Skip to main content

SNURPORTIN1 Antibody (SNUPN/7351R) - Azide and BSA Free

Novus Biologicals, part of Bio-Techne | Catalog # NBP3-20883

Recombinant Monoclonal Antibody
Novus Biologicals, part of Bio-Techne

Key Product Details

Species Reactivity

Human

Applications

Immunohistochemistry-Paraffin

Label

Unconjugated

Antibody Source

Recombinant Monoclonal Rabbit IgG Kappa Clone # SNUPN/7351R

Format

Azide and BSA Free

Concentration

1 mg/ml

Product Specifications

Immunogen

Recombinant fragment (around aa 900-1100) of human SNURPORTIN1 protein (exact sequence is proprietary)

Localization

Nucleus. Cytoplasm.

Clonality

Monoclonal

Host

Rabbit

Isotype

IgG Kappa

Description

Positive Controls: Human testis.

Antibody with azide - store at 2 to 8C. Antibody without azide - store at -20 to -80C. Non-hazardous. No MSDS required.

Scientific Data Images for SNURPORTIN1 Antibody (SNUPN/7351R) - Azide and BSA Free

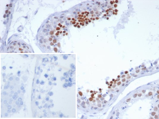
SNURPORTIN1 Antibody (SNUPN/7351R) - Azide and BSA Free

SNURPORTIN1 Antibody (SNUPN/7351R)

Formalin-fixed, paraffin-embedded human testis stained with SNURPORTIN1 antibody (SNUPN/7351R). Inset: PBS instead of primary antibody; secondary only negative control.

Applications for SNURPORTIN1 Antibody (SNUPN/7351R) - Azide and BSA Free

Application
Recommended Usage

Immunohistochemistry-Paraffin

1-2 ug/ml
Application Notes
Immunohistochemistry (Formalin-fixed): 1-2ug/ml for 30 minutes. at RT. Staining of formalin-fixed tissues requires heating tissue sections in 10mM Tris with 1mM EDTA, pH 9.0, for 45 min at 95C followed by cooling at RT for 20 minutes.

Optimal dilution for a specific application should be determined.

Formulation, Preparation, and Storage

Purification

Protein A or G purified

Formulation

10mM PBS

Format

Azide and BSA Free

Preservative

No Preservative

Concentration

1 mg/ml

Shipping

The product is shipped with polar packs. Upon receipt, store it immediately at the temperature recommended below.

Stability & Storage

Store at -20 to -70C. Avoid freeze-thaw cycles.

Background: SNURPORTIN1

The nuclear import of the spliceosomal snRNPs U1, U2, U4 and U5, is dependent on the presence of a complex nuclear localization signal. The latter is composed of the 5'-2,2,7-terminal trimethylguanosine (m3G) cap structure of the U snRNA and the Sm core domain. The protein encoded by this gene interacts specifically with m3G-cap and functions as an snRNP-specific nuclear import receptor. Alternatively spliced transcript variants encoding the same protein have been identified for this gene.

Alternate Names

KPNBL, RNA U transporter 1, RNA, U transporter 1, RNUT1, snurportin 1, Snurportin1, snurportin-1, SPN1

Gene Symbol

SNUPN

Additional SNURPORTIN1 Products

Product Documents for SNURPORTIN1 Antibody (SNUPN/7351R) - Azide and BSA Free

Certificate of Analysis

To download a Certificate of Analysis, please enter a lot number in the search box below.

Product Specific Notices for SNURPORTIN1 Antibody (SNUPN/7351R) - Azide and BSA Free

This product is for research use only and is not approved for use in humans or in clinical diagnosis. Primary Antibodies are guaranteed for 1 year from date of receipt.

Loading...
Loading...
Loading...
Loading...