Skip to main content

Somatostatin R5/SSTR5 Antibody - BSA Free

Novus Biologicals, part of Bio-Techne | Catalog # NB100-56498

Novus Biologicals, part of Bio-Techne

Key Product Details

Species Reactivity

Validated:

Human

Predicted:

Primate (94%). Backed by our 100% Guarantee.

Applications

Immunohistochemistry, Immunohistochemistry-Paraffin, Western Blot

Label

Unconjugated

Antibody Source

Polyclonal Rabbit IgG

Format

BSA Free

Concentration

1.0 mg/ml

Product Specifications

Immunogen

A portion of amino acids 300-350 of human SSTR5 was used as the immunogen.

Reactivity Notes

The Somatostatin Receptor 5 amino acid sequence used as immunogen for this antibody is 94% in chimpanzee.

Clonality

Polyclonal

Host

Rabbit

Isotype

IgG

Description

Novus Biologicals Rabbit Somatostatin R5/SSTR5 Antibody - BSA Free (NB100-56498) is a polyclonal antibody validated for use in IHC and WB. All Novus Biologicals antibodies are covered by our 100% guarantee.

Scientific Data Images for Somatostatin R5/SSTR5 Antibody - BSA Free

Western Blot: Somatostatin R5/SSTR5 Antibody [NB100-56498]

Western Blot: Somatostatin R5/SSTR5 Antibody [NB100-56498]

Western Blot: Somatostatin R5/SSTR5 Antibody [NB100-56498] - Analysis of Somatostatin R5/SSTR5 in human pancreas lysate in the 1) absence and 2) presence of immunizing peptide using Somatostatin Receptor 5 antibody at 0.25 ug/ml.
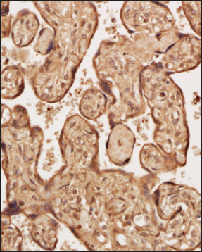
Somatostatin R5/SSTR5 Antibody - BSA Free Immunohistochemistry staining of Human Placenta

Immunohistochemistry staining of Human Placenta

Analysis of a FFPE tissue section of human placenta using 1:200 dilution of Somatostatin R5/SSTR5 antibody (NB100-56498). The staining was developed using HRP labeled anti-rabbit secondary antibody and DAB reagent, and nuclei of cells were counter-stained with hematoxylin.

Applications for Somatostatin R5/SSTR5 Antibody - BSA Free

Application
Recommended Usage

Immunohistochemistry

1:100 - 1:500

Immunohistochemistry-Paraffin

1:100 - 1:500

Western Blot

0.5 - 2.0 ug/ml
Application Notes
The expected size of SSRT5, based on amino acid content, is approximately 40 kD. It is believed that the 5-10 kD increase in observed size is due to glycosylation.

Formulation, Preparation, and Storage

Purification

Immunogen affinity purified

Formulation

PBS

Format

BSA Free

Preservative

0.05% Sodium Azide

Concentration

1.0 mg/ml

Shipping

The product is shipped with polar packs. Upon receipt, store it immediately at the temperature recommended below.

Stability & Storage

Store at 4C short term. Aliquot and store at -20C long term. Avoid freeze-thaw cycles.

Background: Somatostatin R5/SSTR5

Somatostatin is a multifunctional protein affecting exocrine and endocrine protein secretion, neurotransmission, and neuronal modulation and regulating cell proliferation. All these functions of Somatostatin are executed through a class of GPCR protein family members called somatostatin receptor. Till date, 6 classes of somatostatin receptors have been discovered out of which SSTR5, 364A.A protein, is a receptor subtype expressed predominantly in the pituitary and hypothalamus region of brain. Studies revealed that SSTR5 contains seven transmembrane regions and undergoes homodimerization and also heterodimerizes with SSTR1. Although the specific functions of SSTR5 are still elusive, the studies indicate that it complements SSTR2 regulation of ACTH secretion. Polymorphisms in SSTR5 gene have been observed in patients with acromegaly.

Long Name

Somatostatin Receptor Type 5

Alternate Names

SomatostatinR5, SST5, SSTR5

Gene Symbol

SSTR5

UniProt

Additional Somatostatin R5/SSTR5 Products

Product Documents for Somatostatin R5/SSTR5 Antibody - BSA Free

Certificate of Analysis

To download a Certificate of Analysis, please enter a lot number in the search box below.

Product Specific Notices for Somatostatin R5/SSTR5 Antibody - BSA Free

This product is for research use only and is not approved for use in humans or in clinical diagnosis. Primary Antibodies are guaranteed for 1 year from date of receipt.

Loading...
Loading...
Loading...
Loading...