Skip to main content

SLC34A2 Antibody - BSA Free

Novus Biologicals, part of Bio-Techne | Catalog # NBP1-81013

Novus Biologicals, part of Bio-Techne
Catalog #
Availability
Size / Price
Qty
Loading...
NBP1-81013
NBP1-81013-25ul

Key Product Details

Validated by

Orthogonal Validation

Species Reactivity

Human

Applications

Immunohistochemistry, Immunohistochemistry-Paraffin

Label

Unconjugated

Antibody Source

Polyclonal Rabbit IgG

Format

BSA Free

Concentration

Concentrations vary lot to lot. See vial label for concentration. If unlisted please contact technical services.

Product Specifications

Immunogen

This antibody was developed against Recombinant Protein corresponding to amino acids: MRSLKPWDAVVSKFTGCFQMRCCCCCRVCCRACCLLCGCPKCCRCSKCCEDLEEAQEGQDVPVKAPETFDNITISREAQGEVPASDSKTECT

Clonality

Polyclonal

Host

Rabbit

Isotype

IgG

Scientific Data Images for SLC34A2 Antibody - BSA Free

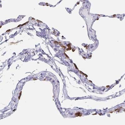
Immunohistochemistry-Paraffin: SLC34A2 Antibody [NBP1-81013]

Immunohistochemistry-Paraffin: SLC34A2 Antibody [NBP1-81013]

Immunohistochemistry-Paraffin: SLC34A2 Antibody [NBP1-81013] - Analysis in human lung and skeletal muscle tissues using NBP1-81013 antibody. Corresponding SLC34A2 RNA-seq data are presented for the same tissues.
Immunohistochemistry-Paraffin: SLC34A2 Antibody [NBP1-81013]

Immunohistochemistry-Paraffin: SLC34A2 Antibody [NBP1-81013]

Immunohistochemistry-Paraffin: SLC34A2 Antibody [NBP1-81013] - Staining of human fallopian tube shows strong positivity in apical membrane in glandular cells.
Immunohistochemistry-Paraffin: SLC34A2 Antibody [NBP1-81013]

Immunohistochemistry-Paraffin: SLC34A2 Antibody [NBP1-81013]

Immunohistochemistry-Paraffin: SLC34A2 Antibody [NBP1-81013] - Staining of human lung shows high expression.

Applications for SLC34A2 Antibody - BSA Free

Application
Recommended Usage

Immunohistochemistry

1:500 - 1:1000

Immunohistochemistry-Paraffin

1:500 - 1:1000
Application Notes
For IHC-Paraffin, HIER pH 6 retrieval is recommended.

Reviewed Applications

Read 1 review rated 3 using NBP1-81013 in the following applications:

Formulation, Preparation, and Storage

Purification

Affinity purified

Formulation

PBS (pH 7.2) and 40% Glycerol

Format

BSA Free

Preservative

0.02% Sodium Azide

Concentration

Concentrations vary lot to lot. See vial label for concentration. If unlisted please contact technical services.

Shipping

The product is shipped with polar packs. Upon receipt, store it immediately at the temperature recommended below.

Stability & Storage

Store at 4C short term. Aliquot and store at -20C long term. Avoid freeze-thaw cycles.

Background: SLC34A2

SLC34A2 may be involved in actively transporting phosphate into cells via Na(+) cotransport. It may be the main phosphate transport protein in the intestinal brush border membrane. Mayhave a role in the synthesis of surfactant in lungs' alveoli

Alternate Names

NAPI-3B, NPTIIb, sodium/phosphate cotransporter 2B, solute carrier family 34 (sodium phosphate), member 2, type II sodium-dependent phosphate transporter 3b

Entrez Gene IDs

10568 (Human)

Gene Symbol

SLC34A2

Additional SLC34A2 Products

Product Documents for SLC34A2 Antibody - BSA Free

Certificate of Analysis

To download a Certificate of Analysis, please enter a lot number in the search box below.

Product Specific Notices for SLC34A2 Antibody - BSA Free

This product is for research use only and is not approved for use in humans or in clinical diagnosis. Primary Antibodies are guaranteed for 1 year from date of receipt.

Loading...
Loading...
Loading...
Loading...