Skip to main content

SMPD1 Antibody (OTI3H7)

Novus Biologicals, part of Bio-Techne | Catalog # NBP2-45889

Novus Biologicals, part of Bio-Techne
Catalog #
Availability
Size / Price
Qty
Loading...
NBP2-45889

Key Product Details

Validated by

Knockout/Knockdown

Species Reactivity

Validated:

Human

Cited:

Human, Mouse

Applications

Validated:

Immunohistochemistry, Immunohistochemistry-Paraffin, Immunohistochemistry-Frozen, Western Blot, Knockdown Validated

Cited:

Immunohistochemistry-Frozen, Western Blot, Flow Cytometry, Immunocytochemistry/ Immunofluorescence

Label

Unconjugated

Antibody Source

Monoclonal Mouse IgG1 Clone # OTI3H7

Concentration

1 mg/ml

Product Specifications

Immunogen

Human recombinant protein fragment corresponding to amino acids 62-341 of human SMPD1 (NP_000534) produced in E.coli.

Clonality

Monoclonal

Host

Mouse

Isotype

IgG1

Description

Novus Biologicals Mouse SMPD1 Antibody (OTI3H7) (NBP2-45889) is a monoclonal antibody validated for use in IHC, WB, Flow and ICC/IF. Anti-SMPD1 Antibody: Cited in 3 publications. All Novus Biologicals antibodies are covered by our 100% guarantee.

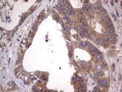
Scientific Data Images for SMPD1 Antibody (OTI3H7)

SMPD1 Antibody (OTI3H7) Western Blot Shows SMPD1 Specificity Using Knockdown Cell Line.

Western Blot Shows SMPD1 Specificity Using Knockdown Cell Line.

Western blot shows culture media of U-87 MG human glioblastoma/astrocytoma parental cell line and SMPD1 knockdown U-87 MG cell line (KD). Nitrocellulose membrane was probed with SMPD1 Antibody (OTI3H7) (Catalog # NBP2-45889) followed by HRP-conjugated secondary antibody. A specific band was detected for SMPD1 at approximately 69.9 kDa (as indicated) in the parental U-87 MG cell line, but is significantly reduced in the knockdown U-87 MG cell line. Primary antibody dilution used: 1/500. The Ponceau stained transfer of the blot is shown. This experiment was conducted under reducing conditions. Image, protocol, and testing courtesy of YCharOS Inc. See ycharos.com for additional details.
Western Blot: SMPD1 Antibody (OTI3H7) [NBP2-45889]

Western Blot: SMPD1 Antibody (OTI3H7) [NBP2-45889]

Western Blot: SMPD1 Antibody (3H7) [NBP2-45889] - Analysis of HEK293T cells were transfected with the pCMV6-ENTRY control (Left lane) or pCMV6-ENTRY SMPD1.
Immunohistochemistry: SMPD1 Antibody (OTI3H7) [NBP2-45889]

Immunohistochemistry: SMPD1 Antibody (OTI3H7) [NBP2-45889]

Immunohistochemistry: SMPD1 Antibody (3H7) [NBP2-45889] - Analysis of Human tonsil tissue. (Heat-induced epitope retrieval by 1 mM EDTA in 10mM Tris, pH8.5, 120C for 3min)

Applications for SMPD1 Antibody (OTI3H7)

Application
Recommended Usage

Immunohistochemistry

1:150

Immunohistochemistry-Frozen

Reported in scientific literature (PMID:32092464)

Immunohistochemistry-Paraffin

1:150

Knockdown Validated

Knockdown validated from YCharOS Inc. (YCharOS.com)

Western Blot

1:2000

Formulation, Preparation, and Storage

Purification

Immunogen affinity purified

Formulation

PBS (pH 7.3), 1.0% BSA and 50% Glycerol

Preservative

0.02% Sodium Azide

Concentration

1 mg/ml

Shipping

The product is shipped with polar packs. Upon receipt, store it immediately at the temperature recommended below.

Stability & Storage

Store at -20C. Avoid freeze-thaw cycles.

Background: SMPD1

The protein encoded by the SMPD1 gene is a lysosomal acid sphingomyelinase that converts sphingomyelin to ceramide. The encoded protein also has phospholipase C activity. Defects in this gene are a cause of Niemann-Pick disease type A (NPA) and Niemann-Pick disease type B (NPB). Three transcript variants encoding two different isoforms have been found for this gene. (provided by RefSeq)

Long Name

Sphingomyelin Phosphodiesterase 1, Acid Lysosomal

Alternate Names

aSMase, NPD

Gene Symbol

SMPD1

Additional SMPD1 Products

Product Documents for SMPD1 Antibody (OTI3H7)

Certificate of Analysis

To download a Certificate of Analysis, please enter a lot number in the search box below.

Product Specific Notices for SMPD1 Antibody (OTI3H7)

This product is for research use only and is not approved for use in humans or in clinical diagnosis. Primary Antibodies are guaranteed for 1 year from date of receipt.

Loading...
Loading...
Loading...
Loading...