Skip to main content

SMPD1 Antibody (OTI3H7) - Azide and BSA Free

Novus Biologicals, part of Bio-Techne | Catalog # NBP2-74240

Novus Biologicals, part of Bio-Techne

Key Product Details

Species Reactivity

Human

Applications

Immunohistochemistry, Immunohistochemistry-Paraffin, Western Blot

Label

Unconjugated

Antibody Source

Monoclonal Mouse IgG1 Clone # OTI3H7

Format

Azide and BSA Free

Concentration

LYOPH mg/ml

Product Specifications

Immunogen

Human recombinant protein fragment corresponding to amino acids 62-341 of human SMPD1 (NP_000534) produced in E.coli.

Clonality

Monoclonal

Host

Mouse

Isotype

IgG1

Description

Novus Biologicals Mouse SMPD1 Antibody (OTI3H7) - Azide and BSA Free (NBP2-45889) is a monoclonal antibody validated for use in IHC and WB. All Novus Biologicals antibodies are covered by our 100% guarantee.

Scientific Data Images for SMPD1 Antibody (OTI3H7) - Azide and BSA Free

Western Blot: SMPD1 Antibody (OTI3H7)Azide and BSA Free [NBP2-74240]

Western Blot: SMPD1 Antibody (OTI3H7)Azide and BSA Free [NBP2-74240]

Western Blot: SMPD1 Antibody (OTI3H7) - Azide and BSA Free [NBP2-74240] - Analysis of HEK293T cells were transfected with the pCMV6-ENTRY control (Left lane) or pCMV6-ENTRY SMPD1.
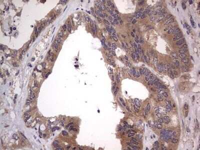
Immunohistochemistry: SMPD1 Antibody (OTI3H7) - Azide and BSA Free [NBP2-74240]

Immunohistochemistry: SMPD1 Antibody (OTI3H7) - Azide and BSA Free [NBP2-74240]

Immunohistochemistry: SMPD1 Antibody (OTI3H7) - Azide and BSA Free [NBP2-74240] - Analysis of Human prostate tissue. (Heat-induced epitope retrieval by 1 mM EDTA in 10mM Tris, pH8.5, 120C for 3min)
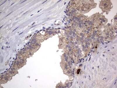
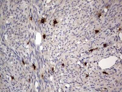
Immunohistochemistry: SMPD1 Antibody (OTI3H7) - Azide and BSA Free [NBP2-74240]

Immunohistochemistry: SMPD1 Antibody (OTI3H7) - Azide and BSA Free [NBP2-74240]

Immunohistochemistry: SMPD1 Antibody (OTI3H7) - Azide and BSA Free [NBP2-74240] - Analysis of Adenocarcinoma of Human breast tissue. (Heat-induced epitope retrieval by 1 mM EDTA in 10mM Tris, pH8.5, 120C for 3min)

Applications for SMPD1 Antibody (OTI3H7) - Azide and BSA Free

Application
Recommended Usage

Immunohistochemistry

1:150

Western Blot

1:2000

Formulation, Preparation, and Storage

Purification

Immunogen affinity purified

Reconstitution

we recommend adding 100uL distilled water to a final antibody concentration of about 1 mg/mL. To use this carrier-free antibody for conjugation experiment, we strongly recommend performing another round of desalting process.

Formulation

Lyophilized from PBS (pH 7.3) with 8% Trehalose

Format

Azide and BSA Free

Preservative

No Preservative

Concentration

LYOPH mg/ml

Shipping

The product is shipped with polar packs. Upon receipt, store it immediately at the temperature recommended below.

Stability & Storage

Store at -20C. Avoid freeze-thaw cycles.

Background: SMPD1

The protein encoded by the SMPD1 gene is a lysosomal acid sphingomyelinase that converts sphingomyelin to ceramide. The encoded protein also has phospholipase C activity. Defects in this gene are a cause of Niemann-Pick disease type A (NPA) and Niemann-Pick disease type B (NPB). Three transcript variants encoding two different isoforms have been found for this gene. (provided by RefSeq)

Long Name

Sphingomyelin Phosphodiesterase 1, Acid Lysosomal

Alternate Names

aSMase, NPD

Gene Symbol

SMPD1

Additional SMPD1 Products

Product Documents for SMPD1 Antibody (OTI3H7) - Azide and BSA Free

Certificate of Analysis

To download a Certificate of Analysis, please enter a lot number in the search box below.

Product Specific Notices for SMPD1 Antibody (OTI3H7) - Azide and BSA Free

This product is for research use only and is not approved for use in humans or in clinical diagnosis. Primary Antibodies are guaranteed for 1 year from date of receipt.

Loading...
Loading...
Loading...
Loading...
Loading...