Skip to main content

Smad4 Antibody (CL9774) - Azide and BSA Free

Novus Biologicals, part of Bio-Techne | Catalog # NBP3-43874

Novus Biologicals, part of Bio-Techne
Catalog #
Availability
Size / Price
Qty
Loading...
NBP3-43874

Key Product Details

Species Reactivity

Human

Applications

Immunohistochemistry-Paraffin, Western Blot

Label

Unconjugated

Antibody Source

Monoclonal Mouse IgG1 Clone # CL9774

Format

Azide and BSA Free

Concentration

LYOPH mg/ml

Product Specifications

Immunogen

This antibody was generated using a recombinant protein sequence of Q13485, with the exact immunogen sequence remaining proprietary.

Clonality

Monoclonal

Host

Mouse

Isotype

IgG1

Description

Novus Biologicals Mouse Smad4 Antibody (CL9774) - Azide and BSA Free (NBP3-05507) is a monoclonal antibody validated for use in IHC and WB. All Novus Biologicals antibodies are covered by our 100% guarantee.

Scientific Data Images for Smad4 Antibody (CL9774) - Azide and BSA Free

Smad4 Antibody (CL9774) - Azide and BSA Free Immunohistochemistry-Paraffin: Smad4 Antibody [NBP3-43874]

Immunohistochemistry-Paraffin: Smad4 Antibody [NBP3-43874]

Staining of human prostate shows moderate nuclear and cytoplasmic positivity in glandular cells.
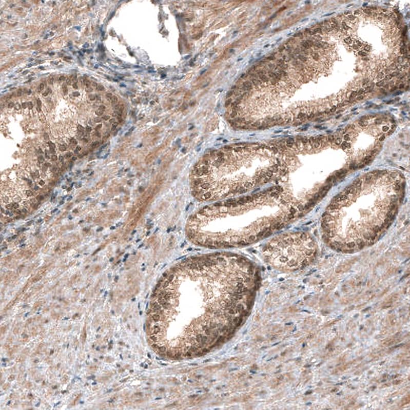
Smad4 Antibody (CL9774) - Azide and BSA Free Immunohistochemistry-Paraffin: Smad4 Antibody [NBP3-43874]

Immunohistochemistry-Paraffin: Smad4 Antibody [NBP3-43874]

Staining of human placenta shows moderate nuclear and cytoplasmic positivity in trophoblastic cells.
Smad4 Antibody (CL9774) - Azide and BSA Free Immunohistochemistry-Paraffin: Smad4 Antibody [NBP3-43874]

Immunohistochemistry-Paraffin: Smad4 Antibody [NBP3-43874]

Staining of human skeletal muscle shows very weak cytoplasmic positivity in myocytes.

Applications for Smad4 Antibody (CL9774) - Azide and BSA Free

Application
Recommended Usage

Immunohistochemistry-Paraffin

1:50 - 1:200

Western Blot

1 ug/ml
Application Notes
For IHC-Paraffin, HIER pH 6 retrieval is recommended.

Formulation, Preparation, and Storage

Purification

Protein A purified

Reconstitution

Centrifuge the vial of lyophilized antibody at 12,000 x g for 20 seconds. Reconstitute by adding sterile, distilled water to achieve a final antibody concentration of 1mg/ml.

Formulation

Lyophilized from a 0.2 um filtered solution in PBS with Trehalose

Format

Azide and BSA Free

Preservative

No Preservative

Concentration

LYOPH mg/ml

Shipping

The product is shipped at ambient temperature. Upon receipt, store it immediately at the temperature recommended below.

Stability & Storage

Store at 4C short term. Aliquot and store at -20C long term. Avoid freeze-thaw cycles.

Background: Smad4

Smad proteins, the mammalian homologs of the Drosophila Mothers against dpp (Mad) have been implicated as downstream effectors of TGFbeta/BMP signaling. Smad1 (also designated Madr1 or JV4-1), Smad5 and mammalian Smad8 (also designated Smad9 or MadH6) are effectors of BMP2 and BMP4 function while Smad2 (also designated Madr2 or JV18-1) and Smad3 are involved in TGFbeta and activin-mediated growth modulation. Smad4 (also designated DPC4) has been shown to mediate all of the above activities through interaction with various Smad family members. Smad6 and Smad7 regulate the response to activin/TGFbeta signaling by interfering with TGFbeta-mediated phosphorylation of other Smad family members.

Long Name

Mothers Against DPP Homolog 4

Alternate Names

DPC4, MADH4

Gene Symbol

SMAD4

Additional Smad4 Products

Product Documents for Smad4 Antibody (CL9774) - Azide and BSA Free

Certificate of Analysis

To download a Certificate of Analysis, please enter a lot number in the search box below.

Product Specific Notices for Smad4 Antibody (CL9774) - Azide and BSA Free

This product is for research use only and is not approved for use in humans or in clinical diagnosis. Primary Antibodies are guaranteed for 1 year from date of receipt.

Loading...
Loading...
Loading...
Loading...
Loading...