Skip to main content

SPC24 Antibody - BSA Free

Novus Biologicals, part of Bio-Techne | Catalog # NBP2-47264

Novus Biologicals, part of Bio-Techne
Catalog #
Availability
Size / Price
Qty
Loading...
NBP2-47264
NBP2-47264-25ul

Key Product Details

Species Reactivity

Validated:

Human

Predicted:

Rat (91%). Backed by our 100% Guarantee.

Applications

Immunohistochemistry, Immunohistochemistry-Paraffin, Western Blot, Immunocytochemistry/ Immunofluorescence

Label

Unconjugated

Antibody Source

Polyclonal Rabbit IgG

Format

BSA Free

Concentration

Concentrations vary lot to lot. See vial label for concentration. If unlisted please contact technical services.

Product Specifications

Immunogen

This antibody was developed against a recombinant protein corresponding to amino acids: ERQEKEVDEDTTVTIPSAVYVAQLYHQVSKIEWDYECEPGMVKGIHHGPSVAQPIHLDSTQLSRKFISDYLWSLV

Reactivity Notes

Immunogen displays the following percentage of sequence identity for non-tested species: Mouse (85%)

Clonality

Polyclonal

Host

Rabbit

Isotype

IgG

Description

Novus Biologicals Rabbit SPC24 Antibody - BSA Free (NBP2-47264) is a polyclonal antibody validated for use in IHC, WB and ICC/IF. Anti-SPC24 Antibody: Cited in 1 publication. All Novus Biologicals antibodies are covered by our 100% guarantee.

Scientific Data Images for SPC24 Antibody - BSA Free

Western Blot: SPC24 Antibody [NBP2-47264]

Western Blot: SPC24 Antibody [NBP2-47264]

Western Blot: SPC24 Antibody [NBP2-47264] - Lane 1: Marker [kDa] 250, 130, 95, 72, 55, 36, 28, 17, 10. Lane 2: Human cell line RT-4. Lane 3: Human cell line U-251MG.
Immunocytochemistry/ Immunofluorescence: SPC24 Antibody [NBP2-47264]

Immunocytochemistry/ Immunofluorescence: SPC24 Antibody [NBP2-47264]

Immunocytochemistry/Immunofluorescence: SPC24 Antibody [NBP2-47264] - Staining of human cell line MCF7 shows localization to nucleus & nucleoli.
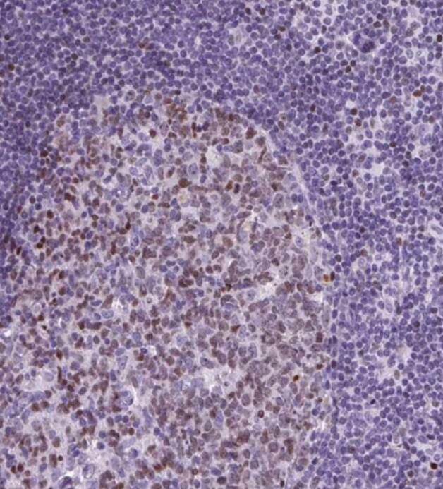
SPC24 Antibody - BSA Free

SPC24 Antibody [NBP2-47264] -

Staining of human lymph node shows moderate nuclear positivity in germinal center cells.

Applications for SPC24 Antibody - BSA Free

Application
Recommended Usage

Immunocytochemistry/ Immunofluorescence

0.25-2 ug/ml

Immunohistochemistry

1:500 - 1:1000

Immunohistochemistry-Paraffin

1:500 - 1:1000

Western Blot

0.04-0.4 ug/ml
Application Notes
IHC-Paraffin, HIER pH 6 retrieval is recommended. ICC/IF, Fixation Permeabilization: Use PFA/Triton X-100.

Formulation, Preparation, and Storage

Purification

Affinity purified

Formulation

PBS (pH 7.2) and 40% Glycerol

Format

BSA Free

Preservative

0.02% Sodium Azide

Concentration

Concentrations vary lot to lot. See vial label for concentration. If unlisted please contact technical services.

Shipping

The product is shipped with polar packs. Upon receipt, store it immediately at the temperature recommended below.

Stability & Storage

Store at 4C short term. Aliquot and store at -20C long term. Avoid freeze-thaw cycles.

Background: SPC24

SPC24 acts as a component of the essential kinetochore-associated NDC80 complex, which is required for chromosomesegregation and spindle checkpoint activity. Required for kinetochore integrity and the organization of stablemicrotubule binding sites in the outer

Alternate Names

FLJ90806, hSpc24, kinetochore protein Spc24, SPBC24, SPC24, NDC80 kinetochore complex component, homolog (S. cerevisiae), spindle pole body component 24 homolog, spindle pole body component 24 homolog (S. cerevisiae)

Gene Symbol

SPC24

Additional SPC24 Products

Product Documents for SPC24 Antibody - BSA Free

Certificate of Analysis

To download a Certificate of Analysis, please enter a lot number in the search box below.

Product Specific Notices for SPC24 Antibody - BSA Free

This product is for research use only and is not approved for use in humans or in clinical diagnosis. Primary Antibodies are guaranteed for 1 year from date of receipt.

Loading...
Loading...
Loading...
Loading...