enzyme that catalyzes the phosphorylation of sphingosine. Competitive inhibitors of SPHK block formation of SPP and selectively inhibit cellular proliferation induced by a variety of factors, including platelet-derived growth factor (e.g., MIM 173430) and serum.[supplied by OMIM]

Alternate Names

SK1, SPK1

Gene Symbol

SPHK1

Additional Sphingosine Kinase 1/SPHK1 Products

Product Documents for Sphingosine Kinase 1/SPHK1 Antibody (JA31-14)

Certificate of Analysis

To download a Certificate of Analysis, please enter a lot number in the search box below.

Product Specific Notices for Sphingosine Kinase 1/SPHK1 Antibody (JA31-14)

This product is for research use only and is not approved for use in humans or in clinical diagnosis. Primary Antibodies are guaranteed for 1 year from date of receipt.

Loading...
Loading...
Loading...
Loading...
Loading...