Skip to main content

Smad2 Antibody (5G7)

Novus Biologicals, part of Bio-Techne | Catalog # NBP2-37580

Novus Biologicals, part of Bio-Techne
Catalog #
Availability
Size / Price
Qty
Loading...
NBP2-37580-0.025ml

Key Product Details

Species Reactivity

Human

Applications

ELISA, Flow Cytometry, Immunocytochemistry/ Immunofluorescence, Immunohistochemistry, Immunohistochemistry-Paraffin, Western Blot

Label

Unconjugated

Antibody Source

Monoclonal Mouse IgG1 Clone # 5G7

Concentration

This product is unpurified. The exact concentration of antibody is not quantifiable.

Product Specifications

Immunogen

Purified recombinant fragment of human Smad2 expressed in E. Coli.

Clonality

Monoclonal

Host

Mouse

Isotype

IgG1

Theoretical MW

52 kDa.
Disclaimer note: The observed molecular weight of the protein may vary from the listed predicted molecular weight due to post translational modifications, post translation cleavages, relative charges, and other experimental factors.

Description

Novus Biologicals Mouse Smad2 Antibody (5G7) (NBP2-37580) is a monoclonal antibody validated for use in IHC, WB, ELISA, Flow and ICC/IF. All Novus Biologicals antibodies are covered by our 100% guarantee.

Scientific Data Images for Smad2 Antibody (5G7)

Western Blot: Smad2 Antibody (5G7)BSA Free [NBP2-37580]

Western Blot: Smad2 Antibody (5G7)BSA Free [NBP2-37580]

Western Blot: Smad2 Antibody (5G7) [NBP2-37580] - Western blot analysis using SMAD2 mAb against HEK293 (1) and SMAD2(AA: 20-254)-hIgGFc transfected HEK293 (2) cell lysate.
Immunocytochemistry/ Immunofluorescence: Smad2 Antibody (5G7) - BSA Free [NBP2-37580]

Immunocytochemistry/ Immunofluorescence: Smad2 Antibody (5G7) - BSA Free [NBP2-37580]

Immunocytochemistry/Immunofluorescence: Smad2 Antibody (5G7) [NBP2-37580] - Immunofluorescence analysis of U251 cells using SMAD2 mouse mAb (green). Blue: DRAQ5 fluorescent DNA dye. Red: Actin filaments have been labeled with Alexa Fluor-555 phalloidin.
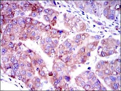
Immunohistochemistry: Smad2 Antibody (5G7) - BSA Free [NBP2-37580]

Immunohistochemistry: Smad2 Antibody (5G7) - BSA Free [NBP2-37580]

Immunohistochemistry: Smad2 Antibody (5G7) [NBP2-37580] - Immunohistochemical analysis of paraffin-embedded human liver cancer tissues using SMAD2 mouse mAb with DAB staining.

Applications for Smad2 Antibody (5G7)

Application
Recommended Usage

ELISA

1:10000

Flow Cytometry

1:200 - 1:400

Immunocytochemistry/ Immunofluorescence

1:200 - 1:1000

Immunohistochemistry

1:200 - 1:1000

Immunohistochemistry-Paraffin

1:200 - 1:1000

Western Blot

1:500 - 1:2000

Formulation, Preparation, and Storage

Purification

Unpurified

Formulation

Ascites

Preservative

0.03% Sodium Azide

Concentration

This product is unpurified. The exact concentration of antibody is not quantifiable.

Shipping

The product is shipped with polar packs. Upon receipt, store it immediately at the temperature recommended below.

Stability & Storage

Store at 4C short term. Aliquot and store at -20C long term. Avoid freeze-thaw cycles.

Background: Smad2

Smad 2 is a member of the Mothers Against Dpp (MAD)-related family of proteins. So far, nine Smads have been identified and can be divided in 3 subgroups based on their structure and functions; pathway-restricted, common mediator and inhibitory Smad. Smad 2 and 3 serve as pathway-restricted Smads for the TGF-beta/activin signaling pathways (1-2). Smad 2 is phosphorylated by the TGF-beta type 1 receptor kinase on Ser 465 and Ser 467. Phosphorylation of both serines is essential for Smad 2-Smad4 heteromeric complex and dissociation of Smad 2 from the TGF-beta type 1 receptor (3). Once phosphorylated Smad2 translocate to the nucleus where it associates with DNA-binding proteins and forming a transcriptional complex (4). Unlike Smad 3 and 4, Smad 2 does not directly bind DNA (5).

Long Name

Mothers Against DPP Homolog 2

Alternate Names

JV18-1, MADH2, MADR2, Smox

Gene Symbol

SMAD2

Additional Smad2 Products

Product Documents for Smad2 Antibody (5G7)

Certificate of Analysis

To download a Certificate of Analysis, please enter a lot number in the search box below.

Product Specific Notices for Smad2 Antibody (5G7)

This product is for research use only and is not approved for use in humans or in clinical diagnosis. Primary Antibodies are guaranteed for 1 year from date of receipt.

Loading...
Loading...
Loading...
Loading...
Loading...